Skip to main content

IRGM Antibody - BSA Free

Novus Biologicals, part of Bio-Techne | Catalog # NBP1-76377

Novus Biologicals, part of Bio-Techne

Key Product Details

Species Reactivity

Human, Mouse, Rat

Applications

Immunohistochemistry, Immunohistochemistry-Paraffin, Western Blot, ELISA, Immunocytochemistry/ Immunofluorescence

Label

Unconjugated

Antibody Source

Polyclonal Rabbit IgG

Format

BSA Free

Concentration

1 mg/ml

Product Specifications

Immunogen

Antibody was raised against a 17 amino acid synthetic peptide near the amino terminus of the human IRGM. The immunogen is located within amino acids 30 - 80 of IRGM. Amino Acid Squence: ISALRNGTHEGKASPPTE

Clonality

Polyclonal

Host

Rabbit

Isotype

IgG

Theoretical MW

20 kDa.
Disclaimer note: The observed molecular weight of the protein may vary from the listed predicted molecular weight due to post translational modifications, post translation cleavages, relative charges, and other experimental factors.

Scientific Data Images for IRGM Antibody - BSA Free

Western Blot: IRGM AntibodyBSA Free [NBP1-76377]

Western Blot: IRGM AntibodyBSA Free [NBP1-76377]

Western Blot: IRGM Antibody [NBP1-76377] - Analysis of IRGM expression in SK-N-SH cell lysate with IRGM antibody at (A) 1 and (B) 2 ug/ml.
Immunohistochemistry-Paraffin: IRGM Antibody - BSA Free [NBP1-76377]

Immunohistochemistry-Paraffin: IRGM Antibody - BSA Free [NBP1-76377]

Immunohistochemistry-Paraffin: IRGM Antibody [NBP1-76377] - Staining of CD4 in human thymus tissue with CD4 antibody at 5 ug/ml.

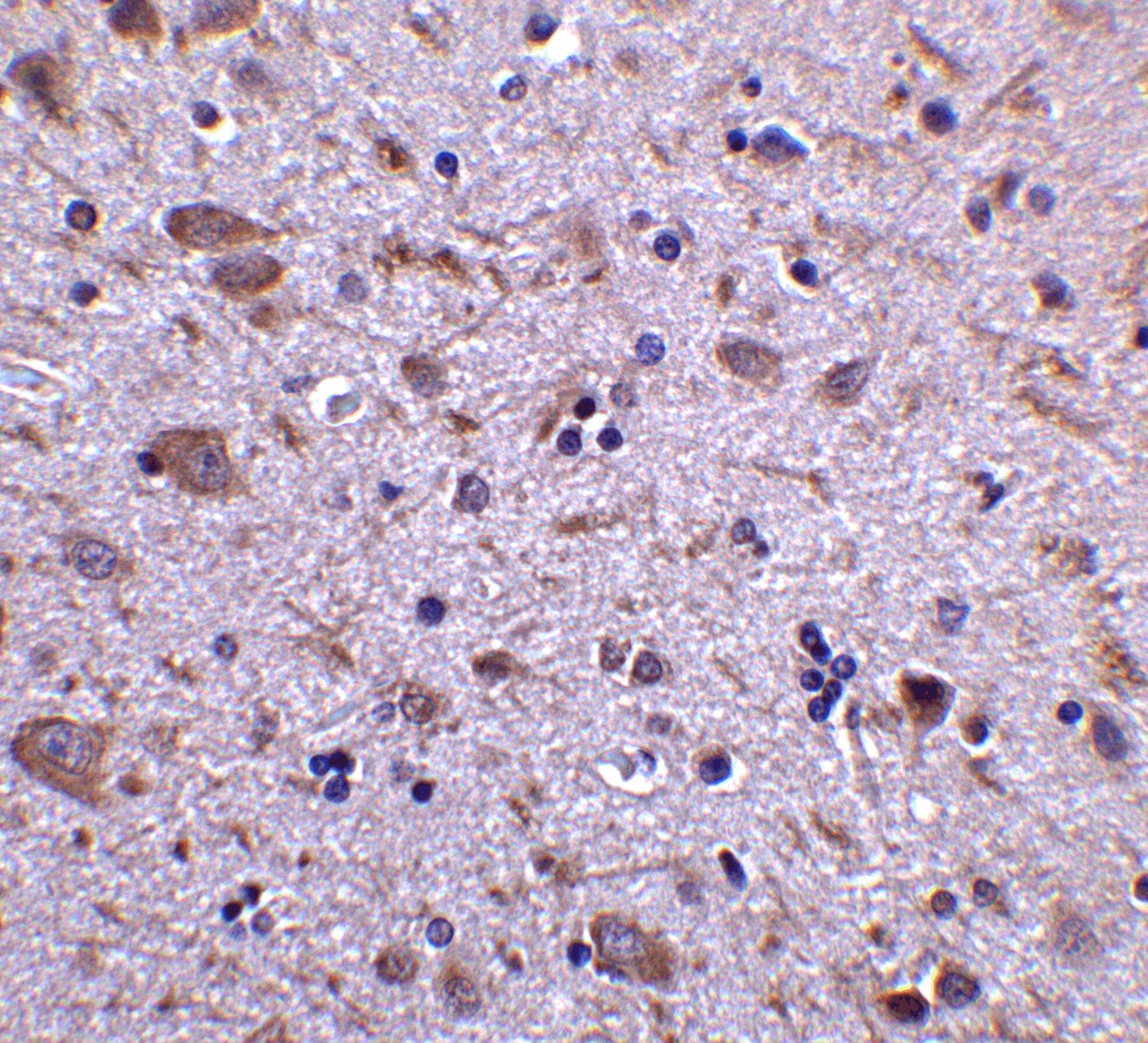
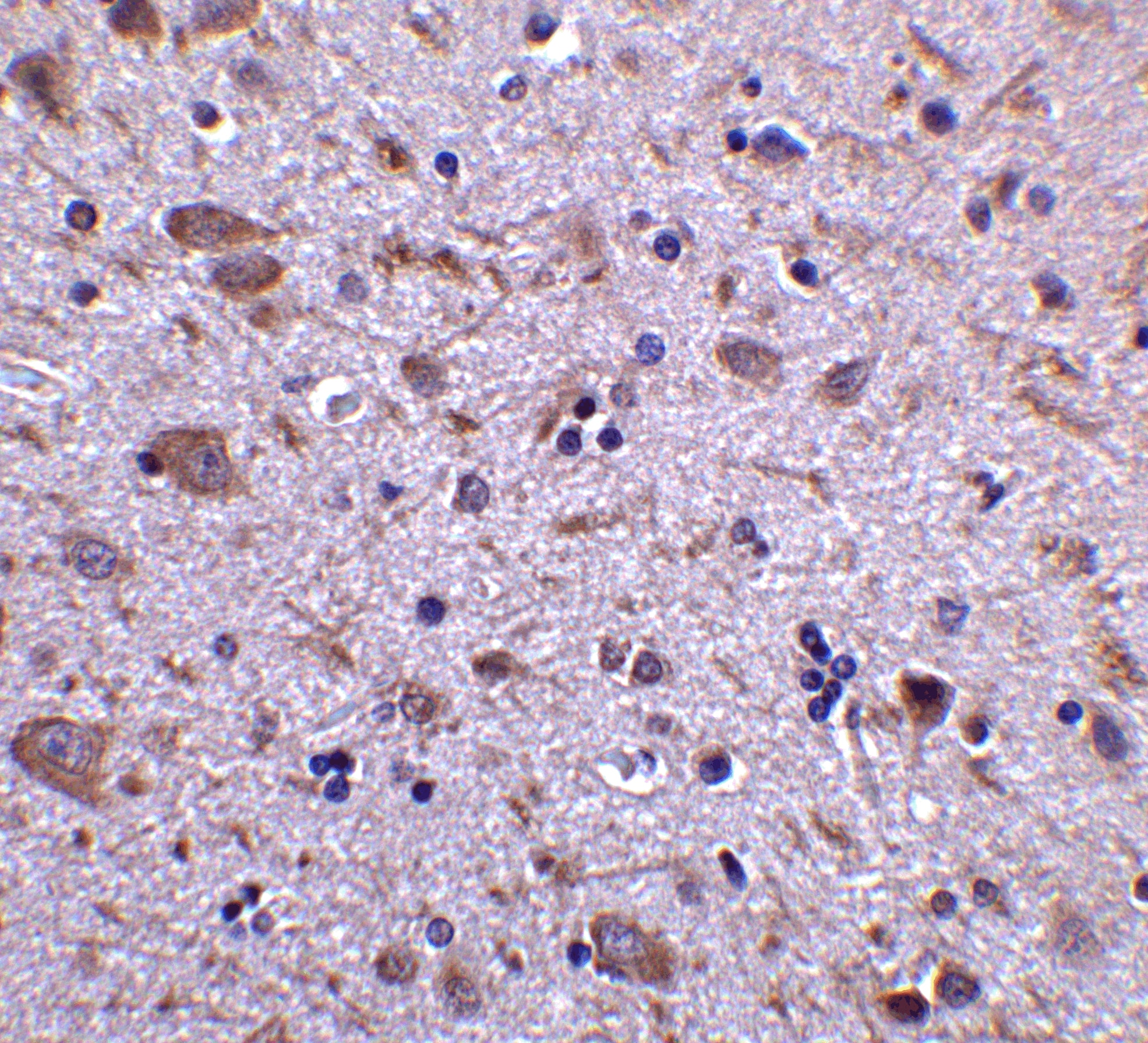
Immunohistochemistry: IRGM Antibody [NBP1-76377] -

Immunohistochemistry: IRGM Antibody [NBP1-76377] - Staining of IRGM in Human Brain tissue with IRGM antibody at 20 ug/mL.

Applications for IRGM Antibody - BSA Free

Application
Recommended Usage

ELISA

1:100-1:2000

Immunocytochemistry/ Immunofluorescence

20 ug/mL

Immunohistochemistry

5 ug/ml

Immunohistochemistry-Paraffin

5 ug/ml

Western Blot

1-2 ug/ml

Formulation, Preparation, and Storage

Purification

Peptide affinity purified

Formulation

PBS

Format

BSA Free

Preservative

0.02% Sodium Azide

Concentration

1 mg/ml

Shipping

The product is shipped with polar packs. Upon receipt, store it immediately at the temperature recommended below.

Stability & Storage

Store at 4C short term. Aliquot and store at -20C long term. Avoid freeze-thaw cycles.

Background: IRGM

Autophagy, the process of bulk degradation of cellular proteins through an autophagosomic-lysosomal pathway is important for normal growth control and may be defective in tumor cells. It is involved in the preservation of cellular nutrients under starvation conditions as well as the normal turnover of cytosolic components. Two of the strongest hits implicate genes IRGM and ATG16L1, which encode proteins thought to be critical to the autophagy pathway and being significantly associated with Crohn's disease. In mouse, IRGM belongs to a family of gamma-interferon-induced GTP-binding proteins of approximately 48 kDa. Murine IRGM induces autophagy and generates large autolysosomal organelles as a mechanism for the elimination of intracellular Mycobacterium tuberculosis. Human IRGM is also involved in autophagy and plays a role in the control of intracellular pathogens and in the reduction of intracellular bacillary load.

Alternate Names

IFI1, immunity-related GTPase family M protein, immunity-related GTPase family, M, interferon-inducible protein 1, IRGM1, LPS-stimulated RAW 264.7 macrophage protein 47 homolog, LRG47, LRG-47, LRG-47-like protein, M1, MGC149263, MGC149264

Gene Symbol

IRGM

Additional IRGM Products

Product Documents for IRGM Antibody - BSA Free

Certificate of Analysis

To download a Certificate of Analysis, please enter a lot number in the search box below.

Product Specific Notices for IRGM Antibody - BSA Free

This product is for research use only and is not approved for use in humans or in clinical diagnosis. Primary Antibodies are guaranteed for 1 year from date of receipt.

Loading...
Loading...
Loading...
Loading...