Skip to main content

IQSEC2 Antibody - BSA Free

Novus Biologicals, part of Bio-Techne | Catalog # NBP2-81723

Novus Biologicals, part of Bio-Techne

Key Product Details

Species Reactivity

Human, Mouse, Rat

Applications

Immunohistochemistry, Immunohistochemistry-Paraffin, Western Blot, ELISA

Label

Unconjugated

Antibody Source

Polyclonal Rabbit IgG

Format

BSA Free

Concentration

1 mg/ml

Product Specifications

Immunogen

IQSEC2 antibody was raised against an 18 amino acid peptide near the carboxy terminus of human IQSEC2. The immunogen is located within amino acids 1380 - 1430 of IQSEC2. Amino Acid Squence: PGSRPPGGSYSHPHHPQS

Specificity

IQSEC2 antibody is human, mouse and rat reactive. At least two isoforms of IQSEC2 are known to exist; this antibody will only detect the larger isoform. IQSEC2 antibody is predicted to not cross-react with IQSEC1.

Clonality

Polyclonal

Host

Rabbit

Isotype

IgG

Theoretical MW

140 kDa.
Disclaimer note: The observed molecular weight of the protein may vary from the listed predicted molecular weight due to post translational modifications, post translation cleavages, relative charges, and other experimental factors.

Description

Novus Biologicals Rabbit IQSEC2 Antibody - BSA Free (NBP2-81723) is a polyclonal antibody validated for use in IHC, WB and ELISA. All Novus Biologicals antibodies are covered by our 100% guarantee.

Scientific Data Images for IQSEC2 Antibody - BSA Free

Western Blot: IQSEC2 AntibodyBSA Free [NBP2-81723]

Western Blot: IQSEC2 AntibodyBSA Free [NBP2-81723]

Western Blot: IQSEC2 Antibody [NBP2-81723] - Western blot analysis of IQSEC2 in SK-N-SH cell lysate with IQSEC2 antibody at 1 ug/ml.
IQSEC2 Antibody - BSA Free

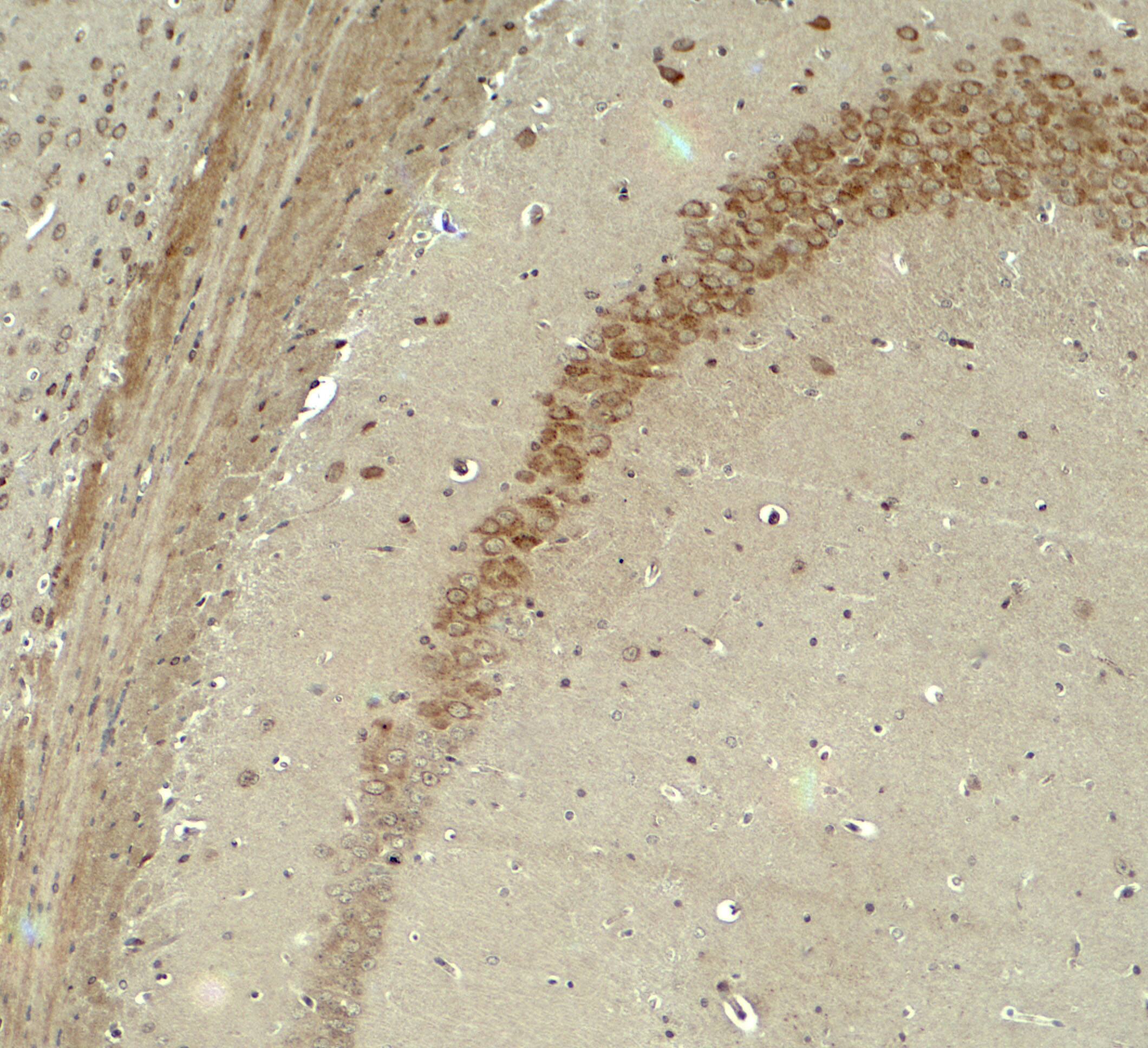
Immunohistochemistry: IQSEC2 Antibody - BSA Free [NBP2-81723] -

Immunohistochemistry: IQSEC2 Antibody - BSA Free [NBP2-81723] - Immunohistochemistry of IQSEC2 in mouse brain tissue with IQSEC2 antibody at 5 ug/ml.

Applications for IQSEC2 Antibody - BSA Free

Application
Recommended Usage

Immunohistochemistry

5 ug/ml

Immunohistochemistry-Paraffin

5 ug/ml

Western Blot

1 -2 ug/ml

Formulation, Preparation, and Storage

Purification

Peptide affinity purified

Formulation

PBS

Format

BSA Free

Preservative

0.02% Sodium Azide

Concentration

1 mg/ml

Shipping

The product is shipped with polar packs. Upon receipt, store it immediately at the temperature recommended below.

Stability & Storage

Store at 4C short term. Aliquot and store at -20C long term. Avoid freeze-thaw cycles.

Background: IQSEC2

Alternate Names

BRAG1, brefeldin A resistant Arf-guanine nucleotide exchange factor 1, brefeldin A resistant Arf-guanine nucleotide exchange factor 1c, IQ motif and Sec7 domain 2, IQ motif and SEC7 domain-containing protein 2, KIAA0522, MRX1

Gene Symbol

IQSEC2

Additional IQSEC2 Products

Product Documents for IQSEC2 Antibody - BSA Free

Certificate of Analysis

To download a Certificate of Analysis, please enter a lot number in the search box below.

Product Specific Notices for IQSEC2 Antibody - BSA Free

This product is for research use only and is not approved for use in humans or in clinical diagnosis. Primary Antibodies are guaranteed for 1 year from date of receipt.

Loading...
Loading...
Loading...
Loading...