Integrin alpha 2/CD49b Antibody - BSA Free
Novus Biologicals, part of Bio-Techne | Catalog # NBP2-38902
Key Product Details
Validated by
Independent Antibodies
Species Reactivity
Human
Applications
Immunohistochemistry, Immunohistochemistry-Paraffin
Label
Unconjugated
Antibody Source
Polyclonal Rabbit IgG
Format
BSA Free
Concentration
Concentrations vary lot to lot. See vial label for concentration. If unlisted please contact technical services.
Product Specifications
Immunogen
This antibody was developed against a recombinant protein corresponding to amino acids: SSSVSFKSENFRHTKELNCRTASCSNVTCWLKDVHMKGEYFVNVTTRIWNGTFASSTFQTVQLTAAAEINTYNPEIYVIEDNTVTIPLMIMKPDE
Clonality
Polyclonal
Host
Rabbit
Isotype
IgG
Scientific Data Images for Integrin alpha 2/CD49b Antibody - BSA Free
Immunohistochemistry-Paraffin: Integrin alpha 2/CD49b Antibody [NBP2-38902]
Immunohistochemistry-Paraffin: Integrin alpha 2/CD49b Antibody [NBP2-38902] - Staining of human rectum shows moderate to strong membranous positivity in glandular cells.Immunohistochemistry-Paraffin: Integrin alpha 2/CD49b Antibody [NBP2-38902]
Immunohistochemistry-Paraffin: Integrin alpha 2/CD49b Antibody [NBP2-38902] - Staining of human cervix, uterine shows moderate cytoplasmic positivity in basal squamous epithelial cells.Immunohistochemistry-Paraffin: Integrin alpha 2/CD49b Antibody [NBP2-38902]
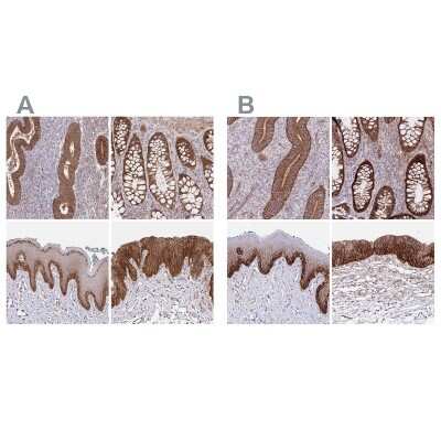
Immunohistochemistry-Paraffin: Integrin alpha 2/CD49b Antibody [NBP2-38902] - Staining of human endometrium, rectum, skin and urinary bladder using Anti-ITGA2 antibody NBP2-38902 (A) shows similar protein distribution across tissues to independent antibody NBP2-38995 (B).Applications for Integrin alpha 2/CD49b Antibody - BSA Free
Application
Recommended Usage
Immunohistochemistry
1:20 - 1:50
Immunohistochemistry-Paraffin
1:20 - 1:50
Application Notes
For IHC-Paraffin, HIER pH 6 retrieval is recommended.
Formulation, Preparation, and Storage
Purification
Affinity purified
Formulation
PBS (pH 7.2) and 40% Glycerol
Format
BSA Free
Preservative
0.02% Sodium Azide
Concentration
Concentrations vary lot to lot. See vial label for concentration. If unlisted please contact technical services.
Shipping
The product is shipped with polar packs. Upon receipt, store it immediately at the temperature recommended below.
Stability & Storage
Store at 4C short term. Aliquot and store at -20C long term. Avoid freeze-thaw cycles.
Background: Integrin alpha 2/CD49b
Additional Integrin alpha 2/CD49b Products
Product Documents for Integrin alpha 2/CD49b Antibody - BSA Free
Product Specific Notices for Integrin alpha 2/CD49b Antibody - BSA Free
This product is for research use only and is not approved for use in humans or in clinical diagnosis. Primary Antibodies are guaranteed for 1 year from date of receipt.
Loading...
Loading...
Loading...
Loading...