Skip to main content

Integrin alpha 2/CD49b Antibody (SN0752)

Novus Biologicals, part of Bio-Techne | Catalog # NBP2-67691

Recombinant Monoclonal Antibody.
Novus Biologicals, part of Bio-Techne
Catalog #
Availability
Size / Price
Qty
Loading...
NBP2-67691

Key Product Details

Species Reactivity

Human, Mouse, Rat

Applications

Flow Cytometry, Immunocytochemistry/ Immunofluorescence, Immunohistochemistry, Immunohistochemistry-Paraffin, Immunoprecipitation, Western Blot

Label

Unconjugated

Antibody Source

Recombinant Monoclonal Rabbit IgG Clone # SN0752 expressed in HEK293

Concentration

1 mg/ml

Product Specifications

Immunogen

Synthetic peptide within Human Integrin alpha 2/CD49b aa 1,132-1,181 / 1,181. (SwissProt: P17301 Human; SwissProt: Q62469 Mouse; Unigene:83597 Rat)

Localization

Membrane.

Clonality

Monoclonal

Host

Rabbit

Isotype

IgG

Description

Novus Biologicals Rabbit Integrin alpha 2/CD49b Antibody (SN0752) (NBP2-67691) is a recombinant monoclonal antibody validated for use in IHC, WB, Flow, ICC/IF and IP. All Novus Biologicals antibodies are covered by our 100% guarantee.

Scientific Data Images for Integrin alpha 2/CD49b Antibody (SN0752)

Western Blot: Integrin alpha 2/CD49b Antibody (SN0752) [NBP2-67691]

Western Blot: Integrin alpha 2/CD49b Antibody (SN0752) [NBP2-67691]

Western Blot: Integrin alpha 2/CD49b Antibody (SN0752) [NBP2-67691] - analysis of Integrin alpha 2 on different lysates. Proteins were transferred to a PVDF membrane and blocked with 5% BSA in PBS for 1 hour at room temperature. The primary antibody (1/500) was used in 5% BSA at room temperature for 2 hours. Goat Anti-Rabbit IgG - HRP Secondary Antibody (HA1001) at 1:5,000 dilution was used for 1 hour at room temperature.Positive control: Lane 1: MCF-7 cell lysateLane 2: A431 cell lysate
Immunocytochemistry/ Immunofluorescence: Integrin alpha 2/CD49b Antibody (SN0752) [NBP2-67691]

Immunocytochemistry/ Immunofluorescence: Integrin alpha 2/CD49b Antibody (SN0752) [NBP2-67691]

Immunocytochemistry/Immunofluorescence: Integrin alpha 2/CD49b Antibody (SN0752) [NBP2-67691] - Staining ITGA2 in MCF-7 cells (green). The nuclear counter stain is DAPI (blue). Cells were fixed in paraformaldehyde, permeabilised with 0.25% Triton X100/PBS.
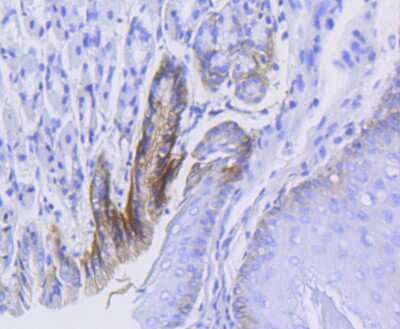
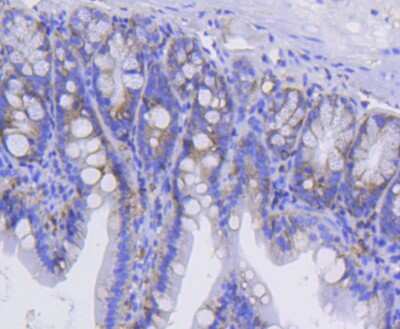
Immunohistochemistry-Paraffin: Integrin alpha 2/CD49b Antibody (SN0752) [NBP2-67691]

Immunohistochemistry-Paraffin: Integrin alpha 2/CD49b Antibody (SN0752) [NBP2-67691]

Immunohistochemistry-Paraffin: Integrin alpha 2/CD49b Antibody (SN0752) [NBP2-67691] - Analysis of paraffin-embedded mouse stomach tissue using anti-ITGA2 antibody. Counter stained with hematoxylin.

Applications for Integrin alpha 2/CD49b Antibody (SN0752)

Application
Recommended Usage

Flow Cytometry

1:50-1:100

Immunocytochemistry/ Immunofluorescence

1:100-1:500

Immunohistochemistry-Paraffin

1:50-1:200

Western Blot

1:1000-1:5000
Application Notes
IP: Use at an assay dependent concentration.

Reviewed Applications

Read 1 review rated 4 using NBP2-67691 in the following applications:

Formulation, Preparation, and Storage

Purification

Protein A purified

Formulation

TBS (pH7.4), 0.05% BSA, 40% Glycerol

Preservative

0.05% Sodium Azide

Concentration

1 mg/ml

Shipping

The product is shipped with polar packs. Upon receipt, store it immediately at the temperature recommended below.

Stability & Storage

Store at 4C short term. Aliquot and store at -20C long term. Avoid freeze-thaw cycles.

Background: Integrin alpha 2/CD49b

Integrins are heterodimeric cell surface receptors composed of alpha and beta subunits, which mediate cell-cell and cell-extracellular matrix attachments. They are responsible for adhesion of platelets and other cells to collagens, modulation of collagen and collagenase gene expression, force generation and organization of newly synthesized extracellular matrix. Aberrant integrin expression has been found in many epithelial tumours. Changes in integrin expression have been shown to be important for the growth and early metastatic capacity of melanoma cells.

Alternate Names

CD49b, ITGA2, VLA-2 alpha

Gene Symbol

ITGA2

Additional Integrin alpha 2/CD49b Products

Product Documents for Integrin alpha 2/CD49b Antibody (SN0752)

Certificate of Analysis

To download a Certificate of Analysis, please enter a lot number in the search box below.

Product Specific Notices for Integrin alpha 2/CD49b Antibody (SN0752)

This product is for research use only and is not approved for use in humans or in clinical diagnosis. Primary Antibodies are guaranteed for 1 year from date of receipt.

Loading...
Loading...
Loading...
Loading...
Loading...