Skip to main content

Importin alpha 5/KPNA1/SRP1 Antibody - BSA Free

Novus Biologicals, part of Bio-Techne | Catalog # NBP2-47418

Novus Biologicals, part of Bio-Techne
Catalog #
Availability
Size / Price
Qty
Loading...
NBP2-47418
NBP2-47418-25ul

Key Product Details

Validated by

Orthogonal Validation

Species Reactivity

Validated:

Human

Predicted:

Mouse (90%), Rat (94%). Backed by our 100% Guarantee.

Applications

Immunohistochemistry, Immunohistochemistry-Paraffin, Western Blot, Immunocytochemistry/ Immunofluorescence

Label

Unconjugated

Antibody Source

Polyclonal Rabbit IgG

Format

BSA Free

Concentration

Concentrations vary lot to lot. See vial label for concentration. If unlisted please contact technical services.

Product Specifications

Immunogen

This antibody was developed against a recombinant protein corresponding to amino acids: MEMAPGGVITSDMIEMIFSKSPEQQLSATQK

Clonality

Polyclonal

Host

Rabbit

Isotype

IgG

Description

Novus Biologicals Rabbit Importin alpha 5/KPNA1/SRP1 Antibody - BSA Free (NBP2-47418) is a polyclonal antibody validated for use in IHC, WB and ICC/IF. All Novus Biologicals antibodies are covered by our 100% guarantee.

Scientific Data Images for Importin alpha 5/KPNA1/SRP1 Antibody - BSA Free

Western Blot: Importin alpha 5/KPNA1/SRP1 Antibody [NBP2-47418]

Western Blot: Importin alpha 5/KPNA1/SRP1 Antibody [NBP2-47418]

Western Blot: Importin alpha 5/KPNA1/SRP1 Antibody [NBP2-47418] - Lane 1: Marker [kDa] 250, 130, 95, 72, 55, 36, 28, 17, 10. Lane 2: Human cell line RT-4. Lane 3: Human cell line U-251MG.
Immunocytochemistry/ Immunofluorescence: Importin alpha 5/KPNA1/SRP1 Antibody [NBP2-47418]

Immunocytochemistry/ Immunofluorescence: Importin alpha 5/KPNA1/SRP1 Antibody [NBP2-47418]

Immunocytochemistry/Immunofluorescence: Importin alpha 5/KPNA1/SRP1 Antibody [NBP2-47418] - Immunofluorescent staining of human cell line U-2 OS shows localization to nucleoplasm & cytosol.
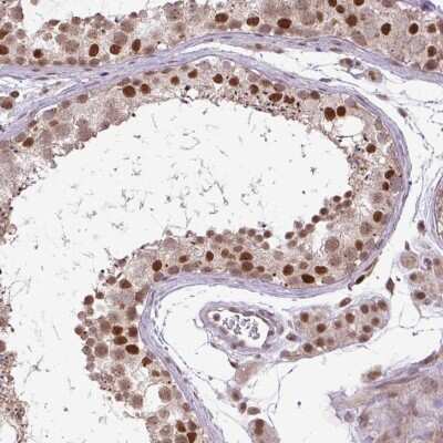
Immunohistochemistry-Paraffin: Importin alpha 5/KPNA1/SRP1 Antibody [NBP2-47418]

Immunohistochemistry-Paraffin: Importin alpha 5/KPNA1/SRP1 Antibody [NBP2-47418]

Immunohistochemistry-Paraffin: Importin alpha 5/KPNA1/SRP1 Antibody [NBP2-47418] - Staining of human testis shows high expression.

Applications for Importin alpha 5/KPNA1/SRP1 Antibody - BSA Free

Application
Recommended Usage

Immunocytochemistry/ Immunofluorescence

0.25-2 ug/ml

Immunohistochemistry

1:500 - 1:1000

Immunohistochemistry-Paraffin

1:500 - 1:1000

Western Blot

0.04-0.4 ug/ml
Application Notes
For IHC-Paraffin, HIER pH 6 retrieval is recommended. Immunocytochemistry/Immunofluorescence Fixation Permeabilization: Use PFA/Triton X-100.

Formulation, Preparation, and Storage

Purification

Affinity purified

Formulation

PBS (pH 7.2) and 40% Glycerol

Format

BSA Free

Preservative

0.02% Sodium Azide

Concentration

Concentrations vary lot to lot. See vial label for concentration. If unlisted please contact technical services.

Shipping

The product is shipped with polar packs. Upon receipt, store it immediately at the temperature recommended below.

Stability & Storage

Store at 4C short term. Aliquot and store at -20C long term. Avoid freeze-thaw cycles.

Background: Importin alpha 5/KPNA1

Recombination activating proteins RAG1 and RAG2 regulate and mediate V(D)J recombination, the process by which genes for immunoglobulins and T-cell receptors are generated. Several other ubiquitously expressed proteins are thought to be recruited in the recombination process. Among these are the genes affected in severe combined immune deficiency and genes involved in ds-DNA break repair. The protein encoded by this gene interacts with RAG1 and may play a role in V(D)J recombination

Alternate Names

IPOA5, KPNA1, NPI-1, RCH2, SRP1

Gene Symbol

KPNA1

Additional Importin alpha 5/KPNA1 Products

Product Documents for Importin alpha 5/KPNA1/SRP1 Antibody - BSA Free

Certificate of Analysis

To download a Certificate of Analysis, please enter a lot number in the search box below.

Product Specific Notices for Importin alpha 5/KPNA1/SRP1 Antibody - BSA Free

This product is for research use only and is not approved for use in humans or in clinical diagnosis. Primary Antibodies are guaranteed for 1 year from date of receipt.

Loading...
Loading...
Loading...
Loading...