Skip to main content

ILF2 Antibody - BSA Free

Novus Biologicals, part of Bio-Techne | Catalog # NBP1-71902

Novus Biologicals, part of Bio-Techne

Key Product Details

Species Reactivity

Validated:

Human, Mouse

Predicted:

Primate (100%), Rat (100%), Xenopus (100%). Backed by our 100% Guarantee.

Applications

Immunohistochemistry, Immunohistochemistry-Paraffin, Western Blot, Immunoprecipitation

Label

Unconjugated

Antibody Source

Polyclonal Rabbit IgG

Format

BSA Free

Concentration

1.0 mg/ml

Product Specifications

Immunogen

The immunogen for this product maps to a region between residue 340 and 390 of human Nuclear Factor of Activated T-cells 45 kDa using the numbering given in entry NP_004506.2 (GeneID 3608).

Reactivity Notes

X. tropicalis and Orangutan (100%).

Clonality

Polyclonal

Host

Rabbit

Isotype

IgG

Description

Novus Biologicals Rabbit ILF2 Antibody - BSA Free (NBP1-71902) is a polyclonal antibody validated for use in IHC, WB and IP. All Novus Biologicals antibodies are covered by our 100% guarantee.

Scientific Data Images for ILF2 Antibody - BSA Free

Western Blot: ILF2 Antibody [NBP1-71902]

Western Blot: ILF2 Antibody [NBP1-71902]

Western Blot: ILF2 Antibody [NBP1-71902] - Whole cell lysate from HeLa (5, 15 and 50 mcg for WB; 1 mg for IP, 20% of IP loaded), 293T (T; 50 mcg) and mouse NIH3T3 (M; 50 mcg) cells. Antibodies: Affinity purified rabbit anti-NF45 antibody used for WB at 0.1 mcg/ml (A) and 1 mcg/ml (B) and used for IP at 6 mcg/mg lysate.
Immunohistochemistry: ILF2 Antibody [NBP1-71902]

Immunohistochemistry: ILF2 Antibody [NBP1-71902]

Immunohistochemistry: ILF2 Antibody [NBP1-71902] - Sample: FFPE section of mouse renal cell carcinoma. Antibody: Affinity purified rabbit anti- NF45 used at a dilution of 1:1,000 (1ug/ml). Detection: DAB. Counterstain: hematoxylin (blue).
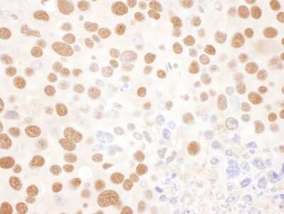
Immunohistochemistry: ILF2 Antibody [NBP1-71902]

Immunohistochemistry: ILF2 Antibody [NBP1-71902]

Immunohistochemistry: ILF2 Antibody [NBP1-71902] - Sample: FFPE section of human lung cancer. Antibody: Affinity purified rabbit anti- NF45 used at a dilution of 1:5,000 (0.2ug/ml). Detection: DAB. Counterstain: hematoxylin (blue).

Applications for ILF2 Antibody - BSA Free

Application
Recommended Usage

Immunohistochemistry

1:1000 - 1:5000

Immunohistochemistry-Paraffin

1:1000 1:5000

Immunoprecipitation

2-10 mcg/mg

Western Blot

1:2000-1:10000
Application Notes
Epitope retrieval with citrate buffer pH6.0 is recommended for FFPE tissue sections.

Formulation, Preparation, and Storage

Purification

Immunogen affinity purified

Formulation

Tris-Citrate/Phosphate (pH 7.0 - 8.0)

Format

BSA Free

Preservative

0.09% Sodium Azide

Concentration

1.0 mg/ml

Shipping

The product is shipped with polar packs. Upon receipt, store it immediately at the temperature recommended below.

Stability & Storage

Store at 4C. Do not freeze.

Background: ILF2

Nuclear factor of activated T-cells (NFAT) is a transcription factor required for T-cell expression of the interleukin 2 gene. NFAT binds to a sequence in the interleukin 2 gene enhancer known as the antigen receptor response element 2.In addition, NFAT can bind RNA and is an essential component for encapsidation and protein priming of hepatitis B viral polymerase. NFAT is a heterodimer of 45 kDa and 90 kDa proteins, the smaller of which is the product of thisgene. The encoded protein binds strongly to the 90 kDa protein and stimulates its ability to enhance gene expression.

Alternate Names

interleukin enhancer binding factor 2, 45kD, interleukin enhancer binding factor 2, 45kDa, interleukin enhancer-binding factor 2, MGC8391, NF45PRO3063, Nuclear factor of activated T-cells 45 kDa, nuclear factor of activated T-cells, 45-kDa

Gene Symbol

ILF2

Additional ILF2 Products

Product Documents for ILF2 Antibody - BSA Free

Certificate of Analysis

To download a Certificate of Analysis, please enter a lot number in the search box below.

Product Specific Notices for ILF2 Antibody - BSA Free

This product is for research use only and is not approved for use in humans or in clinical diagnosis. Primary Antibodies are guaranteed for 1 year from date of receipt.

Loading...
Loading...
Loading...
Loading...