Skip to main content

IL-28A/IFN-lambda 2 Antibody (7B9A4) - BSA Free

Novus Biologicals, part of Bio-Techne | Catalog # NBP2-52494

Novus Biologicals, part of Bio-Techne
Catalog #
Availability
Size / Price
Qty
Loading...
NBP2-52494
NBP2-52494-0.025mg

Key Product Details

Species Reactivity

Human

Applications

CyTOF-ready, ELISA, Immunohistochemistry, Immunohistochemistry-Paraffin, Western Blot

Label

Unconjugated

Antibody Source

Monoclonal Mouse IgG1 Clone # 7B9A4

Format

BSA Free

Concentration

1 mg/ml

Product Specifications

Immunogen

Purified recombinant fragment of human IL-28A/IFN-lambda 2 (AA: 1-200) expressed in E. Coli.

Clonality

Monoclonal

Host

Mouse

Isotype

IgG1

Theoretical MW

22.3 kDa.
Disclaimer note: The observed molecular weight of the protein may vary from the listed predicted molecular weight due to post translational modifications, post translation cleavages, relative charges, and other experimental factors.

Description

Novus Biologicals Mouse IL-28A/IFN-lambda 2 Antibody (7B9A4) - BSA Free (NBP2-52494) is a monoclonal antibody validated for use in IHC, WB and ELISA. All Novus Biologicals antibodies are covered by our 100% guarantee.

Scientific Data Images for IL-28A/IFN-lambda 2 Antibody (7B9A4) - BSA Free

Western Blot: IL-28A/IFN-lambda 2 Antibody (7B9A4)BSA Free [NBP2-52494]

Western Blot: IL-28A/IFN-lambda 2 Antibody (7B9A4)BSA Free [NBP2-52494]

Western Blot: IL-28A/IFN-lambda 2 Antibody (7B9A4) [NBP2-52494] - Analysis using IL28A mouse mAb against SK-Br-3 (1) cell lysate.
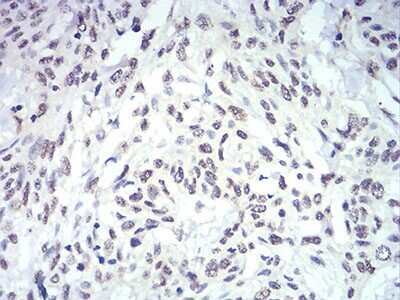
Immunohistochemistry: IL-28A/IFN-lambda 2 Antibody (7B9A4) - BSA Free [NBP2-52494]

Immunohistochemistry: IL-28A/IFN-lambda 2 Antibody (7B9A4) - BSA Free [NBP2-52494]

Immunohistochemistry: IL-28A/IFN-lambda 2 Antibody (7B9A4) [NBP2-52494] - Analysis of paraffin-embedded esophageal cancer tissues using IL28A mouse mAb with DAB staining.
Western Blot: IL-28A/IFN-lambda 2 Antibody (7B9A4)BSA Free [NBP2-52494]

Western Blot: IL-28A/IFN-lambda 2 Antibody (7B9A4)BSA Free [NBP2-52494]

Western Blot: IL-28A/IFN-lambda 2 Antibody (7B9A4) [NBP2-52494] - Wnalysis using IL28A mAb against HEK293 (1) and IL28A (AA: 1-200)-hIgGFc transfected HEK293 (2) cell lysate.

Applications for IL-28A/IFN-lambda 2 Antibody (7B9A4) - BSA Free

Application
Recommended Usage

ELISA

1:10000

Immunohistochemistry

1:200-1:1000

Immunohistochemistry-Paraffin

1:200-1:1000

Western Blot

1:500-1:2000
Application Notes
This antibody is Cytof ready.

Formulation, Preparation, and Storage

Purification

Protein G purified

Formulation

PBS

Format

BSA Free

Preservative

0.05% Sodium Azide

Concentration

1 mg/ml

Shipping

The product is shipped with polar packs. Upon receipt, store it immediately at the temperature recommended below.

Stability & Storage

Store at 4C short term. Aliquot and store at -20C long term. Avoid freeze-thaw cycles.

Background: IL-28A/IFN-lambda 2

IL‑28A/Interferon-lambda 2) is a type III interferon that is upregulated in response to viral infection. It acts primarily on epithelial cells through a receptor complex that contains IL-10 R beta and IL-28 R alpha/IFN-lambda R1. IL-28A promotes the Th1 polarization of dendritic cells in the airway (e.g. production of IL-12 p70 and IFN-gamma) and inhibits Th2 and Th17 mediated inflammation. In the liver, however, the IL-28A induced Th1 cytokine response contributes to inflammation in T cell mediated hepatitis. IL-28A additionally exhibits anti-tumor activity, in part by enhancing IL-12 dependent anti-tumor CTL responses. In contrast, it is upregulated in invasive bladder cancer where it promotes tumor cell migration.

Long Name

Interleukin 28A

Alternate Names

IFN-lambda 2, IL28A

Gene Symbol

IFNL2

Additional IL-28A/IFN-lambda 2 Products

Product Documents for IL-28A/IFN-lambda 2 Antibody (7B9A4) - BSA Free

Certificate of Analysis

To download a Certificate of Analysis, please enter a lot number in the search box below.

Product Specific Notices for IL-28A/IFN-lambda 2 Antibody (7B9A4) - BSA Free

This product is for research use only and is not approved for use in humans or in clinical diagnosis. Primary Antibodies are guaranteed for 1 year from date of receipt.

Loading...
Loading...
Loading...
Loading...