Skip to main content

IL-2 Antibody - BSA Free

Novus Biologicals, part of Bio-Techne | Catalog # NBP2-16948

Novus Biologicals, part of Bio-Techne
Catalog #
Availability
Size / Price
Qty
Loading...
NBP2-16948

Key Product Details

Species Reactivity

Validated:

Human, Mouse

Cited:

Human, Mouse, Rat

Predicted:

Rhesus Macaque (98%). Backed by our 100% Guarantee.

Applications

Validated:

Immunohistochemistry, Immunohistochemistry-Paraffin, Western Blot, Flow Cytometry, In-situ Hybridization

Cited:

Immunohistochemistry-Paraffin, IF/IHC, In Situ Hybridization

Label

Unconjugated

Antibody Source

Polyclonal Rabbit IgG

Format

BSA Free

Concentration

Concentrations vary lot to lot. See vial label for concentration. If unlisted please contact technical services.

Product Specifications

Immunogen

Recombinant protein encompassing a sequence within the center region of human IL-2. The exact sequence is proprietary.

Reactivity Notes

Mouse reactivity reported in scientific literature (PMID: 26851347).

Localization

Secreted

Clonality

Polyclonal

Host

Rabbit

Isotype

IgG

Theoretical MW

18 kDa.
Disclaimer note: The observed molecular weight of the protein may vary from the listed predicted molecular weight due to post translational modifications, post translation cleavages, relative charges, and other experimental factors.

Description

Novus Biologicals Rabbit IL-2 Antibody - BSA Free (NBP2-16948) is a polyclonal antibody validated for use in IHC, WB and Flow. Anti-IL-2 Antibody: Cited in 4 publications. All Novus Biologicals antibodies are covered by our 100% guarantee.

Scientific Data Images for IL-2 Antibody - BSA Free

Immunohistochemistry-Paraffin: IL-2 Antibody [NBP2-16948]

Immunohistochemistry-Paraffin: IL-2 Antibody [NBP2-16948]

Immunohistochemistry-Paraffin: IL-2 Antibody [NBP2-16948] - Human tonsil. Image from verified customer review.
Flow Cytometry: IL-2 Antibody [NBP2-16948]

Flow Cytometry: IL-2 Antibody [NBP2-16948]

Flow Cytometry: IL-2 Antibody [NBP2-16948] - THP-1 cell. Black: Unlabelled sample was used as a control. Red: IL2 antibody dilution: 1:50. Acquisition of 20,000 events were collected for FACS analysis.
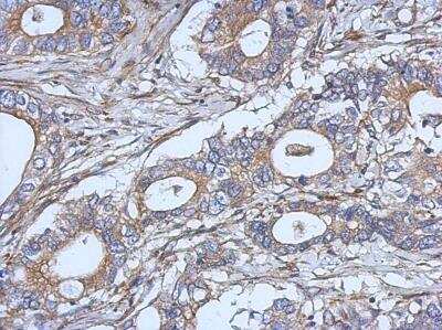
Immunohistochemistry-Paraffin: IL-2 Antibody [NBP2-16948]

Immunohistochemistry-Paraffin: IL-2 Antibody [NBP2-16948]

Immunohistochemistry-Paraffin: IL-2 Antibody [NBP2-16948] - Human gastric cancer, using IL2 antibody at 1:500 dilution. Antigen Retrieval: Trilogy™ (EDTA based, pH 8.0) buffer, 15min.

Applications for IL-2 Antibody - BSA Free

Application
Recommended Usage

Flow Cytometry

Assay dependent

Immunohistochemistry

1:100-1:1000

Immunohistochemistry-Paraffin

1:100-1:1000

In-situ Hybridization

Reported in scientific literature (PMID:35083300)

Western Blot

1:500-1:3000

Reviewed Applications

Read 1 review rated 5 using NBP2-16948 in the following applications:

Formulation, Preparation, and Storage

Purification

Antigen Affinity-purified

Formulation

PBS, 20% Glycerol

Format

BSA Free

Preservative

0.025% Proclin 300

Concentration

Concentrations vary lot to lot. See vial label for concentration. If unlisted please contact technical services.

Shipping

The product is shipped with polar packs. Upon receipt, store it immediately at the temperature recommended below.

Stability & Storage

Aliquot and store at -20C or -80C. Avoid freeze-thaw cycles.

Background: IL-2

The protein encoded by this gene is a secreted cytokine that is important for the proliferation of T and B lymphocytes. The receptor of this cytokine is a heterotrimeric protein complex whose gamma chain is also shared by interleukin 4 (IL4) and interleukin 7 (IL7). The expression of this gene in mature thymocytes is monoallelic, which represents an unusual regulatory mode for controlling the precise expression of a single gene. The targeted disruption of a similar gene in mice leads to ulcerative colitis-like disease, which suggests an essential role of this gene in the immune response to antigenic stimuli. [provided by RefSeq]

Long Name

Interleukin 2

Alternate Names

Aldesleukin, IL2, Proleukin, TCGF

Gene Symbol

IL2

UniProt

Additional IL-2 Products

Product Documents for IL-2 Antibody - BSA Free

Certificate of Analysis

To download a Certificate of Analysis, please enter a lot number in the search box below.

Product Specific Notices for IL-2 Antibody - BSA Free

This product is for research use only and is not approved for use in humans or in clinical diagnosis. Primary Antibodies are guaranteed for 1 year from date of receipt.

Loading...
Loading...
Loading...
Loading...
Loading...

⚠ WARNING: This product can expose you to chemicals including mercury, which is known to the State of California to cause reproductive toxicity with developmental effects.  For more information go to www.P65Warnings.ca.gov.