Immunohistochemistry: IL-1ra/IL-1F3/IL1RN Antibody (OTI2B1) [NBP2-45408]
Immunohistochemistry: IL-1ra/IL-1F3/IL1RN Antibody (2B1) [NBP2-45408] - Analysis of Adenocarcinoma of Human breast tissue. (Heat-induced epitope retrieval by 1 mM EDTA in 10mM Tris, pH8.5, 120C for 3min)
Immunohistochemistry: IL-1ra/IL-1F3/IL1RN Antibody (OTI2B1) [NBP2-45408]
Immunohistochemistry: IL-1ra/IL-1F3/IL1RN Antibody (2B1) [NBP2-45408] - Analysis of Human colon tissue. (Heat-induced epitope retrieval by 1 mM EDTA in 10mM Tris, pH8.5, 120C for 3min)
Immunohistochemistry: IL-1ra/IL-1F3/IL1RN Antibody (OTI2B1) [NBP2-45408]
Immunohistochemistry: IL-1ra/IL-1F3/IL1RN Antibody (2B1) [NBP2-45408] - Analysis of Adenocarcinoma of Human colon tissue. (Heat-induced epitope retrieval by 1 mM EDTA in 10mM Tris, pH8.5, 120C for 3min)
Immunohistochemistry: IL-1ra/IL-1F3/IL1RN Antibody (OTI2B1) [NBP2-45408]
Immunohistochemistry: IL-1ra/IL-1F3/IL1RN Antibody (2B1) [NBP2-45408] - Analysis of Human Kidney tissue. (Heat-induced epitope retrieval by 1 mM EDTA in 10mM Tris, pH8.5, 120C for 3min)
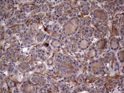
Immunohistochemistry: IL-1ra/IL-1F3/IL1RN Antibody (OTI2B1) [NBP2-45408]
Immunohistochemistry: IL-1ra/IL-1F3/IL1RN Antibody (2B1) [NBP2-45408] - Analysis of Carcinoma of Human kidney tissue. (Heat-induced epitope retrieval by 1 mM EDTA in 10mM Tris, pH8.5, 120C for 3min)
Immunohistochemistry: IL-1ra/IL-1F3/IL1RN Antibody (OTI2B1) [NBP2-45408]
Immunohistochemistry: IL-1ra/IL-1F3/IL1RN Antibody (2B1) [NBP2-45408] - Analysis of Human liver tissue. (Heat-induced epitope retrieval by 1 mM EDTA in 10mM Tris, pH8.5, 120C for 3min)
Immunohistochemistry: IL-1ra/IL-1F3/IL1RN Antibody (OTI2B1) [NBP2-45408]
Immunohistochemistry: IL-1ra/IL-1F3/IL1RN Antibody (2B1) [NBP2-45408] - Analysis of Carcinoma of Human liver tissue.(Heat-induced epitope retrieval by 1 mM EDTA in 10mM Tris, pH8.5, 120C for 3min)
Immunohistochemistry: IL-1ra/IL-1F3/IL1RN Antibody (OTI2B1) [NBP2-45408]
Immunohistochemistry: IL-1ra/IL-1F3/IL1RN Antibody (2B1) [NBP2-45408] - Analysis of Human lung tissue. (Heat-induced epitope retrieval by 1 mM EDTA in 10mM Tris, pH8.5, 120C for 3min)
Immunohistochemistry: IL-1ra/IL-1F3/IL1RN Antibody (OTI2B1) [NBP2-45408]
Immunohistochemistry: IL-1ra/IL-1F3/IL1RN Antibody (2B1) [NBP2-45408] - Analysis of Carcinoma of Human lung tissue.(Heat-induced epitope retrieval by 1 mM EDTA in 10mM Tris, pH8.5, 120C for 3min)
Immunohistochemistry: IL-1ra/IL-1F3/IL1RN Antibody (OTI2B1) [NBP2-45408]
Immunohistochemistry: IL-1ra/IL-1F3/IL1RN Antibody (2B1) [NBP2-45408] - Analysis of Human Ovary tissue. (Heat-induced epitope retrieval by 1 mM EDTA in 10mM Tris, pH8.5, 120C for 3min)
Immunohistochemistry: IL-1ra/IL-1F3/IL1RN Antibody (OTI2B1) [NBP2-45408]
Immunohistochemistry: IL-1ra/IL-1F3/IL1RN Antibody (2B1) [NBP2-45408] - Analysis of Adenocarcinoma of Human ovary tissue. (Heat-induced epitope retrieval by 1 mM EDTA in 10mM Tris, pH8.5, 120C for 3min)
Immunohistochemistry: IL-1ra/IL-1F3/IL1RN Antibody (OTI2B1) [NBP2-45408]
Immunohistochemistry: IL-1ra/IL-1F3/IL1RN Antibody (2B1) [NBP2-45408] - Analysis of Human pancreas tissue. (Heat-induced epitope retrieval by 1 mM EDTA in 10mM Tris, pH8.5, 120C for 3min)
Immunohistochemistry: IL-1ra/IL-1F3/IL1RN Antibody (OTI2B1) [NBP2-45408]
Immunohistochemistry: IL-1ra/IL-1F3/IL1RN Antibody (2B1) [NBP2-45408] - Analysis of Human thyroid tissue. (Heat-induced epitope retrieval by 1 mM EDTA in 10mM Tris, pH8.5, 120C for 3min)
Immunohistochemistry: IL-1ra/IL-1F3/IL1RN Antibody (OTI2B1) [NBP2-45408]
Immunohistochemistry: IL-1ra/IL-1F3/IL1RN Antibody (2B1) [NBP2-45408] - Analysis of Carcinoma of Human thyroid tissue. (Heat-induced epitope retrieval by 1 mM EDTA in 10mM Tris, pH8.5, 120C for 3min)
Immunohistochemistry: IL-1ra/IL-1F3/IL1RN Antibody (OTI2B1) [NBP2-45408]
Immunohistochemistry: IL-1ra/IL-1F3/IL1RN Antibody (2B1) [NBP2-45408] - Analysis of Human endometrium tissue. (Heat-induced epitope retrieval by 1 mM EDTA in 10mM Tris, pH8.5, 120C for 3min)
Immunohistochemistry: IL-1ra/IL-1F3/IL1RN Antibody (OTI2B1) [NBP2-45408]
Immunohistochemistry: IL-1ra/IL-1F3/IL1RN Antibody (2B1) [NBP2-45408] - Analysis of Adenocarcinoma of Human endometrium tissue. (Heat-induced epitope retrieval by 1 mM EDTA in 10mM Tris, pH8.5, 120C for 3min)
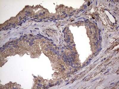
Immunohistochemistry: IL-1ra/IL-1F3/IL1RN Antibody (OTI2B1) [NBP2-45408]
Immunohistochemistry: IL-1ra/IL-1F3/IL1RN Antibody (2B1) [NBP2-45408] - Analysis of Human prostate tissue. (Heat-induced epitope retrieval by 1 mM EDTA in 10mM Tris, pH8.5, 120C for 3min)
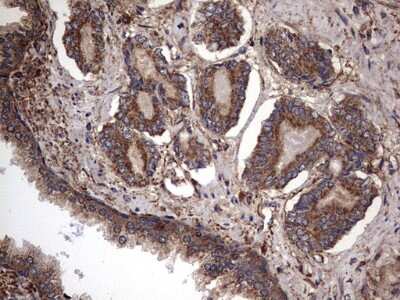
Immunohistochemistry: IL-1ra/IL-1F3/IL1RN Antibody (OTI2B1) [NBP2-45408]
Immunohistochemistry: IL-1ra/IL-1F3/IL1RN Antibody (2B1) [NBP2-45408] - Analysis of Carcinoma of Human prostate tissue. (Heat-induced epitope retrieval by 1 mM EDTA in 10mM Tris, pH8.5, 120C for 3min)
Immunohistochemistry: IL-1ra/IL-1F3/IL1RN Antibody (OTI2B1) [NBP2-45408]
Immunohistochemistry: IL-1ra/IL-1F3/IL1RN Antibody (2B1) [NBP2-45408] - Analysis of Human bladder tissue. (Heat-induced epitope retrieval by 1 mM EDTA in 10mM Tris, pH8.5, 120C for 3min)
Immunohistochemistry: IL-1ra/IL-1F3/IL1RN Antibody (OTI2B1) [NBP2-45408]
Immunohistochemistry: IL-1ra/IL-1F3/IL1RN Antibody (2B1) [NBP2-45408] - Analysis of Carcinoma of Human bladder tissue. (Heat-induced epitope retrieval by 1 mM EDTA in 10mM Tris, pH8.5, 120C for 3min)
Immunohistochemistry: IL-1ra/IL-1F3/IL1RN Antibody (OTI2B1) [NBP2-45408]
Immunohistochemistry: IL-1ra/IL-1F3/IL1RN Antibody (2B1) [NBP2-45408] - Analysis of Human lymph node tissue. (Heat-induced epitope retrieval by 1 mM EDTA in 10mM Tris, pH8.5, 120C for 3min)
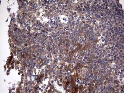
Immunohistochemistry: IL-1ra/IL-1F3/IL1RN Antibody (OTI2B1) [NBP2-45408]
Immunohistochemistry: IL-1ra/IL-1F3/IL1RN Antibody (2B1) [NBP2-45408] - Analysis of Human lymphoma tissue. (Heat-induced epitope retrieval by 1 mM EDTA in 10mM Tris, pH8.5, 120C for 3min)