Skip to main content

IKB zeta Antibody - BSA Free

Novus Biologicals, part of Bio-Techne | Catalog # NBP1-89835

Novus Biologicals, part of Bio-Techne
Catalog #
Availability
Size / Price
Qty
Loading...
NBP1-89835-25ul
NBP1-89835

Key Product Details

Species Reactivity

Validated:

Human, Mouse

Cited:

Mouse

Applications

Validated:

Immunohistochemistry, Immunohistochemistry-Paraffin

Cited:

Immunohistochemistry-Paraffin, IF/IHC

Label

Unconjugated

Antibody Source

Polyclonal Rabbit IgG

Format

BSA Free

Concentration

Concentrations vary lot to lot. See vial label for concentration. If unlisted please contact technical services.

Product Specifications

Immunogen

This antibody was developed against Recombinant Protein corresponding to amino acids: QGRRALSYVLARKMNALHMLDIKEHNGQSAFQVAVAANQHLIVQDLVNIGAQVNTTDCWGRTPLHVCAEKGHSQVLQAIQKGAVGSNQFVDLEATNYDGLTPLHCAVIAHNAVVHELQRNQQPHSPEVQELLL

Reactivity Notes

Rat (89%). Use in Mouse reported in scientific publication (PMID: 32647171).

Clonality

Polyclonal

Host

Rabbit

Isotype

IgG

Scientific Data Images for IKB zeta Antibody - BSA Free

IKB zeta Antibody - BSA Free Immunohistochemistry-Paraffin: IKB zeta Antibody - BSA Free [NBP1-89835]

Immunohistochemistry-Paraffin: IKB zeta Antibody - BSA Free [NBP1-89835]

Staining of human cerebral cortex shows low positivity in neurons as expected.
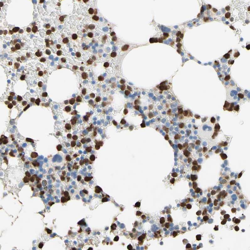
IKB zeta Antibody - BSA Free Immunohistochemistry-Paraffin: IKB zeta Antibody - BSA Free [NBP1-89835]

Immunohistochemistry-Paraffin: IKB zeta Antibody - BSA Free [NBP1-89835]

Staining of human bone marrow shows strong nuclear positivity in hematopoietic cells.
IKB zeta Antibody - BSA Free Immunohistochemistry-Paraffin: IKB zeta Antibody - BSA Free [NBP1-89835]

Immunohistochemistry-Paraffin: IKB zeta Antibody - BSA Free [NBP1-89835]

Staining of human skeletal muscle shows low positivity in myocytes as expected.

Applications for IKB zeta Antibody - BSA Free

Application
Recommended Usage

Immunohistochemistry

1:50 - 1:200

Immunohistochemistry-Paraffin

1:50 - 1:200
Application Notes
IHC-P-Retrieval method: HIER pH6

Formulation, Preparation, and Storage

Purification

Affinity purified

Formulation

PBS (pH 7.2) and 40% Glycerol

Format

BSA Free

Preservative

0.02% Sodium Azide

Concentration

Concentrations vary lot to lot. See vial label for concentration. If unlisted please contact technical services.

Shipping

The product is shipped with polar packs. Upon receipt, store it immediately at the temperature recommended below.

Stability & Storage

Store at 4C short term. Aliquot and store at -20C long term. Avoid freeze-thaw cycles.

Background: IKB zeta

IkappaBzeta (also known as MAIL and INAP) is an ankyrin-repeat-containing nuclear protein that is highly homologous to the IkappaB family member Bcl-3. Transcription of IkappaBzeta is upregulated by stimulation with TLR ligands, IL-1 and IL-6 in cultured B-lymphocytes and monocytes/macrophages, but only faintly so in T-lymphocytes, fibroblasts, and endothelial cells. IkappaB-zeta preferentially associates with the NF-kappaB subunit p50 rather than p65 and recombinant IkappaB-zeta proteins inhibit the DNA binding of the p65/p50 heterodimer and the p50/p50 homodimer.

Alternate Names

FLJ30225, FLJ34463, IkappaBzeta, I-kappa-B-zeta, IkappaB-zeta, ikbzeta, IkB-zeta, IL-1 inducible nuclear ankyrin-repeat protein, INAPIkappa B-zeta variant 3, MAILIKBZikB-zeta, Molecule possessing ankyrin repeats induced by lipopolysaccharide, NF-kappa-B inhibitor zeta, nuclear factor of kappa light polypeptide gene enhancer in B-cells inhibitor

Entrez Gene IDs

64332 (Human)

Gene Symbol

NFKBIZ

UniProt

Additional IKB zeta Products

Product Documents for IKB zeta Antibody - BSA Free

Certificate of Analysis

To download a Certificate of Analysis, please enter a lot number in the search box below.

Product Specific Notices for IKB zeta Antibody - BSA Free

This product is for research use only and is not approved for use in humans or in clinical diagnosis. Primary Antibodies are guaranteed for 1 year from date of receipt.

Loading...
Loading...
Loading...
Loading...