ICMT Antibody
Novus Biologicals, part of Bio-Techne | Catalog # NBP3-12316
Key Product Details
Species Reactivity
Human, Mouse, Rat
Applications
ELISA, Immunohistochemistry, Immunohistochemistry-Paraffin, Immunoprecipitation, Western Blot
Label
Unconjugated
Antibody Source
Polyclonal Rabbit
Concentration
Please see the vial label for concentration. If unlisted please contact technical services.
Product Specifications
Immunogen
Synthetic peptide taken within amino acid region 230-284 on human Protein-S-isoprenylcysteine O-methyltransferase.
Clonality
Polyclonal
Host
Rabbit
Description
Novus Biologicals Rabbit ICMT Antibody (NBP3-12316) is a polyclonal antibody validated for use in IHC, WB, ELISA and IP. All Novus Biologicals antibodies are covered by our 100% guarantee.
Scientific Data Images for ICMT Antibody
Immunohistochemistry-Paraffin: ICMT Antibody [NBP3-12316]
Immunohistochemistry-Paraffin: ICMT Antibody [NBP3-12316] - Mouse Brain. 1:50 dilution in IHC blcoking buffer. DAB (brown) staining Hematoxylin QS (blue). counterstain. 40X magnification.Immunohistochemistry-Paraffin: ICMT Antibody [NBP3-12316]
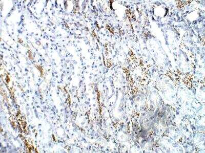
Immunohistochemistry-Paraffin: ICMT Antibody [NBP3-12316] - Mouse Kidney. 1:50 dilution in IHC blcoking buffer. DAB (brown) staining Hematoxylin QS (blue). counterstain. 20X magnification.Immunohistochemistry-Paraffin: ICMT Antibody [NBP3-12316]
Immunohistochemistry-Paraffin: ICMT Antibody [NBP3-12316] - Mouse Kidney. 1:50 dilution in IHC blcoking buffer. DAB (brown) staining Hematoxylin QS (blue). counterstain. 40X magnification.Applications for ICMT Antibody
Application
Recommended Usage
ELISA
1:10000
Immunohistochemistry
1:50-1:100
Immunohistochemistry-Paraffin
1:50-1:100
Immunoprecipitation
1:200
Western Blot
1:500
Formulation, Preparation, and Storage
Purification
Affinity purified
Formulation
Contains Tris, HCl/glycine buffer (pH 7.4-7.8), 30% glycerol, 0.5% BSA, along with cryo-protective agents, and HEPES (exact storage and stabilization buffer information is proprietary).
Preservative
0.02% Sodium Azide
Concentration
Please see the vial label for concentration. If unlisted please contact technical services.
Shipping
The product is shipped with polar packs. Upon receipt, store it immediately at the temperature recommended below.
Stability & Storage
Store at 4C short term. Store at -20C long term. Avoid freeze-thaw cycles.
Background: ICMT
Long Name
Protein-S-isoprenylcysteine O-methyltransferase
Alternate Names
EC 2.1.1.100, pcCMT, PPMT
Gene Symbol
ICMT
Additional ICMT Products
Product Specific Notices for ICMT Antibody
This product is for research use only and is not approved for use in humans or in clinical diagnosis. Primary Antibodies are guaranteed for 1 year from date of receipt.
Loading...
Loading...
Loading...
Loading...