Skip to main content

Human/Primate VEGF Antibody

R&D Systems, part of Bio-Techne | Catalog # MAB293R

Recombinant Monoclonal Antibody.
R&D Systems, part of Bio-Techne

Key Product Details

Species Reactivity

Validated:

Human, Primate

Cited:

Human

Applications

Validated:

Immunohistochemistry, Western Blot, ELISA Capture (Matched Antibody Pair), Neutralization

Cited:

Western Blot

Label

Unconjugated

Antibody Source

Recombinant Monoclonal Mouse IgG2B Clone # 26503R

Product Specifications

Immunogen

S. frugiperda insect ovarian cell line Sf 21-derived recombinant human VEGF165
Ala27-Arg191
Accession # NP_001165097

Specificity

Detects human VEGF165 and human VEGF121 in direct ELISAs and Western blots. In ELISAs, this antibody shows approximately10% cross-reactivity with recombinant mouse (rm) VEGF and rrVEGF and no cross-reactivity with rhVEGF-D.

Clonality

Monoclonal

Host

Mouse

Isotype

IgG2B

Endotoxin Level

<0.10 EU per 1 μg of the antibody by the LAL method.

Scientific Data Images for Human/Primate VEGF Antibody

Detection of Human VEGF antibody by Western Blot.

Detection of Human VEGF by Western Blot.

Western blot shows lysates of human lung tissue. PVDF membrane was probed with 2 µg/mL of Recombinant Mouse Anti-Human/Primate VEGF Monoclonal Antibody (Catalog # MAB293R) followed by HRP-conjugated Anti-Mouse IgG Secondary Antibody (Catalog # HAF018). A specific band was detected for VEGF at approximately 25 kDa (as indicated). This experiment was conducted under reducing conditions and using Immunoblot Buffer Group 1.
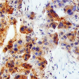
VEGF antibody in Human Liver by Immunohistochemistry (IHC-P).

VEGF in Human Liver.

VEGF was detected in immersion fixed paraffin-embedded sections of human liver using Recombinant Mouse Anti-Human/Primate VEGF Monoclonal Antibody (Catalog # MAB293R) at 15 µg/mL overnight at 4 °C. Tissue was stained using the Anti-Mouse HRP-DAB Cell & Tissue Staining Kit (brown; Catalog # CTS002) and counterstained with hematoxylin (blue). Specific staining was localized to cytoplasm in hepatocytes. View our protocol for Chromogenic IHC Staining of Paraffin-embedded Tissue Sections.
Cell Proliferation Induced by VEGF165and Neutralization by Human VEGF Antibody.

Cell Proliferation Induced by VEGF165and Neutralization by Human VEGF Antibody.

Recombinant Human VEGF165(Catalog # 293-VE) stimulates proliferation in HUVEC human umbilical vein endothelial cells in a dose-dependent manner (orange line), as measured by Resazurin (Catalog # AR002). Proliferation elicited by Recombinant Human VEGF165(10 ng/mL) is neutralized (green line) by increasing concentrations of Recombinant Mouse Anti-Human/Primate VEGF Monoclonal Antibody (Catalog # MAB293R). The ND50 is typically 10-60 ng/mL.

Applications for Human/Primate VEGF Antibody

Application
Recommended Usage

Immunohistochemistry

8-25 µg/mL
Sample: Immersion fixed paraffin-embedded sections of human liver

Western Blot

2 µg/mL
Sample: Human lung tissue

Neutralization

Measured by its ability to neutralize VEGF165-induced proliferation in HUVEC human umbilical vein endothelial cells. The Neutralization Dose (ND50) is typically 10-60 ng/mL in the presence of 10 ng/mL Recombinant Human VEGF165.

Human/Primate VEGF Sandwich Immunoassay

ELISA Capture (Matched Antibody Pair)
Recommended Concentration: 2-8 µg/mL
Use in combination with these reagents:
  • Detection Reagent: Human/Primate VEGF165 Biotinylated Antibody (Catalog # BAF293)
  • Standard: Recombinant Human VEGF 165 Protein (Catalog # 293-VE)
Please Note: Optimal dilutions of this antibody should be experimentally determined.

Formulation, Preparation, and Storage

Purification

Protein A or G purified from cell culture supernatant

Reconstitution

Reconstitute at 0.5 mg/mL in sterile PBS. For liquid material, refer to CoA for concentration.

Reconstitution Buffer Available:
Size / Price
Qty
Loading...

Formulation

Lyophilized from a 0.2 μm filtered solution in PBS with Trehalose. *Small pack size (SP) is supplied either lyophilized or as a 0.2 µm filtered solution in PBS.

Shipping

Lyophilized product is shipped at ambient temperature. Liquid small pack size (-SP) is shipped with polar packs. Upon receipt, store immediately at the temperature recommended below.

Stability & Storage

Use a manual defrost freezer and avoid repeated freeze-thaw cycles.
  • 12 months from date of receipt, -20 to -70 °C as supplied.
  • 1 month, 2 to 8 °C under sterile conditions after reconstitution.
  • 6 months, -20 to -70 °C under sterile conditions after reconstitution.

Background: VEGF

Vascular Endothelial Growth Factor (VEGF or VEGF-A), also known as Vascular Permeability Factor (VPF), is a potent mediator of both angiogenesis and vasculogenesis in the fetus and adult. It is a member of the PDGF family that is characterized by the presence of eight conserved cysteine residues and a cystine knot structure. VEGF165 appears to be the most abundant and potent isoform, followed by VEGF121 and VEGF189. Human VEGF165 is an approximately 44 kDa molecular weight homodimer sharing 88% aa sequence identity with corresponding regions of mouse and rat, 96% with porcine, 95% with canine, and 93% with feline, equine and bovine VEGF, respectively. VEGF binds the type I transmembrane receptor tyrosine kinases VEGF R1 (also called Flt-1) and VEGF R2 (Flk-1/KDR) on endothelial cells. Although VEGF affinity is highest for binding to VEGF R1, VEGF R2 appears to be the primary mediator of VEGF angiogenic activity. VEGF165 binds the Semaphorin receptor, Neuropilin-1 and promotes complex formation with VEGF R2. VEGF is required during embryogenesis and functions to regulate the proliferation, migration, and survival of endothelial cells. In adults, VEGF functions mainly in wound healing and the female reproductive cycle. Pathologically, it is involved in tumor angiogenesis and vascular leakage. Circulating VEGF levels correlate with disease activity in autoimmune diseases such as rheumatoid arthritis, multiple sclerosis and systemic lupus erythematosus. VEGF is induced by hypoxia and cytokines such as IL-1, IL-6, IL-8, Oncostatin M (OSM) and TNF-alpha.

Long Name

Vascular Endothelial Growth Factor

Alternate Names

MVCD1, VAS, Vasculotropin, VEGF-A, VEGFA, VPF

Entrez Gene IDs

7422 (Human); 22339 (Mouse); 83785 (Rat); 281572 (Bovine); 403802 (Canine); 493845 (Feline); 30682 (Zebrafish)

Gene Symbol

VEGFA

UniProt

Additional VEGF Products

Product Documents for Human/Primate VEGF Antibody

Certificate of Analysis

To download a Certificate of Analysis, please enter a lot number in the search box below.

Note: Certificate of Analysis not available for kit components.

Product Specific Notices for Human/Primate VEGF Antibody

For research use only

Loading...
Loading...
Loading...
Loading...
Loading...