Skip to main content

Key Product Details

Species Reactivity

Validated:

Human, Mouse

Cited:

Human, Mouse, Rat, Chicken

Applications

Validated:

Immunohistochemistry, Western Blot, Neutralization

Cited:

Immunohistochemistry, Immunohistochemistry-Paraffin, Immunohistochemistry-Frozen, Western Blot, Neutralization, Simple Western, Bioassay, ELISA Capture, ELISA Development, Immuno-PCR

Label

Unconjugated

Antibody Source

Polyclonal Goat IgG

Product Specifications

Immunogen

S. frugiperda insect ovarian cell line Sf 21-derived recombinant human (rh) Follistatin
Gly30-Asp329
Accession # P19883

Specificity

Detects human and mouse Follistatin in direct ELISAs and Western blots.

Clonality

Polyclonal

Host

Goat

Isotype

IgG

Endotoxin Level

<0.10 EU per 1 μg of the antibody by the LAL method.

Scientific Data Images for Human/Mouse Follistatin Antibody

Follistatin Inhibition of Activin A-induced Hemo-globin Expression and Neutralization by Human Follistatin Antibody.

Follistatin Inhibition of Activin A-induced Hemo-globin Expression and Neutralization by Human Follistatin Antibody.

Recombinant Human Follistatin 300 (Catalog # 669-FO) inhibits Recombinant Human/Mouse/Rat Activin A (Catalog # 338-AC) induced hemoglobin expression in the K562 human chronic myelogenous leukemia cell line in a dose-dependent manner (orange line), as measured by psuedoperoxidase activity. Inhibition of Recombinant Human/Mouse/Rat Activin A (7.5 ng/mL) activity elicited by Recombinant Human Follistatin 300 (0.4 µg/mL) is neutralized (green line) by increasing concentrations of Goat Anti-Human/Mouse Follistatin Antigen Affinity-purified Polyclonal Antibody (Catalog # AF669). At 6 µg/mL, this antibody will neutralize > 60% of rhFollistatin 300 bioactivity.
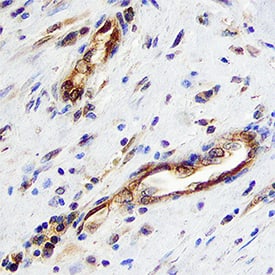
Follistatin antibody in Human Breast by Immunohistochemistry (IHC-P).

Follistatin in Human Breast.

Follistatin was detected in immersion fixed paraffin-embedded sections of human breast using Goat Anti-Human/Mouse Follistatin Antigen Affinity-purified Polyclonal Antibody (Catalog # AF669) at 10 µg/mL overnight at 4 °C. Tissue was stained using the Anti-Goat HRP-DAB Cell & Tissue Staining Kit (brown; Catalog # CTS008) and counterstained with hematoxylin (blue). Specific staining was localized to epithelial cells. View our protocol for Chromogenic IHC Staining of Paraffin-embedded Tissue Sections.
Detection of Mouse Follistatin by Immunohistochemistry

Detection of Mouse Follistatin by Immunohistochemistry

Follistatin (FST) expression is repressed in mouse mammary tumors and is restored using an Fst-expressing transgene. a Endogenous Fst expression in normal mouse mammary glands compared with human epidermal growth factor receptor 2, receptor tyrosine protein kinase erbB-2, proto-oncogene Neu (Her2/Neu)-induced mammary tumors (*p < 0.05). b Immunohistochemical analysis of endogenous FST expression in mouse mammary epithelia and tumors. cFst expression in Neu (single) and Neu/FST (bitransgenic) tumors. Fst messenger RNA expression was assessed by quantitative reverse transcription-polymerase chain reaction (**p < 0.01). d Hematoxylin and eosin (H&E)-stained mammary tumors from Neu (single) and Neu/FST (bitransgenic) mice are shown in the upper two panels. Immunohistochemistry for total (endogenous and transgenic) FST expression in lower two panels in single (left) and bitransgenic (right) tumors. Image collected and cropped by CiteAb from the following open publication (https://pubmed.ncbi.nlm.nih.gov/28583174), licensed under a CC-BY license. Not internally tested by R&D Systems.

Applications for Human/Mouse Follistatin Antibody

Application
Recommended Usage

Immunohistochemistry

5-15 µg/mL
Sample: Immersion fixed paraffin-embedded sections of human placenta and human breast

Western Blot

0.1 µg/mL
Sample: Recombinant Human (rh) Follistatin 300 aa 30-329 (Catalog # 669-FO)

Neutralization

Measured by its ability to neutralize Follistatin inhibition of Activin A-dependent hemoglobin expression in the K562 human chronic myelogenous leukemia cell line. At 6 μg/mL, this antibody will neutralize >60% of rhFollistatin 300 bioactivity on K562 cells.

Reviewed Applications

Read 1 review rated 5 using AF669 in the following applications:

Formulation, Preparation, and Storage

Purification

Antigen Affinity-purified

Reconstitution

Reconstitute at 0.2 mg/mL in sterile PBS. For liquid material, refer to CoA for concentration.

Reconstitution Buffer Available:
Size / Price
Qty
Loading...

Formulation

Lyophilized from a 0.2 μm filtered solution in PBS with Trehalose. *Small pack size (SP) is supplied either lyophilized or as a 0.2 µm filtered solution in PBS.

Shipping

Lyophilized product is shipped at ambient temperature. Liquid small pack size (-SP) is shipped with polar packs. Upon receipt, store immediately at the temperature recommended below.

Stability & Storage

Use a manual defrost freezer and avoid repeated freeze-thaw cycles.
  • 12 months from date of receipt, -20 to -70 °C as supplied.
  • 1 month, 2 to 8 °C under sterile conditions after reconstitution.
  • 6 months, -20 to -70 °C under sterile conditions after reconstitution.

Background: Follistatin

Follistatin (FS) was initially identified as a follicle-stimulating hormone inhibiting substance found in ovarian follicular fluid. It has since been shown that FS is a high‑affinity activin-binding protein that can act as an activin antagonist. Two alternatively spliced follistatin mRNAs, encoding mature FS with 288 amino acid (aa) residues (FS-288) and 315 aa residues (FS-315), exist. Natural FS purified from porcine ovaries is primarily a carboxy-terminal truncated form of FS-315 composed of 300 aa residues. The recombinant human FS-300 produced at R&D Systems contains 301 aa residues and represents a molecular form derived from human FS‑315 containing a truncation of 15 residues from the carboxy–terminus. FS-288 binds with high‑affinity to cell-surface heparan sulfate proteoglycans whereas FS-315 binds with low-affinity. The binding affinity of R&D Systems’ FS-300 to heparan sulfate has not been determined. Cell surface-associated FS has been suggested to play a role in the clearance and bioavailability of activin in vivo. Besides activin, FS has also been shown to bind with multiple BMPs and to inhibit BMP activity in early Xenopus embryos. FS deficient mice have been shown to have multiple embryonic defects that will result in death shortly after birth. Overexpression of FS can also cause reproductive defects in transgenic mice. Over aa 30-329, human Follistatin shares 97% aa identity with mouse Follistatin.

References

  1. Iemura, S. et al. (1998) Proc. Natl. Acad. Sci. USA 95:9337
  2. Guo, Q. (1998) Mol. Endocrinol. 12:96
  3. Hashimoto, O. et al. (1997) J. Biol. Chem. 272:13835

Alternate Names

FS, FST

Entrez Gene IDs

10468 (Human); 14313 (Mouse)

Gene Symbol

FST

UniProt

Additional Follistatin Products

Product Documents for Human/Mouse Follistatin Antibody

Certificate of Analysis

To download a Certificate of Analysis, please enter a lot number in the search box below.

Note: Certificate of Analysis not available for kit components.

Product Specific Notices for Human/Mouse Follistatin Antibody

For research use only

Loading...
Loading...
Loading...
Loading...