Skip to main content

Key Product Details

Species Reactivity

Validated:

Human

Cited:

Human

Applications

Validated:

Immunohistochemistry, Western Blot, Immunocytochemistry

Cited:

Western Blot

Label

Unconjugated

Antibody Source

Polyclonal Sheep IgG

Product Specifications

Immunogen

E. coli-derived recombinant human HOIP/RNF31
Arg970-Lys1072
Accession # Q96EP0

Specificity

Detects human HOIP/RNF31 in direct ELISAs and Western blots.

Clonality

Polyclonal

Host

Sheep

Isotype

IgG

Scientific Data Images for Human HOIP/RNF31 Antibody

Detection of Human HOIP/RNF31 antibody by Western Blot.

Detection of Human HOIP/RNF31 by Western Blot.

Western blot shows lysates of Jurkat human acute T cell leukemia cell line, MCF-7 human breast cancer cell line, and Raji human Burkitt's lymphoma cell line. PVDF membrane was probed with 1 µg/mL of Sheep Anti-Human HOIP/RNF31 Antigen Affinity-purified Polyclonal Antibody (Catalog # AF8039) followed by HRP-conjugated Anti-Sheep IgG Secondary Antibody (Catalog # HAF016). A specific band was detected for HOIP/RNF31 at approximately 120 kDa (as indicated). This experiment was conducted under reducing conditions and using Immunoblot Buffer Group 1.
HOIP/RNF31 antibody in MCF-7 Human Cell Line by Immunocytochemistry (ICC).

HOIP/RNF31 in MCF‑7 Human Cell Line.

HOIP/RNF31 was detected in immersion fixed MCF-7 human breast cancer cell line using Sheep Anti-Human HOIP/RNF31 Antigen Affinity-purified Polyclonal Antibody (Catalog # AF8039) at 5 µg/mL for 3 hours at room temperature. Cells were stained using the NorthernLights™ 557-conjugated Anti-Sheep IgG Secondary Antibody (red; Catalog # NL010) and counterstained with DAPI (blue). Specific staining was localized to cytoplasm. View our protocol for Fluorescent ICC Staining of Cells on Coverslips.
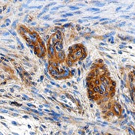
HOIP/RNF31 antibody in Human Uterus by Immunohistochemistry (IHC-P).

HOIP/RNF31 in Human Uterus.

HOIP/RNF31 was detected in immersion fixed paraffin-embedded sections of human uterus using Sheep Anti-Human HOIP/RNF31 Antigen Affinity-purified Polyclonal Antibody (Catalog # AF8039) at 10 µg/mL overnight at 4 °C. Tissue was stained using the Anti-Sheep HRP-DAB Cell & Tissue Staining Kit (brown; Catalog # CTS019) and counterstained with hematoxylin (blue). Specific staining was localized to cytoplasm in epithelial cells. View our protocol for Chromogenic IHC Staining of Paraffin-embedded Tissue Sections.

Applications for Human HOIP/RNF31 Antibody

Application
Recommended Usage

Immunocytochemistry

5-15 µg/mL
Sample: Immersion fixed MCF‑7 human breast cancer cell line

Immunohistochemistry

5-15 µg/mL
Sample: Immersion fixed paraffin-embedded sections of human uterus

Western Blot

1 µg/mL
Sample: Jurkat human acute T cell leukemia cell line, MCF‑7 human breast cancer cell line, and Raji human Burkitt's lymphoma cell line

Formulation, Preparation, and Storage

Purification

Antigen Affinity-purified

Reconstitution

Sterile PBS to a final concentration of 0.2 mg/mL. For liquid material, refer to CoA for concentration.

Reconstitution Buffer Available:
Size / Price
Qty
Loading...

Formulation

Lyophilized from a 0.2 μm filtered solution in PBS with Trehalose. *Small pack size (SP) is supplied either lyophilized or as a 0.2 µm filtered solution in PBS.

Shipping

Lyophilized product is shipped at ambient temperature. Liquid small pack size (-SP) is shipped with polar packs. Upon receipt, store immediately at the temperature recommended below.

Stability & Storage

Use a manual defrost freezer and avoid repeated freeze-thaw cycles.
  • 12 months from date of receipt, -20 to -70 °C as supplied.
  • 1 month, 2 to 8 °C under sterile conditions after reconstitution.
  • 6 months, -20 to -70 °C under sterile conditions after reconstitution.

Background: HOIP/RNF31

RNF31 (RING [Really INteresting Gene] Finger Protein 31; also HOIL-1-interacting protein/HOIP, and Zn in-between-RING-finger ubiquitin-associated domain protein/ZIBRA) is a cytoplasmic E3 ubiquitin-protein ligase that is found in breast epithelium and multiple cancer types. Although its predicted MW is 102 kDa, it runs anomalously at 95-135 kDa in SDS-Page. Ubiquitin (Ub) chains are typically thought of as 9 kDa additions to Lys residues of target molecules. The activity associated with Ub addition depends upon the location of the attachment, and the monomeric vs. polymeric nature of the chains. Ub can also be added to N-terminal Met residues by an intracellular complex called LUBAC (Linear Ub chain Assembly Complex). This complex is key to NF kappaB pathway activation. Following exposure of cells to cytokines, LUBAC ubiquitinates NEMO, which subsequently induces IKK beta phosphorylation, I kappaB alpha degradation, and NF kappaB translocation into the nucleus with gene activation. The LUBAC complex contains RNF31, HOIL-1L and sharpin, and it is now known that RNF31 is the catalyst for linear Ub chain formation. Human RNF31 is 1072 amino acids (aa) in length. It contains three consecutive RanBP2-type Zn finger domains (aa 299-438), a utilized phosphoryation site at Ser466, one UBA domain (aa 564-615), and two RING-type Zn finger domains (aa 699-747 and 860-909) with an intervening IBR-type Zn finger region (aa 779-841). There are at least two isoform variants, one that contains a 13 aa substitution for aa 1-164, and another that shows a deletion of aa 73-630 coupled to a deletion of aa 833-841. Human RNF31 shares 87% aa sequence identity with mouse RNF31.

Long Name

HOIL-1-Interacting Protein

Alternate Names

RNF31, ZIBRA

Entrez Gene IDs

55072 (Human); 268749 (Mouse); 364386 (Rat)

Gene Symbol

RNF31

UniProt

Additional HOIP/RNF31 Products

Product Documents for Human HOIP/RNF31 Antibody

Certificate of Analysis

To download a Certificate of Analysis, please enter a lot number in the search box below.

Note: Certificate of Analysis not available for kit components.

Product Specific Notices for Human HOIP/RNF31 Antibody

For research use only

Loading...
Loading...
Loading...
Loading...