Skip to main content

Key Product Details

Species Reactivity

Human

Applications

Immunohistochemistry, Western Blot, Immunocytochemistry

Label

Unconjugated

Antibody Source

Polyclonal Goat IgG

Product Specifications

Immunogen

E. coli-derived recombinant human FosB
Met1-Leu338
Accession # P53539

Specificity

Detects human FosB.

Clonality

Polyclonal

Host

Goat

Isotype

IgG

Scientific Data Images for Human FosB/G0S3 Antibody

FosB/G0S3 antibody in HeLa Human Cell Line by Immunocytochemistry (ICC).

FosB/G0S3 in HeLa Human Cell Line.

FosB/G0S3 was detected in immersion fixed HeLa human cervical epithelial carcinoma cell line using Goat Anti-Human FosB/G0S3 Antigen Affinity-purified Polyclonal Antibody (Catalog # AF2214) at 1.7 µg/mL for 3 hours at room temperature. Cells were stained using the NorthernLights™ 557-conjugated Anti-Goat IgG Secondary Antibody (red; Catalog # NL001) and counterstained with DAPI (blue). Specific staining was localized to nuclei. View our protocol for Fluorescent ICC Staining of Cells on Coverslips.
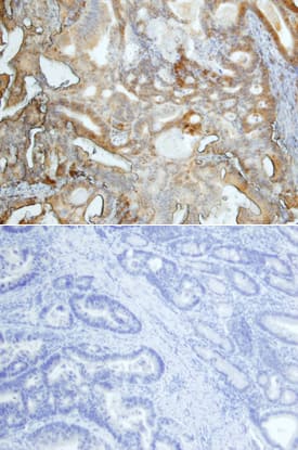
FosB/G0S3 antibody in Human Pancreas by Immunohistochemistry (IHC-P).

FosB/G0S3 in Human Pancreas.

FosB/G0S3 was detected in immersion fixed paraffin-embedded sections of human pancreas array using Goat Anti-Human FosB/G0S3 Antigen Affinity-purified Polyclonal Antibody (Catalog # AF2214) at 15 µg/mL overnight at 4 °C. Tissue was stained using the Anti-Goat HRP-DAB Cell & Tissue Staining Kit (brown; Catalog # CTS008) and counterstained with hematoxylin (blue). Lower panel shows a lack of labeling if primary antibodies are omitted and tissue is stained only with secondary antibody followed by incubation with detection reagents. View our protocol for Chromogenic IHC Staining of Paraffin-embedded Tissue Sections.

Applications for Human FosB/G0S3 Antibody

Application
Recommended Usage

Immunocytochemistry

1-15 µg/mL
Sample: Immersion fixed HeLa human cervical epithelial carcinoma cell line

Immunohistochemistry

5-15 µg/mL
Sample: Immersion fixed paraffin-embedded sections of human breast and human pancreas array

Western Blot

0.1 µg/mL
Sample: Recombinant Human FosB/G0S3

Formulation, Preparation, and Storage

Purification

Antigen Affinity-purified

Reconstitution

Reconstitute at 0.2 mg/mL in sterile PBS. For liquid material, refer to CoA for concentration.

Reconstitution Buffer Available:
Size / Price
Qty
Loading...

Formulation

Lyophilized from a 0.2 μm filtered solution in PBS with Trehalose. *Small pack size (SP) is supplied either lyophilized or as a 0.2 µm filtered solution in PBS.

Shipping

Lyophilized product is shipped at ambient temperature. Liquid small pack size (-SP) is shipped with polar packs. Upon receipt, store immediately at the temperature recommended below.

Stability & Storage

Use a manual defrost freezer and avoid repeated freeze-thaw cycles.
  • 12 months from date of receipt, -20 to -70 °C as supplied.
  • 1 month, 2 to 8 °C under sterile conditions after reconstitution.
  • 6 months, -20 to -70 °C under sterile conditions after reconstitution.

Background: FosB/G0S3

FosB is one of four Fos family proteins that associate with Jun family proteins to form the AP-1 transcription factor complex. AP-1 activity is important for gene transcription in a wide variety of cellular processes.

Long Name

FBJ Murine Osteosarcoma Viral Oncogene Homolog B

Alternate Names

G0S3

Entrez Gene IDs

2354 (Human); 14282 (Mouse)

Gene Symbol

FOSB

UniProt

Additional FosB/G0S3 Products

Product Documents for Human FosB/G0S3 Antibody

Certificate of Analysis

To download a Certificate of Analysis, please enter a lot number in the search box below.

Note: Certificate of Analysis not available for kit components.

Product Specific Notices for Human FosB/G0S3 Antibody

For research use only

Loading...
Loading...
Loading...
Loading...
Loading...