Skip to main content

Key Product Details

Validated by

Knockout/Knockdown

Species Reactivity

Validated:

Human

Cited:

Human, Mouse, Rat

Applications

Validated:

Immunohistochemistry

Cited:

Immunohistochemistry, Immunohistochemistry-Paraffin, Western Blot, Immunocytochemistry

Label

Unconjugated

Antibody Source

Polyclonal Goat IgG

Product Specifications

Immunogen

E. coli-derived recombinant human CTGF/CCN2 C-Terminus
Glu247-Ala349
Accession # P29279

Specificity

Detects human CTGF/CCN2 C-Terminus in direct ELISAs. In direct ELISAs, approximately 15% cross‑reactivity with recombinant rat CTGF is observed.

Clonality

Polyclonal

Host

Goat

Isotype

IgG

Scientific Data Images for Human CTGF/CCN2 C-Terminus Antibody

CTGF/CCN2 antibody in Human Kidney by Immunohistochemistry (IHC-P).

CTGF/CCN2 in Human Kidney.

CTGF/CCN2 was detected in immersion fixed paraffin-embedded sections of human kidney array using Goat Anti-Human CTGF/CCN2 C-Terminus Antigen Affinity-purified Polyclonal Antibody (Catalog # AF660) at 15 µg/mL overnight at 4 °C. Tissue was stained using the Anti-Goat HRP-DAB Cell & Tissue Staining Kit (brown; Catalog # CTS008) and counterstained with hematoxylin (blue). Lower panel shows a lack of labeling if primary antibodies are omitted and tissue is stained only with secondary antibody followed by incubation with detection reagents. View our protocol for Chromogenic IHC Staining of Paraffin-embedded Tissue Sections.
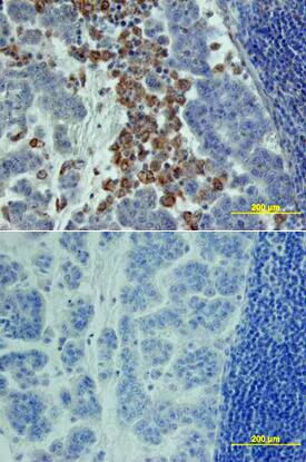
CTGF/CCN2 antibody in Human Pancreas by Immunohistochemistry (IHC-P).

CTGF/CCN2 in Human Pancreas.

CTGF/CCN2 was detected in immersion fixed paraffin-embedded sections of human pancreas array using Goat Anti-Human CTGF/CCN2 C-Terminus Antigen Affinity-purified Polyclonal Antibody (Catalog # AF660) at 15 µg/mL overnight at 4 °C. Tissue was stained using the Anti-Goat HRP-DAB Cell & Tissue Staining Kit (brown; Catalog # CTS008) and counterstained with hematoxylin (blue). Lower panel shows a lack of labeling if primary antibodies are omitted and tissue is stained only with secondary antibody followed by incubation with detection reagents. View our protocol for Chromogenic IHC Staining of Paraffin-embedded Tissue Sections.
Detection of Human CTGF/CCN2 by Western Blot

Detection of Human CTGF/CCN2 by Western Blot

Effect of KIAA1199 knock-down and over-expression on the expression of PLXNB3, SEMA5A and CTGF in fibroblast-like synoviocyte (FLS) cells. (A). Real-time PCR of KIAA1199, PLXNB3, SEMA5A and CTGF transfected with scrambled siRNA, KIAA1199 siRNA duplex, pcDNA3.2DEST and pcDNA3.2DEST-KIAA1199 for 24 h in FLS cells; beta-actin was used as a loading control. (B). Western blotting of KIAA1199, PLXNB3, SEMA5A and CTGF transfected with scrambled siRNA, KIAA1199 siRNA duplex, pcDNA3.2DEST and pcDNA3.2DEST-KIAA1199 for 48 h in FLS cells; beta-actin was used as a loading control. All experiments were performed at least in triplicates, the data are presented as mean ± SD; *P <0.05, compared with control (*significant differences). Image collected and cropped by CiteAb from the following open publication (https://pubmed.ncbi.nlm.nih.gov/26022278), licensed under a CC-BY license. Not internally tested by R&D Systems.

Applications for Human CTGF/CCN2 C-Terminus Antibody

Application
Recommended Usage

Immunohistochemistry

5-15 µg/mL
Sample: Immersion fixed paraffin-embedded sections of human breast cancer tissue, human kidney array, and human pancreas array

Reviewed Applications

Read 4 reviews rated 3.8 using AF660 in the following applications:

Formulation, Preparation, and Storage

Purification

Antigen Affinity-purified

Reconstitution

Reconstitute at 0.2 mg/mL in sterile PBS. For liquid material, refer to CoA for concentration.

Reconstitution Buffer Available:
Size / Price
Qty
Loading...

Formulation

Lyophilized from a 0.2 μm filtered solution in PBS with Trehalose. *Small pack size (SP) is supplied either lyophilized or as a 0.2 µm filtered solution in PBS.

Shipping

Lyophilized product is shipped at ambient temperature. Liquid small pack size (-SP) is shipped with polar packs. Upon receipt, store immediately at the temperature recommended below.

Stability & Storage

Use a manual defrost freezer and avoid repeated freeze-thaw cycles.
  • 12 months from date of receipt, -20 to -70 °C as supplied.
  • 1 month, 2 to 8 °C under sterile conditions after reconstitution.
  • 6 months, -20 to -70 °C under sterile conditions after reconstitution.

Background: CTGF/CCN2

CTGF belongs to the CCN (CYR61/CTGF/NOV) family of secreted proteins that share a common multimodular organization. Each protein contains an IGF-binding protein domain, a von Willebrand factor type C domain, a thrombospondin type I domain, and a cysteine knot domain. The multimodular CTGF has the ability to bind multiple ligands and has numerous effects on development, differentation, and disease. The C-terminal cysteine knot motif contains the heparin and low density lipoprotein receptor (LDLR) binding sites that contributes to the adhesive and mitogenic properties of CTGF.

Long Name

Connective Tissue Growth Factor

Alternate Names

CCN2, CTGRP, Fisp12, HCS24, IGFBP-8, NOV2

Entrez Gene IDs

1490 (Human); 14219 (Mouse); 64032 (Rat)

Gene Symbol

CCN2

UniProt

Additional CTGF/CCN2 Products

Product Documents for Human CTGF/CCN2 C-Terminus Antibody

Certificate of Analysis

To download a Certificate of Analysis, please enter a lot number in the search box below.

Note: Certificate of Analysis not available for kit components.

Product Specific Notices for Human CTGF/CCN2 C-Terminus Antibody

For research use only

Loading...
Loading...
Loading...
Loading...
Loading...