Skip to main content

Key Product Details

Species Reactivity

Validated:

Human

Cited:

Human

Applications

Validated:

Immunohistochemistry

Cited:

Immunohistochemistry, Immunohistochemistry-Paraffin, Western Blot

Label

Unconjugated

Antibody Source

Monoclonal Mouse IgG2A Clone # 384509

Product Specifications

Immunogen

E. coli-derived recombinant human BMI-1
Asp96-Gly326
Accession # P35226

Specificity

Detects human BMI-1 in direct ELISAs.

Clonality

Monoclonal

Host

Mouse

Isotype

IgG2A

Scientific Data Images for Human BMI-1 Antibody

BMI-1 antibody in Human Breast Cancer Tissue by Immunohistochemistry (IHC-P).

BMI-1 in Human Breast Cancer Tissue.

BMI-1 was detected in immersion fixed paraffin-embedded sections of human breast cancer tissue using Human BMI-1 Monoclonal Antibody (Catalog # MAB33342) at 25 µg/mL overnight at 4 °C. Tissue was stained using the Anti-Mouse HRP-DAB Cell & Tissue Staining Kit (brown; Catalog # CTS002) and counterstained with hematoxylin (blue). Specific labeling was localized to the nuclei of epithelial cells. View our protocol for Chromogenic IHC Staining of Paraffin-embedded Tissue Sections.
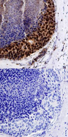
BMI-1 antibody in Human Breast by Immunohistochemistry (IHC-P).

BMI‑1 in Human Breast.

BMI-1 was detected in immersion fixed paraffin-embedded sections of normal human breast using Human BMI-1 Monoclonal Antibody (Catalog # MAB33342) at 15 µg/mL overnight at 4 °C. Tissue was stained using the Anti-Mouse HRP-DAB Cell & Tissue Staining Kit (brown; Catalog # CTS002) and counterstained with hematoxylin (blue). Lower panel shows a lack of labeling if primary antibodies are omitted and tissue is stained only with secondary antibody followed by incubation with detection reagents. View our protocol for Chromogenic IHC Staining of Paraffin-embedded Tissue Sections.

Applications for Human BMI-1 Antibody

Application
Recommended Usage

Immunohistochemistry

8-25 µg/mL
Sample: Immersion fixed paraffin-embedded sections of normal human breast and human breast cancer tissue

Reviewed Applications

Read 1 review rated 5 using MAB33342 in the following applications:

Formulation, Preparation, and Storage

Purification

Protein A or G purified from hybridoma culture supernatant

Reconstitution

Reconstitute at 0.5 mg/mL in sterile PBS. For liquid material, refer to CoA for concentration.

Reconstitution Buffer Available:
Size / Price
Qty
Loading...

Formulation

Lyophilized from a 0.2 μm filtered solution in PBS with Trehalose. *Small pack size (SP) is supplied either lyophilized or as a 0.2 µm filtered solution in PBS.

Shipping

Lyophilized product is shipped at ambient temperature. Liquid small pack size (-SP) is shipped with polar packs. Upon receipt, store immediately at the temperature recommended below.

Stability & Storage

Use a manual defrost freezer and avoid repeated freeze-thaw cycles.
  • 12 months from date of receipt, -20 to -70 °C as supplied.
  • 1 month, 2 to 8 °C under sterile conditions after reconstitution.
  • 6 months, -20 to -70 °C under sterile conditions after reconstitution.

Background: BMI-1

BMI-1 (B cell-specific Moloney-MLV integration site #1) is a 45 kDa protooncogene that is a class II member of the Polycomb group of genes. It participates in the formation of a large multimeric complex termed PRC1 that inhibits target gene transcription. Loss of BMI-1 function precludes stem cells from self-replicating. Human BMI-1 contains an N-terminal RING-finger domain (aa 17-56), an NLS (aa 81-95) and a C-terminal Pro/Ser-rich region (aa 251-326). Human BMI-1 is 99%, 97%, 99% and 99% aa identical to bovine, mouse, feline and canine BMI-1, respectively.

Long Name

B Lymphoma Mo-MLV Insertion Region 1

Alternate Names

BMI1, PCGF4, RNF51

Entrez Gene IDs

648 (Human); 12151 (Mouse)

Gene Symbol

BMI1

UniProt

Additional BMI-1 Products

Product Documents for Human BMI-1 Antibody

Certificate of Analysis

To download a Certificate of Analysis, please enter a lot number in the search box below.

Note: Certificate of Analysis not available for kit components.

Product Specific Notices for Human BMI-1 Antibody

For research use only

Loading...
Loading...
Loading...
Loading...