Skip to main content

Key Product Details

Species Reactivity

Human

Applications

Blockade of Receptor-ligand Interaction

Label

Unconjugated

Antibody Source

Monoclonal Mouse IgG2B Clone # 1018457

Product Specifications

Immunogen

Human embryonic kidney cell HEK293-derived human B7-H6
Asp25-Ser262
Accession # Q68D85

Specificity

Detects human B7-H6 in direct ELISAs.

Clonality

Monoclonal

Host

Mouse

Isotype

IgG2B

Endotoxin Level

<0.10 EU per 1 μg of the antibody by the LAL method.

Scientific Data Images for Human B7-H6 Antibody

NKp30 Binding to B7-H6 Blocked by Human B7-H6 Antibody

In a functional ELISA, 20-120 ng/mL of Mouse Anti-Human B7-H6 Monoclonal Antibody (Catalog # MAB71444) will block 50% of the binding of 20 ng/mL of Recombinant Human NKp30 Fc Chimera Protein (1849-NK) to immobilized Recombinant Human B7-H6 His-tag Protein (9309-B7) coated at 1 μg/mL (100 µL/well). At 1 μg/mL, this antibody will block >80% of the binding.
Detection of Human B7-H6 by Flow Cytometry

Detection of Human B7-H6 by Flow Cytometry

B7H6 expression in human PC cell lines and generation of B7H6 KO PC cell lines. (A) Surface expression of B7H6 on human pancreatic cancer cell lines (PANC-1, CFPAC-1, Capan-1, PL45) was assessed with a Fortessa X20 flow cytometer. (B) Immunoblotting detected B7H6 protein expression in human pancreatic cancer cell lines, with K562 as a positive control. GAPDH was used as a loading control. (C) sB7H6 secreted by pancreatic cancer cells into supernatants at 24 and 48 hours was analyzed by ELISA. Medium collected from K562 or RPMI-1640 served as a positive or negative control, respectively. Data from at least 3 independent experiments are shown as mean ± SEM. (D) Immunoblotting detected the protein expression of B7H6 after what was knocked out by CRISPR/Cas9 from PANC-1 and Capan-1 cells. beta-actin was the internal control (E) Quantification of B7H6 protein expression on PANC-1 and Capan-1 cells normalized to beta-actin. Image collected and cropped by CiteAb from the following open publication (https://pubmed.ncbi.nlm.nih.gov/35311080), licensed under a CC-BY license. Not internally tested by R&D Systems.
Detection of Human B7-H6 by Immunohistochemistry

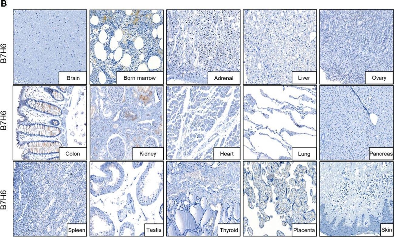
Detection of Human B7-H6 by Immunohistochemistry

B7H6 expression in human pancreatic cancer tissues. (A) IHC staining of B7H6 in tumor (right) and adjacent tissues (left) of a pancreatic cancer patient’s specimens (magnification: Middle, 10×; right and left, 100×). (B) B7H6 expression in benign human organs shown by IHC staining of B7H6 (magnification: 100×). (C) Kaplan-Meier survival analysis of overall survival between PC patients who carried B7H6-positive or -negative tumors. P=0.017. (D) Kaplan-Meier analysis of overall survival between patients with high levels of B7H6 (H score ≥ 47) and those with low levels (H-score < 47). P<0.001. Image collected and cropped by CiteAb from the following open publication (https://pubmed.ncbi.nlm.nih.gov/35311080), licensed under a CC-BY license. Not internally tested by R&D Systems.

Applications for Human B7-H6 Antibody

Application
Recommended Usage

Blockade of Receptor-ligand Interaction

In a functional ELISA, 20-120 ng/mL of Mouse Anti-Human B7-H6 Monoclonal Antibody (Catalog # MAB71444) will block 50% of the binding of 20 ng/mL of Recombinant Human NKp30 Fc Chimera Protein (Catalog # 1849-NK) to immobilized Recombinant Human B7-H6 His-tag Protein (Catalog # 9309-B7) coated at 1 μg/mL (100 µL/well). At 1 μg/mL, this antibody will block >80% of the binding.

Formulation, Preparation, and Storage

Purification

Protein A or G purified from hybridoma culture supernatant

Reconstitution

Reconstitute at 0.5 mg/mL in sterile PBS. For liquid material, refer to CoA for concentration.

Reconstitution Buffer Available:
Size / Price
Qty
Loading...

Formulation

Lyophilized from a 0.2 μm filtered solution in PBS with Trehalose. *Small pack size (SP) is supplied either lyophilized or as a 0.2 µm filtered solution in PBS.

Shipping

Lyophilized product is shipped at ambient temperature. Liquid small pack size (-SP) is shipped with polar packs. Upon receipt, store immediately at the temperature recommended below.

Stability & Storage

Use a manual defrost freezer and avoid repeated freeze-thaw cycles.
  • 12 months from date of receipt, -20 to -70 °C as supplied.
  • 1 month, 2 to 8 °C under sterile conditions after reconstitution.
  • 6 months, -20 to -70 °C under sterile conditions after reconstitution.

Background: B7-H6

B7-H6 is a glycosylated member of the B7 family of immune co-stimulatory proteins (1  2). Mature human B7-H6 consists of a 238 amino acid (aa) extracellular domain (ECD) that contains one Ig-like V domain and one Ig-like C1 domain, a 21 aa transmembrane segment, and a 171 aa cytoplasmic domain that contains one ITIM, one SH2, and one SH3 motif (3). Both of the Ig-like domains carry N-linked glycosylation (4). Within the ECD, human B7-H6 shares 99%, 94%, and 87% aa sequence identity with chimpanzee, orangutan, and gibbon B7-H6, respectively, and 53%-56% with bovine, canine, and equine B7-H6. Orthologs in mouse and rat have not been identified. The Ig-like V domain mediates 1:1 stoichiometric binding of B7-H6 to NKp30 expressed on NK cells (4, 5). It does not show binding to NKp44, NKp46, or NKG2D (3, 6). Ligation of NKp30 by B7-H6 induces NK cell activation and target cell cytolysis (3). B7-H6 is expressed on a wide range of hematopoietic, carcinoma, and melanoma tumor cells, which is consistent with the detection of NKp30 binding sites on many tumors (3, 7). The expression of NKp30 ligands on tumor cells correlates with tumor cell sensitivity to NKp30‑dependent cell lysis (7).

References

  1. Zou, W. and L. Chen (2008) Nat. Rev. Immunol. 8:467.
  2. Bour-Jordan, H. et al. (2011) Immunol. Rev. 241:180.
  3. Brandt, C.S. et al. (2009) J. Exp. Med. 206:1495.
  4. Li, Y. et al. (2011) J. Exp. Med. 208:703.
  5. Joyce, M.G. et al. (2011) Proc. Natl. Acad. Sci. 108:6223.
  6. Arnon, T.I. et al. (2006) Semin. Cancer Biol. 16:348.
  7. Byrd, A. et al. (2007) PLoS ONE 2:e1339.

Long Name

B7 Homolog 6

Alternate Names

B7H6, DKFZp686I21167, DKFZp686O24166, NCR3LG1

Entrez Gene IDs

374383 (Human); 102121659 (Cynomolgus Monkey)

Gene Symbol

NCR3LG1

UniProt

Additional B7-H6 Products

Product Documents for Human B7-H6 Antibody

Certificate of Analysis

To download a Certificate of Analysis, please enter a lot number in the search box below.

Note: Certificate of Analysis not available for kit components.

Product Specific Notices for Human B7-H6 Antibody

For research use only

Loading...
Loading...
Loading...