Skip to main content

HSPC111 Antibody (1G4) - Azide and BSA Free

Novus Biologicals, part of Bio-Techne | Catalog # H00051491-M01

Novus Biologicals, part of Bio-Techne
Catalog #
Availability
Size / Price
Qty
Loading...
H00051491-M01

Key Product Details

Species Reactivity

Human

Applications

Immunohistochemistry, Immunohistochemistry-Paraffin, Western Blot, ELISA, Sandwich ELISA, Immunocytochemistry/ Immunofluorescence

Label

Unconjugated

Antibody Source

Monoclonal Mouse IgG1 kappa Clone # 1G4

Format

Azide and BSA Free

Concentration

Concentrations vary lot to lot. See vial label for concentration. If unlisted please contact technical services.

Product Specifications

Immunogen

HSPC111 (AAH40106, 1 a.a. ~ 178 a.a) full-length recombinant protein with GST tag. MW of the GST tag alone is 26 KDa. MPKAKGKTRRQKFGYSVNRKRLNRNARRKAAPRIECSHIRHAWDHAKSVRQNLAEMGLAVDPNRAVPLRKRKVKAMEVDIEERPKELVRKPYVLNDLEAEASLPEKKGNTLSRDLIDYVRYMVENHGEDYKAMARDEKNYYQDTPKQIRSKINVYKRFYPAEWQDFLDSLQKRKMEVE

Reactivity Notes

Human. Other species not tested.

Specificity

HSPC111 - hypothetical protein HSPC111

Clonality

Monoclonal

Host

Mouse

Isotype

IgG1 kappa

Scientific Data Images for HSPC111 Antibody (1G4) - Azide and BSA Free

Western Blot: HSPC111 Antibody (1G4) [H00051491-M01]

Western Blot: HSPC111 Antibody (1G4) [H00051491-M01]

Western Blot: HSPC111 Antibody (1G4) [H00051491-M01] - HSPC111 monoclonal antibody (M01), clone 1G4 Analysis of HSPC111 expression in K-562.
Immunocytochemistry/ Immunofluorescence: HSPC111 Antibody (1G4) [H00051491-M01]

Immunocytochemistry/ Immunofluorescence: HSPC111 Antibody (1G4) [H00051491-M01]

Immunocytochemistry/Immunofluorescence: HSPC111 Antibody (1G4) [H00051491-M01] - Analysis of monoclonal antibody to HSPC111 on HeLa cell. Antibody concentration 10 ug/ml.
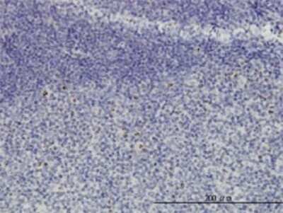
Immunohistochemistry-Paraffin: HSPC111 Antibody (1G4) [H00051491-M01]

Immunohistochemistry-Paraffin: HSPC111 Antibody (1G4) [H00051491-M01]

Immunohistochemistry-Paraffin: HSPC111 Antibody (1G4) [H00051491-M01] - Analysis of monoclonal antibody to HSPC111 on formalin-fixed paraffin-embedded human tonsil. Antibody concentration 3 ug/ml.

Applications for HSPC111 Antibody (1G4) - Azide and BSA Free

Application
Recommended Usage

Western Blot

1:500
Application Notes
Antibody reactive against cell lysate and recombinant protein for Western Blot. Has also been used for immunofluoresence, immunohistochemistry (paraffin), and ELISA.

Formulation, Preparation, and Storage

Purification

IgG purified

Formulation

In 1x PBS, pH 7.4

Format

Azide and BSA Free

Preservative

No Preservative

Concentration

Concentrations vary lot to lot. See vial label for concentration. If unlisted please contact technical services.

Shipping

The product is shipped with polar packs. Upon receipt, store it immediately at the temperature recommended below.

Stability & Storage

Aliquot and store at -20C or -80C. Avoid freeze-thaw cycles.

Background: HSPC111

NOP16 is transcriptionally regulated by c-Myc (MYC; MIM 190080), upregulated in breast cancer, and overexpression is associated with poor patient survival (Butt et al., 2008).(supplied by OMIM)

Alternate Names

HBV pre-S2 trans-regulated protein 3, HSPC111HSPC185, LOC51491, NOP15, NOP16 nucleolar protein homolog (yeast), nucleolar protein 16, nucleolar protein 16 homolog, nucleolar protein 16 homolog (yeast)

Entrez Gene IDs

51491 (Human)

Gene Symbol

NOP16

Additional HSPC111 Products

Product Documents for HSPC111 Antibody (1G4) - Azide and BSA Free

Certificate of Analysis

To download a Certificate of Analysis, please enter a lot number in the search box below.

Product Specific Notices for HSPC111 Antibody (1G4) - Azide and BSA Free

This product is produced by and distributed for Abnova, a company based in Taiwan.

This product is for research use only and is not approved for use in humans or in clinical diagnosis. Primary Antibodies are guaranteed for 1 year from date of receipt.

Loading...
Loading...
Loading...
Loading...