Skip to main content

HSP70/HSPA1A Antibody (OTI3G9) - Azide and BSA Free

Novus Biologicals, part of Bio-Techne | Catalog # NBP2-70954

Novus Biologicals, part of Bio-Techne

Key Product Details

Species Reactivity

Human, Mouse, Rat, Canine, Monkey, Primate

Applications

Immunohistochemistry, Immunohistochemistry-Paraffin, Western Blot, Flow Cytometry, Immunocytochemistry/ Immunofluorescence

Label

Unconjugated

Antibody Source

Monoclonal Mouse IgG1 Clone # OTI3G9

Format

Azide and BSA Free

Concentration

LYOPH mg/ml

Product Specifications

Immunogen

Full length human recombinant protein of human HSPA1A (NP_005336) produced in HEK293T cell.

Reactivity Notes

Please note that this antibody is reactive to Mouse and derived from the same host, Mouse. Mouse-On-Mouse blocking reagent may be needed for IHC and ICC experiments to reduce high background signal. You can find these reagents under catalog numbers PK-2200-NB and MP-2400-NB. Please contact Technical Support if you have any questions.

Clonality

Monoclonal

Host

Mouse

Isotype

IgG1

Theoretical MW

70 kDa.
Disclaimer note: The observed molecular weight of the protein may vary from the listed predicted molecular weight due to post translational modifications, post translation cleavages, relative charges, and other experimental factors.

Description

Novus Biologicals Mouse HSP70/HSPA1A Antibody (OTI3G9) - Azide and BSA Free (NBP2-02190) is a monoclonal antibody validated for use in IHC, WB, Flow and ICC/IF. All Novus Biologicals antibodies are covered by our 100% guarantee.

Scientific Data Images for HSP70/HSPA1A Antibody (OTI3G9) - Azide and BSA Free

Western Blot: HSP70/HSPA1A Antibody (OTI3G9)Azide and BSA Free [NBP2-70954]

Western Blot: HSP70/HSPA1A Antibody (OTI3G9)Azide and BSA Free [NBP2-70954]

Western Blot: HSP70/HSPA1A Antibody (OTI3G9) - Azide and BSA Free [NBP2-70954] - HEK293T cells were transfected with the pCMV6-ENTRY control (Left lane) or pCMV6-ENTRY HSPA1A (Right lane) cDNA for 48 hrs and lysed. Equivalent amounts of cell lysates (5 ug per lane) were separated by SDS-PAGE and immunoblotted with anti-HSPA1A.(1:500)
Immunocytochemistry/ Immunofluorescence: HSP70/HSPA1A Antibody (OTI3G9) - Azide and BSA Free [NBP2-70954]

Immunocytochemistry/ Immunofluorescence: HSP70/HSPA1A Antibody (OTI3G9) - Azide and BSA Free [NBP2-70954]

Immunocytochemistry/Immunofluorescence: HSP70/HSPA1A Antibody (OTI3G9) - Azide and BSA Free [NBP2-70954] - Staining of COS7 cells transiently transfected by pCMV6-ENTRY Hsp70.
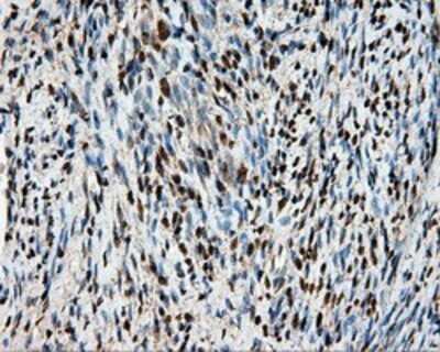
Immunohistochemistry: HSP70/HSPA1A Antibody (OTI3G9) - Azide and BSA Free [NBP2-70954]

Immunohistochemistry: HSP70/HSPA1A Antibody (OTI3G9) - Azide and BSA Free [NBP2-70954]

Immunohistochemistry: HSP70/HSPA1A Antibody (OTI3G9) - Azide and BSA Free [NBP2-70954] - Staining of paraffin-embedded pancreas tissue using anti-Hsp70 mouse monoclonal antibody.

Applications for HSP70/HSPA1A Antibody (OTI3G9) - Azide and BSA Free

Application
Recommended Usage

Immunocytochemistry/ Immunofluorescence

1:100

Immunohistochemistry

1:50

Western Blot

1:2000

Formulation, Preparation, and Storage

Purification

Immunogen affinity purified

Reconstitution

we recommend adding 100uL distilled water to a final antibody concentration of about 1 mg/mL. To use this carrier-free antibody for conjugation experiment, we strongly recommend performing another round of desalting process.

Formulation

Lyophilized from PBS (pH 7.3) with 8% Trehalose

Format

Azide and BSA Free

Preservative

No Preservative

Concentration

LYOPH mg/ml

Shipping

The product is shipped with polar packs. Upon receipt, store it immediately at the temperature recommended below.

Stability & Storage

Store at -20C. Avoid freeze-thaw cycles.

Background: HSP70/HSPA1A

Hsp70 (Heat Shock 70kDa Protein 1A) belongs to a family of conserved ubiquitously expressed heat shock proteins with similar structure in virtually all living organisms. Hsp70 has plays an important role of the cell's machinery for protein folding. Hsp70 is also involved in stabilizing proteins against aggregation and allows them to refold by binding to hydrophobic residues exposed by stress. Additionally, Hsp70 directly inhibits heat-induced apoptosis.

Long Name

Heat Shock Protein 70

Alternate Names

HSP70-1A, HSP72, HSPA1A

Gene Symbol

HSPA1A

Additional HSP70/HSPA1A Products

Product Documents for HSP70/HSPA1A Antibody (OTI3G9) - Azide and BSA Free

Certificate of Analysis

To download a Certificate of Analysis, please enter a lot number in the search box below.

Product Specific Notices for HSP70/HSPA1A Antibody (OTI3G9) - Azide and BSA Free

This product is for research use only and is not approved for use in humans or in clinical diagnosis. Primary Antibodies are guaranteed for 1 year from date of receipt.

Loading...
Loading...
Loading...
Loading...
Loading...
Loading...