Skip to main content

HSP60 Antibody (OTI3A2)

Novus Biologicals, part of Bio-Techne | Catalog # NBP2-46008

Novus Biologicals, part of Bio-Techne

Key Product Details

Species Reactivity

Human, Mouse, Rat, Canine, Monkey

Applications

Immunohistochemistry, Immunohistochemistry-Paraffin, Western Blot

Label

Unconjugated

Antibody Source

Monoclonal Mouse IgG2A Clone # OTI3A2

Concentration

1 mg/ml

Product Specifications

Immunogen

Full length human recombinant protein of human HSPD1 (NP_955472) produced in E.coli.

Reactivity Notes

Please note that this antibody is reactive to Mouse and derived from the same host, Mouse. Mouse-On-Mouse blocking reagent may be needed for IHC and ICC experiments to reduce high background signal. You can find these reagents under catalog numbers PK-2200-NB and MP-2400-NB. Please contact Technical Support if you have any questions.

Clonality

Monoclonal

Host

Mouse

Isotype

IgG2A

Theoretical MW

60.9 kDa.
Disclaimer note: The observed molecular weight of the protein may vary from the listed predicted molecular weight due to post translational modifications, post translation cleavages, relative charges, and other experimental factors.

Description

Novus Biologicals Mouse HSP60 Antibody (OTI3A2) (NBP2-46008) is a monoclonal antibody validated for use in IHC and WB. All Novus Biologicals antibodies are covered by our 100% guarantee.

Scientific Data Images for HSP60 Antibody (OTI3A2)

Western Blot: HSP60 Antibody (OTI3A2) [NBP2-46008]

Western Blot: HSP60 Antibody (OTI3A2) [NBP2-46008]

Western Blot: HSP60 Antibody (3A2) [NBP2-46008] - Analysis of extracts (35ug) from 9 different cell lines by using HSPD1 monoclonal antibody (HepG2: human; HeLa: human; SVT2: mouse; A549: human; COS7: monkey; Jurkat: human; MDCK: canine; PC12: rat; MCF7: human).
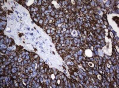
Immunohistochemistry: HSP60 Antibody (OTI3A2) [NBP2-46008]

Immunohistochemistry: HSP60 Antibody (OTI3A2) [NBP2-46008]

Immunohistochemistry: HSP60 Antibody (3A2) [NBP2-46008] - Analysis of Adenocarcinoma of Human breast tissue. (Heat-induced epitope retrieval by 10mM citric buffer, pH6.0, 120C for 3min)
Western Blot: HSP60 Antibody (OTI3A2) [NBP2-46008]

Western Blot: HSP60 Antibody (OTI3A2) [NBP2-46008]

Western Blot: HSP60 Antibody (3A2) [NBP2-46008] - Analysis of HEK293T cells were transfected with the pCMV6-ENTRY control (Left lane) or pCMV6-ENTRY HSP60.

Applications for HSP60 Antibody (OTI3A2)

Application
Recommended Usage

Immunohistochemistry

1:150

Western Blot

1:2000

Formulation, Preparation, and Storage

Purification

Immunogen affinity purified

Formulation

PBS (pH 7.3), 1.0% BSA and 50% Glycerol

Preservative

0.02% Sodium Azide

Concentration

1 mg/ml

Shipping

The product is shipped with polar packs. Upon receipt, store it immediately at the temperature recommended below.

Stability & Storage

Store at -20C. Avoid freeze-thaw cycles.

Background: HSP60

Hsp60 is a member of a highly conserved family which includes molecular chaperones from several species such as plant Hsp60 (known as Rubisco binding protein), GroEL, the E.coli Hsp60 and 65 kDa major antigen of mycobacteria. In eukaryotes, Hsp60 is localized in the mitochondrial matrix and in plants Hsp60 is localized in the chloroplast. Mitochondria, chloroplasts and bacteria have a common ancestry (>1 billion years) and this fact together with the high degree of homology between the divergent Hsp60s would indicate that these proteins carry out a primitive but important function which is similar to all of these different species. The common characteristics of the Hsp60s from the divergent species are i) high abundance, ii) induction with environmental stress such as heat shock, iii) homo oligomeric structures of either 7 or 14 subunits which reversibly dissociate in the presence of magnesium ions and ATP, iv) ATPase activity and v) a role in folding and assembly of oligomeric protein structures. These similarities are supported by recent studies where the single ring human mitochondrial homolog, Hsp60 with its co chaperonin, Hsp10 were expressed in a E. coli strain, engineered so that the groE operon is under strict regulatory control. This study has demonstrated that expression of Hsp60-Hsp10 was able to carry out all essential in vivo functions of GroEL and its co chaperonin, GroES. Consistent with their functions as chaperones, Hsp60 and Hsp10 have been suggested to act as docking molecules with a passive role in the maturation of caspase processing. Data demonstrates that recombinant Hsp60 and Hsp10 have been shown to accelerate the activation of procaspase 3 by cytochrome c and dATP in an ATP dependent manner. Hsps are intracellular proteins which are thought to serve protective functions against infection and cellular stress, however several recent studies indicate that members of the Hsp60 family are linked to a number of autoimmune diseases, arthrosclerosis and chlamydial disease.

Long Name

Heat Shock Protein 60

Alternate Names

cpn60, GROEL, HSPD1, SPG13

Gene Symbol

HSPD1

Additional HSP60 Products

Product Documents for HSP60 Antibody (OTI3A2)

Certificate of Analysis

To download a Certificate of Analysis, please enter a lot number in the search box below.

Product Specific Notices for HSP60 Antibody (OTI3A2)

This product is for research use only and is not approved for use in humans or in clinical diagnosis. Primary Antibodies are guaranteed for 1 year from date of receipt.

Loading...
Loading...
Loading...
Loading...