HSP60 Antibody (LK1) - Azide and BSA Free
Novus Biologicals, part of Bio-Techne | Catalog # NBP2-34670
Conjugate
Catalog #
Forumulation
Catalog #
Key Product Details
Species Reactivity
Human, Mouse, Rat, Porcine, Bovine, Canine, Chicken, Drosophila, Hamster, Monkey, Rabbit, Sheep, Xenopus
Applications
Immunohistochemistry, Immunohistochemistry-Paraffin, Western Blot, Flow Cytometry, Immunocytochemistry/ Immunofluorescence, Simple Western, CyTOF-ready
Label
Unconjugated
Antibody Source
Monoclonal Mouse IgG1 kappa Clone # LK1
Format
Azide and BSA Free
Concentration
1.0 mg/ml
Product Specifications
Immunogen
Recombinant human HSP60 protein (Uniprot: P10809)
Epitope
aa 383-447
Reactivity Notes
Does not react with bacteria, helminths or spinach.
Localization
Mitochondria in cytoplasm
Specificity
Recognizes a 60kDa protein, identified as the heat shock protein 60 (HSP60). Its epitope is localized between aa 383-447 of human HSP60. A wide variety of environmental and pathophysiological stressful conditions trigger the synthesis of a family of proteins known as heat shock proteins (hsp s), more appropriately called as stress response proteins (srp s). Hsp60 is a potential antigen in a number of autoimmune diseases. In human arthritis and in experimentally induced arthritis in animals, disease development coincides with the development of immune reactivity directed against not only bacterial HSP60, but also against its mammalian homolog.
Marker
Mitochondrial Marker
Clonality
Monoclonal
Host
Mouse
Isotype
IgG1 kappa
Theoretical MW
60 kDa.
Disclaimer note: The observed molecular weight of the protein may vary from the listed predicted molecular weight due to post translational modifications, post translation cleavages, relative charges, and other experimental factors.
Disclaimer note: The observed molecular weight of the protein may vary from the listed predicted molecular weight due to post translational modifications, post translation cleavages, relative charges, and other experimental factors.
Description
1.0 mg/ml of antibody purified from Bioreactor Concentrate by Protein A/G. Prepared in 10mM PBS WITHOUT BSA. Also available at 200 ug/ml WITH BSA & azide (NBP2-32973).
Antibody with azide - store at 2 to 8C.
Antibody with azide - store at 2 to 8C.
Scientific Data Images for HSP60 Antibody (LK1) - Azide and BSA Free
Western Blot: HSP60 Antibody (LK1)Azide and BSA Free [NBP2-34670]
Western Blot: HSP60 Antibody (LK1) - Azide and BSA Free [NBP2-34670] - Western Blot Analysis of HeLa cell lysate using HSP60 Antibody (LK1)Immunocytochemistry/ Immunofluorescence: HSP60 Antibody (LK1) - Azide and BSA Free [NBP2-34670]
Immunocytochemistry/Immunofluorescence: HSP60 Antibody (LK1) - Azide and BSA Free [NBP2-34670] - Immunofluorescent staining of PFA-fixed MCF-7 cells. followed by goat anti-Mouse IgG-CF488 (green). Nuclei are labeled with Red Dot (red).Immunohistochemistry-Paraffin: HSP60 Antibody (LK1) - Azide and BSA Free [NBP2-34670]
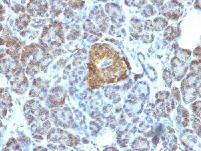
Immunohistochemistry-Paraffin: HSP60 Antibody (LK1) - Azide and BSA Free [NBP2-34670] - Formalin-fixed paraffin-embedded human pancreas stained with HSP60 Monoclonal Antibody (LK1).Applications for HSP60 Antibody (LK1) - Azide and BSA Free
Application
Recommended Usage
Flow Cytometry
0.5-1ug/million cells
Immunocytochemistry/ Immunofluorescence
0.5-1ug/ml
Immunohistochemistry-Paraffin
0.5-1ug/ml
Western Blot
0.25-0.5ug/ml
Application Notes
Immunohistochemistry (Formalin-fixed): 1-2ug/ml for 30 minutes at RT. Staining of formalin-fixed tissues requires heating tissue sections in 10mM Tris with 1mM EDTA, pH 9.0, for 45 min at 95C followed by cooling at RT for 20 minutes.
Optimal dilution for a specific application should be determined.
See Simple Western Antibody Database for Simple Western validation
Optimal dilution for a specific application should be determined.
See Simple Western Antibody Database for Simple Western validation
Formulation, Preparation, and Storage
Purification
Protein A or G purified
Formulation
10 mM PBS
Format
Azide and BSA Free
Preservative
No Preservative
Concentration
1.0 mg/ml
Shipping
The product is shipped with polar packs. Upon receipt, store it immediately at the temperature recommended below.
Stability & Storage
Store at -20 to -80C. Avoid freeze-thaw cycles.
Background: HSP60
Long Name
Heat Shock Protein 60
Alternate Names
cpn60, GROEL, HSPD1, SPG13
Gene Symbol
HSPD1
Additional HSP60 Products
Product Documents for HSP60 Antibody (LK1) - Azide and BSA Free
Product Specific Notices for HSP60 Antibody (LK1) - Azide and BSA Free
This product is for research use only and is not approved for use in humans or in clinical diagnosis. Primary Antibodies are guaranteed for 1 year from date of receipt.
Loading...
Loading...
Loading...
Loading...
Loading...