Skip to main content

HPDL Antibody - BSA Free

Novus Biologicals, part of Bio-Techne | Catalog # NBP3-46087

Novus Biologicals, part of Bio-Techne
Catalog #
Availability
Size / Price
Qty
Loading...
NBP3-46087

Key Product Details

Species Reactivity

Human

Applications

ELISA, Immunocytochemistry/ Immunofluorescence, Immunohistochemistry, Western Blot

Label

Unconjugated

Antibody Source

Polyclonal Rabbit IgG

Format

BSA Free

Concentration

Please see the vial label for concentration. If unlisted please contact technical services.

Product Specifications

Immunogen

4-hydroxyphenylpyruvate dioxygenase-like. (Uniprot# Q96IR7)

Clonality

Polyclonal

Host

Rabbit

Isotype

IgG

Description

Novus Biologicals Rabbit HPDL Antibody - BSA Free (NBP3-46087) is a polyclonal antibody validated for use in IHC, WB, ELISA and ICC/IF. All Novus Biologicals antibodies are covered by our 100% guarantee.

Scientific Data Images for HPDL Antibody - BSA Free

HPDL Antibody - BSA Free

Western Blot: HPDL Antibody - BSA Free [NBP3-46087] -

Western Blot: HPDL Antibody - BSA Free [NBP3-46087] - L02 cells were subjected to SDS PAGE followed by western blot with (HPDL antibody) at dilution of 1:500
HPDL Antibody - BSA Free

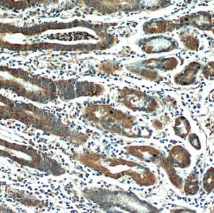
Immunohistochemistry: HPDL Antibody - BSA Free [NBP3-46087] -

Immunohistochemistry: HPDL Antibody - BSA Free [NBP3-46087] - Immunohistochemistry of paraffin-embedded human stomach using (HPDL antibody) at dilution of 1:50

Applications for HPDL Antibody - BSA Free

Application
Recommended Usage

Immunocytochemistry/ Immunofluorescence

1:20-1:200

Immunohistochemistry

1:20-1:200

Western Blot

1:500-1:2000
Application Notes
Theoretical Molecular Weight is 35-39 kDa

Formulation, Preparation, and Storage

Purification

Immunogen affinity purified

Formulation

PBS, 50% Glycerol, pH (7.3)

Format

BSA Free

Preservative

0.02% Sodium Azide

Concentration

Please see the vial label for concentration. If unlisted please contact technical services.

Shipping

The product is shipped with polar packs. Upon receipt, store it immediately at the temperature recommended below.

Stability & Storage

Store at -20C. Avoid freeze-thaw cycles.

Background: HPDL

Alternate Names

4-hydroxyphenylpyruvate dioxygenase-like, 4-hydroxyphenylpyruvate dioxygenase-like protein, EC 1.13, GLOXD1,4-HPPD-L, glyoxalase domain containing 1, Glyoxalase domain-containing protein 1, MGC15668, RP4-534D1.1

Gene Symbol

HPDL

Additional HPDL Products

Product Documents for HPDL Antibody - BSA Free

Certificate of Analysis

To download a Certificate of Analysis, please enter a lot number in the search box below.

Product Specific Notices for HPDL Antibody - BSA Free

This product is for research use only and is not approved for use in humans or in clinical diagnosis. Primary Antibodies are guaranteed for 1 year from date of receipt.

Loading...
Loading...
Loading...
Loading...