Skip to main content

HOXC10 Antibody - BSA Free

Novus Biologicals, part of Bio-Techne | Catalog # NBP2-16874

Novus Biologicals, part of Bio-Techne
Catalog #
Availability
Size / Price
Qty
Loading...
NBP2-16874

Key Product Details

Species Reactivity

Human, Mouse, Rat

Applications

Immunohistochemistry, Immunohistochemistry-Paraffin, Western Blot, Immunocytochemistry/ Immunofluorescence

Label

Unconjugated

Antibody Source

Polyclonal Rabbit IgG

Format

BSA Free

Concentration

Concentrations vary lot to lot. See vial label for concentration. If unlisted please contact technical services.

Product Specifications

Immunogen

Recombinant protein encompassing a sequence within the center region of human HOXC10. The exact sequence is proprietary.

Localization

Nucleus

Clonality

Polyclonal

Host

Rabbit

Isotype

IgG

Theoretical MW

38 kDa.
Disclaimer note: The observed molecular weight of the protein may vary from the listed predicted molecular weight due to post translational modifications, post translation cleavages, relative charges, and other experimental factors.

Description

Novus Biologicals Rabbit HOXC10 Antibody - BSA Free (NBP2-16874) is a polyclonal antibody validated for use in IHC, WB and ICC/IF. All Novus Biologicals antibodies are covered by our 100% guarantee.

Scientific Data Images for HOXC10 Antibody - BSA Free

Immunocytochemistry/ Immunofluorescence: HOXC10 Antibody [NBP2-16874]

Immunocytochemistry/ Immunofluorescence: HOXC10 Antibody [NBP2-16874]

Immunocytochemistry/Immunofluorescence: HOXC10 Antibody [NBP2-16874] - HOXC10 antibody detects HOXC10 protein at nucleus by immunofluorescent analysis. Sample: HeLa cells were fixed in 4% paraformaldehyde at RT for 15 min.Green: HOXC10 stained by HOXC10 antibody diluted at 1:500. Red: phalloidin, a cytoskeleton marker, diluted at 1:100. Scale bar= 10 um.
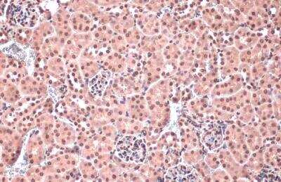
Immunohistochemistry-Paraffin: HOXC10 Antibody [NBP2-16874]

Immunohistochemistry-Paraffin: HOXC10 Antibody [NBP2-16874]

Immunohistochemistry-Paraffin: HOXC10 Antibody [NBP2-16874] - HOXC10 antibody detects HOXC10 protein at nucleus by immunohistochemical analysis. Sample: Paraffin-embedded mouse kidney. HOXC10 stained by HOXC10 antibody diluted at 1:500.
Western Blot: HOXC10 Antibody [NBP2-16874]

Western Blot: HOXC10 Antibody [NBP2-16874]

Western Blot: HOXC10 Antibody [NBP2-16874] - 50 ug mouse muscle lysate/extract 10 % SDS-PAGE HOXC10 antibody dilution: 1:1000.

Applications for HOXC10 Antibody - BSA Free

Application
Recommended Usage

Immunocytochemistry/ Immunofluorescence

1:100-1:1000

Immunohistochemistry

1:100-1:1000

Immunohistochemistry-Paraffin

1:100-1:1000

Western Blot

1:500-1:3000

Formulation, Preparation, and Storage

Purification

Antigen Affinity-purified

Formulation

PBS, 20% Glycerol

Format

BSA Free

Preservative

0.025% Proclin 300

Concentration

Concentrations vary lot to lot. See vial label for concentration. If unlisted please contact technical services.

Shipping

The product is shipped with polar packs. Upon receipt, store it immediately at the temperature recommended below.

Stability & Storage

Aliquot and store at -20C or -80C. Avoid freeze-thaw cycles.

Background: HOXC10

This gene belongs to the homeobox family of genes. The homeobox genes encode a highly conserved family of transcription factors that play an important role in morphogenesis in all multicellular organisms. Mammals possess four similar homeobox gene clusters, HOXA, HOXB, HOXC and HOXD, which are located on different chromosomes and consist of 9 to 11 genes arranged in tandem. This gene is one of several homeobox HOXC genes located in a cluster on chromosome 12. The protein level is controlled during cell differentiation and proliferation, which may indicate this protein has a role in origin activation. [provided by RefSeq]

Alternate Names

homeo box C10, homeobox C10, Homeobox protein Hox-3I, homeobox protein Hox-C10, homeoprotein C10, HOX3I, MGC5259

Gene Symbol

HOXC10

UniProt

Additional HOXC10 Products

Product Documents for HOXC10 Antibody - BSA Free

Certificate of Analysis

To download a Certificate of Analysis, please enter a lot number in the search box below.

Product Specific Notices for HOXC10 Antibody - BSA Free

This product is for research use only and is not approved for use in humans or in clinical diagnosis. Primary Antibodies are guaranteed for 1 year from date of receipt.

Loading...
Loading...
Loading...
Loading...