Skip to main content

hnRNP C1 + C2 Antibody (CL2596) - Azide and BSA Free

Novus Biologicals, part of Bio-Techne | Catalog # NBP3-44454

Novus Biologicals, part of Bio-Techne

Key Product Details

Validated by

Knockout/Knockdown

Species Reactivity

Human

Applications

Immunohistochemistry-Paraffin, Western Blot, Immunocytochemistry/ Immunofluorescence

Label

Unconjugated

Antibody Source

Monoclonal Mouse IgG1 Clone # CL2596

Format

Azide and BSA Free

Concentration

LYOPH mg/ml

Product Specifications

Immunogen

This antibody was generated using a recombinant protein sequence of P07910, with the exact immunogen sequence remaining proprietary.

Clonality

Monoclonal

Host

Mouse

Isotype

IgG1

Description

Novus Biologicals Mouse hnRNP C1 + C2 Antibody (CL2596) - Azide and BSA Free (NBP2-36777) is a monoclonal antibody validated for use in IHC, WB and ICC/IF. All Novus Biologicals antibodies are covered by our 100% guarantee.

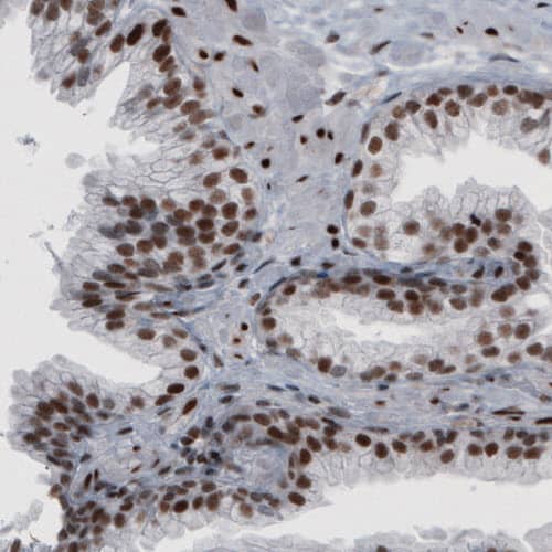
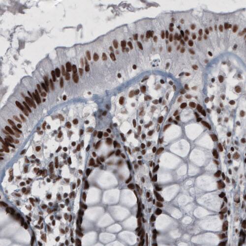
Scientific Data Images for hnRNP C1 + C2 Antibody (CL2596) - Azide and BSA Free

hnRNP C1 + C2 Antibody (CL2596) - Azide and BSA Free Immunocytochemistry/ Immunofluorescence: hnRNP C1 + C2 Antibody [NBP3-44454]

Immunocytochemistry/ Immunofluorescence: hnRNP C1 + C2 Antibody [NBP3-44454]

Staining in A431 cell line with Anti-hnRNP C1 + C2 monoclonal antibody) staining in green. Microtubule- and nuclear probes are visualized in red and blue respectively (where available).
hnRNP C1 + C2 Antibody (CL2596) - Azide and BSA Free Immunocytochemistry/ Immunofluorescence: hnRNP C1 + C2 Antibody [NBP3-44454]

Immunocytochemistry/ Immunofluorescence: hnRNP C1 + C2 Antibody [NBP3-44454]

Staining in HeLa cell line with Anti-hnRNP C1 + C2 monoclonal antibody) staining in green. Microtubule- and nuclear probes are visualized in red and blue respectively (where available).
hnRNP C1 + C2 Antibody (CL2596) - Azide and BSA Free Immunocytochemistry/ Immunofluorescence: hnRNP C1 + C2 Antibody [NBP3-44454]

Immunocytochemistry/ Immunofluorescence: hnRNP C1 + C2 Antibody [NBP3-44454]

Staining in MCF7 cell line with Anti-hnRNP C1 + C2 monoclonal antibody) staining in green. Microtubule- and nuclear probes are visualized in red and blue respectively (where available).

Applications for hnRNP C1 + C2 Antibody (CL2596) - Azide and BSA Free

Application
Recommended Usage

Immunocytochemistry/ Immunofluorescence

2-10 ug/ml

Immunohistochemistry-Paraffin

1:500 - 1:1000

Western Blot

1 ug/ml
Application Notes
For IHC-Paraffin, HIER pH 6 retrieval is recommended. For Immunocytochemistry/ Immunofluorescence/IF, Fixation/Permeabilization with PFA/Triton X-100 is recommended.

Formulation, Preparation, and Storage

Purification

Protein A purified

Reconstitution

Centrifuge the vial of lyophilized antibody at 12,000 x g for 20 seconds. Reconstitute by adding sterile, distilled water to achieve a final antibody concentration of 1mg/ml.

Formulation

Lyophilized from a 0.2 um filtered solution in PBS with Trehalose

Format

Azide and BSA Free

Preservative

No Preservative

Concentration

LYOPH mg/ml

Shipping

The product is shipped at ambient temperature. Upon receipt, store it immediately at the temperature recommended below.

Stability & Storage

Store at 4C short term. Aliquot and store at -20C long term. Avoid freeze-thaw cycles.

Background: hnRNP C1 + C2

RNA polymerase II transcripts in the nucleus are in complex with several proteins called heterogeneous nuclear ribonucleoproteins (hnRNPs). These proteins are important in biological activities such as transcription, pre-mRNA processing, cytoplasmic mRNA translation, and turnover. hnRNPs can be isolated either by immunoprecipitation or by sucrose gradient fractionation of cell extracts. When this is performed, the hnRNPs are isolated (consisting of protein groups named A to U), and many of these protein groups consist of more than one isoform. The major steadystate proteins of the isolated hnRNP complex are the A1, A2, B1, B2, C1, and C2 with a range of molecular weight starting with 34 kDa up to 43 kDa. The hnRNP-C proteins have a single RNP motif RNA-binding domain (RBD) of 80 to 100 amino acid long. The hnRNP -C proteins preferentially bind to uridine-rich RNA sequences. Oligomerization of the protein through leucine rich regions in its C-terminal end is important for RNA binding.4 Although its physiological action is unknown, mutation of the hnRNPC gene causes a embryonic lethal phenotype.

Alternate Names

C1, C2, heterogeneous nuclear ribonucleoprotein C (C1/C2), heterogeneous nuclear ribonucleoproteins C1/C2, HNRNP, hnRNP C1/C2, hnRNPC, HNRPC, MGC104306, MGC105117, MGC117353, MGC131677, nuclear ribonucleoprotein particle C1 protein, nuclear ribonucleoprotein particle C2 protein, SNRPC

Gene Symbol

HNRNPC

Additional hnRNP C1 + C2 Products

Product Documents for hnRNP C1 + C2 Antibody (CL2596) - Azide and BSA Free

Certificate of Analysis

To download a Certificate of Analysis, please enter a lot number in the search box below.

Product Specific Notices for hnRNP C1 + C2 Antibody (CL2596) - Azide and BSA Free

This product is for research use only and is not approved for use in humans or in clinical diagnosis. Primary Antibodies are guaranteed for 1 year from date of receipt.

Loading...
Loading...
Loading...
Loading...
Loading...