Skip to main content

HNF-3 alpha/FoxA1 Antibody (A2E8-R)

Novus Biologicals, part of Bio-Techne | Catalog # NBP3-32346

Recombinant Monoclonal Antibody
Novus Biologicals, part of Bio-Techne
Catalog #
Availability
Size / Price
Qty
Loading...
NBP3-32346

Key Product Details

Species Reactivity

Human

Applications

Immunohistochemistry, Immunohistochemistry-Paraffin, Western Blot, Immunocytochemistry/ Immunofluorescence

Label

Unconjugated

Antibody Source

Recombinant Monoclonal Mouse IgG1 Clone # A2E8-R expressed in HEK293

Concentration

1 mg/ml

Product Specifications

Immunogen

Synthetic peptide within N-terminal human HNF-3 alpha/FoxA1. (Uniprot: P55317)

Localization

Nucleus.

Clonality

Monoclonal

Host

Mouse

Isotype

IgG1

Theoretical MW

49 kDa.
Disclaimer note: The observed molecular weight of the protein may vary from the listed predicted molecular weight due to post translational modifications, post translation cleavages, relative charges, and other experimental factors.

Description

Novus Biologicals Mouse HNF-3 alpha/FoxA1 Antibody (A2E8-R) (NBP3-32346) is a recombinant monoclonal antibody validated for use in IHC, WB and ICC/IF. All Novus Biologicals antibodies are covered by our 100% guarantee.

Scientific Data Images for HNF-3 alpha/FoxA1 Antibody (A2E8-R)

HNF-3 alpha/FoxA1 Antibody (A2E8-R)

Western Blot: HNF-3 alpha/FoxA1 Antibody (A2E8-R) [NBP3-32346]

Western Blot: HNF-3 alpha/FoxA1 Antibody (A2E8-R) [NBP3-32346] - Western blot analysis of HNF-3 alpha/FoxA1 on LNCaP cell lysates with Mouse anti-HNF-3 alpha/FoxA1 antibody (NBP3-32346) at 1/2,000 dilution.

Lysates/proteins at 20 ug/Lane.

Predicted band size: 49 kDa
Observed band size: 49 kDa

Exposure time: 3 minutes;

4-20% SDS-PAGE gel.

Proteins were transferred to a PVDF membrane and blocked with 5% NFDM/TBST for 1 hour at room temperature. The primary antibody (NBP3-32346) at 1/2,000 dilution was used in 5% NFDM/TBST at 4C overnight. Goat Anti-Mouse IgG - HRP Secondary Antibody at 1/50,000 dilution was used for 1 hour at room temperature.
HNF-3 alpha/FoxA1 Antibody (A2E8-R)

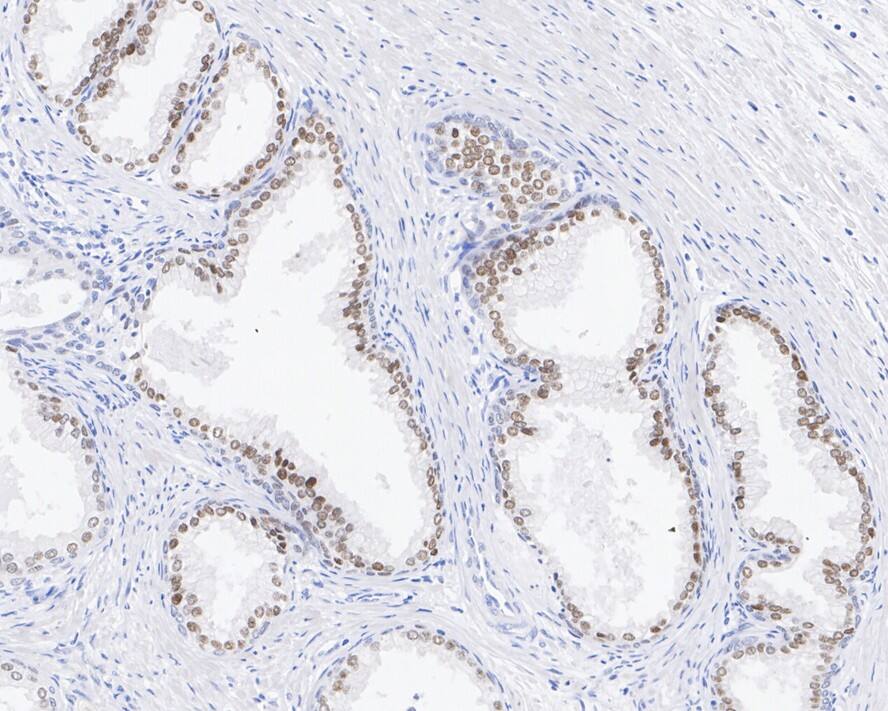
Immunohistochemistry: HNF-3 alpha/FoxA1 Antibody (A2E8-R) [NBP3-32346]

Immunohistochemistry: HNF-3 alpha/FoxA1 Antibody (A2E8-R) [NBP3-32346] - Immunohistochemical analysis of paraffin-embedded human prostate tissue with Mouse anti-HNF-3 alpha/FoxA1 antibody (NBP3-32346) at 1/500 dilution.

The section was pre-treated using heat mediated antigen retrieval with sodium citrate buffer (pH 6.0) for 2 minutes. The tissues were blocked in 1% BSA for 20 minutes at room temperature, washed with ddH2O and PBS, and then probed with the primary antibody (NBP3-32346) at 1/500 dilution for 1 hour at room temperature. The detection was performed using an HRP conjugated compact polymer system. DAB was used as the chromogen. Tissues were counterstained with hematoxylin and mounted with DPX.
HNF-3 alpha/FoxA1 Antibody (A2E8-R)

Immunocytochemistry/ Immunofluorescence: HNF-3 alpha/FoxA1 Antibody (A2E8-R) [NBP3-32346]

Immunocytochemistry/ Immunofluorescence: HNF-3 alpha/FoxA1 Antibody (A2E8-R) [NBP3-32346] - Immunocytochemistry analysis of LNCaP cells labeling HNF-3 alpha/FoxA1 with Mouse anti-HNF-3 alpha/FoxA1 antibody (NBP3-32346) at 1/100 dilution.

Cells were fixed in 4% paraformaldehyde for 20 minutes at room temperature, permeabilized with 0.1% Triton X-100 in PBS for 5 minutes at room temperature, then blocked with 1% BSA in 10% negative goat serum for 1 hour at room temperature. Cells were then incubated with Mouse anti-HNF-3 alpha/FoxA1 antibody (NBP3-32346) at 1/100 dilution in 1% BSA in PBST overnight at 4 ℃. Goat Anti-Mouse IgG H&L (iFluor™ 488) was used as the secondary antibody at 1/1,000 dilution. PBS instead of the primary antibody was used as the secondary antibody only control. Nuclear DNA was labelled in blue with DAPI.

beta Tubulin (red) was stained at 1/100 dilution overnight at +4℃. Goat Anti-Rabbit IgG H&L (iFluor™ 594) were used as the secondary antibody at 1/1,000 dilution.

Applications for HNF-3 alpha/FoxA1 Antibody (A2E8-R)

Application
Recommended Usage

Immunocytochemistry/ Immunofluorescence

1:100

Immunohistochemistry-Paraffin

1:500

Western Blot

1:2000

Formulation, Preparation, and Storage

Purification

Protein A purified

Formulation

PBS (pH7.4), 0.1% BSA and 40% Glycerol

Preservative

0.05% Sodium Azide

Concentration

1 mg/ml

Shipping

The product is shipped with polar packs. Upon receipt, store it immediately at the temperature recommended below.

Stability & Storage

Store at 4C short term. Aliquot and store at -20C long term. Avoid freeze-thaw cycles.

Background: HNF-3 alpha/FoxA1

FOXA1 encodes a member of the forkhead class of DNA-binding proteins. These hepatocyte nuclear factors are transcriptional activators for liver-specific transcripts such as albumin and transthyretin, and they also interact with chromatin. Similar family members in mice have roles in the regulation of metabolism and in the differentiation of the pancreas and liver.

Long Name

Hepatocyte Nuclear Factor-3 alpha/Forkhead Box Protein A1

Alternate Names

FoxA1, HNF3 alpha, TCF3A

Gene Symbol

FOXA1

Additional HNF-3 alpha/FoxA1 Products

Product Documents for HNF-3 alpha/FoxA1 Antibody (A2E8-R)

Certificate of Analysis

To download a Certificate of Analysis, please enter a lot number in the search box below.

Product Specific Notices for HNF-3 alpha/FoxA1 Antibody (A2E8-R)

This product is for research use only and is not approved for use in humans or in clinical diagnosis. Primary Antibodies are guaranteed for 1 year from date of receipt.

Loading...
Loading...
Loading...
Loading...