Skip to main content

HN1L Antibody - BSA Free

Novus Biologicals, part of Bio-Techne | Catalog # NBP1-88446

Novus Biologicals, part of Bio-Techne
Catalog #
Availability
Size / Price
Qty
Loading...
NBP1-88446
NBP1-88446-25ul

Key Product Details

Species Reactivity

Validated:

Human

Predicted:

Mouse (90%). Backed by our 100% Guarantee.

Applications

Immunohistochemistry, Immunohistochemistry-Paraffin, Western Blot, Immunocytochemistry/ Immunofluorescence

Label

Unconjugated

Antibody Source

Polyclonal Rabbit IgG

Format

BSA Free

Concentration

Concentrations vary lot to lot. See vial label for concentration. If unlisted please contact technical services.

Product Specifications

Immunogen

This antibody was developed against Recombinant Protein corresponding to amino acids: GSRAMKPPGGESSNLFGSPEEATPSSRPNRMASNIFGPTEEPQNIPKRTNPPGGKGSGIFDESTPVQTRQHLNPPGGKTSDI

Reactivity Notes

Rat (87%).

Clonality

Polyclonal

Host

Rabbit

Isotype

IgG

Scientific Data Images for HN1L Antibody - BSA Free

HN1L Antibody - BSA Free Immunocytochemistry/ Immunofluorescence: HN1L Antibody - BSA Free [NBP1-88446]

Immunocytochemistry/ Immunofluorescence: HN1L Antibody - BSA Free [NBP1-88446]

Staining of human cell line A-431 shows localization to plasma membrane & cytosol.
Immunohistochemistry-Paraffin: HN1L Antibody [NBP1-88446]

Immunohistochemistry-Paraffin: HN1L Antibody [NBP1-88446]

Immunohistochemistry-Paraffin: HN1L Antibody [NBP1-88446] - Staining of human skeletal muscle shows no positivity in myocytes as expected.
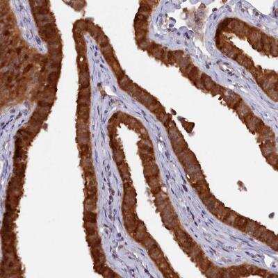
Immunohistochemistry-Paraffin: HN1L Antibody [NBP1-88446]

Immunohistochemistry-Paraffin: HN1L Antibody [NBP1-88446]

Immunohistochemistry-Paraffin: HN1L Antibody [NBP1-88446] - Staining of human Fallopian tube shows strong cytoplasmic positivity in glandular cells.

Applications for HN1L Antibody - BSA Free

Application
Recommended Usage

Immunocytochemistry/ Immunofluorescence

0.25-2 ug/ml

Immunohistochemistry

1:200 - 1:500

Immunohistochemistry-Paraffin

1:200 - 1:500

Western Blot

0.04-0.4 ug/ml
Application Notes
For IHC-Paraffin, HIER pH 6 retrieval is recommended. ICC/IF Fixation Permeabilization: Use PFA/Triton X-100.

Formulation, Preparation, and Storage

Purification

Affinity purified

Formulation

PBS (pH 7.2) and 40% Glycerol

Format

BSA Free

Preservative

0.02% Sodium Azide

Concentration

Concentrations vary lot to lot. See vial label for concentration. If unlisted please contact technical services.

Shipping

The product is shipped with polar packs. Upon receipt, store it immediately at the temperature recommended below.

Stability & Storage

Store at 4C short term. Aliquot and store at -20C long term. Avoid freeze-thaw cycles.

Background: HN1L

Alternate Names

C16orf34, chromosome 16 open reading frame 34, CRAMP_1 like, FLJ13092, hematological and neurological expressed 1-like, hematological and neurological expressed 1-like protein, HN1 like, HN1-like protein, KIAA1426, L11

Gene Symbol

JPT2

Additional HN1L Products

Product Documents for HN1L Antibody - BSA Free

Certificate of Analysis

To download a Certificate of Analysis, please enter a lot number in the search box below.

Product Specific Notices for HN1L Antibody - BSA Free

This product is for research use only and is not approved for use in humans or in clinical diagnosis. Primary Antibodies are guaranteed for 1 year from date of receipt.

Loading...
Loading...
Loading...
Loading...