Skip to main content

HN1 Antibody (JE55-74)

Novus Biologicals, part of Bio-Techne | Catalog # NBP3-32438

Recombinant Monoclonal Antibody
Novus Biologicals, part of Bio-Techne
Catalog #
Availability
Size / Price
Qty
Loading...
NBP3-32438

Key Product Details

Species Reactivity

Human, Rat

Applications

Immunohistochemistry, Western Blot, Immunocytochemistry/ Immunofluorescence

Label

Unconjugated

Antibody Source

Recombinant Monoclonal Rabbit IgG Clone # JE55-74 expressed in HEK293

Concentration

1 mg/ml

Product Specifications

Immunogen

Synthetic peptide within Human HN1 aa 100-200. (Uniprot: Q9UK76)

Localization

Nucleus, Cytoplasm.

Clonality

Monoclonal

Host

Rabbit

Isotype

IgG

Theoretical MW

16 kDa.
Disclaimer note: The observed molecular weight of the protein may vary from the listed predicted molecular weight due to post translational modifications, post translation cleavages, relative charges, and other experimental factors.

Description

Novus Biologicals Rabbit HN1 Antibody (JE55-74) (NBP3-32438) is a recombinant monoclonal antibody validated for use in IHC, WB and ICC/IF. All Novus Biologicals antibodies are covered by our 100% guarantee.

Scientific Data Images for HN1 Antibody (JE55-74)

HN1 Antibody (JE55-74)

Western Blot: HN1 Antibody (JE55-74) [NBP3-32438]

Western Blot: HN1 Antibody (JE55-74) [NBP3-32438] - Western blot analysis of HN1 on different lysates with Rabbit anti-HN1 antibody (NBP3-32438) at 1/1,000 dilution.

Lane 1: Hela cell lysate
Lane 2: HEK-293 cell lysate
Lane 3: A549 cell lysate
Lane 4: K-562 cell lysate
Lane 5: HepG2 cell lysate

Lysates/proteins at 15 ug/Lane.

Predicted band size: 16 kDa
Observed band size: 20 kDa

Exposure time: 1 minute 30 seconds;

4-20% SDS-PAGE gel.

Proteins were transferred to a PVDF membrane and blocked with 5% NFDM/TBST for 1 hour at room temperature. The primary antibody (NBP3-32438) at 1/1,000 dilution was used in 5% NFDM/TBST at room temperature for 2 hours. Goat Anti-Rabbit IgG - HRP Secondary Antibody at 1:100,000 dilution was used for 1 hour at room temperature.
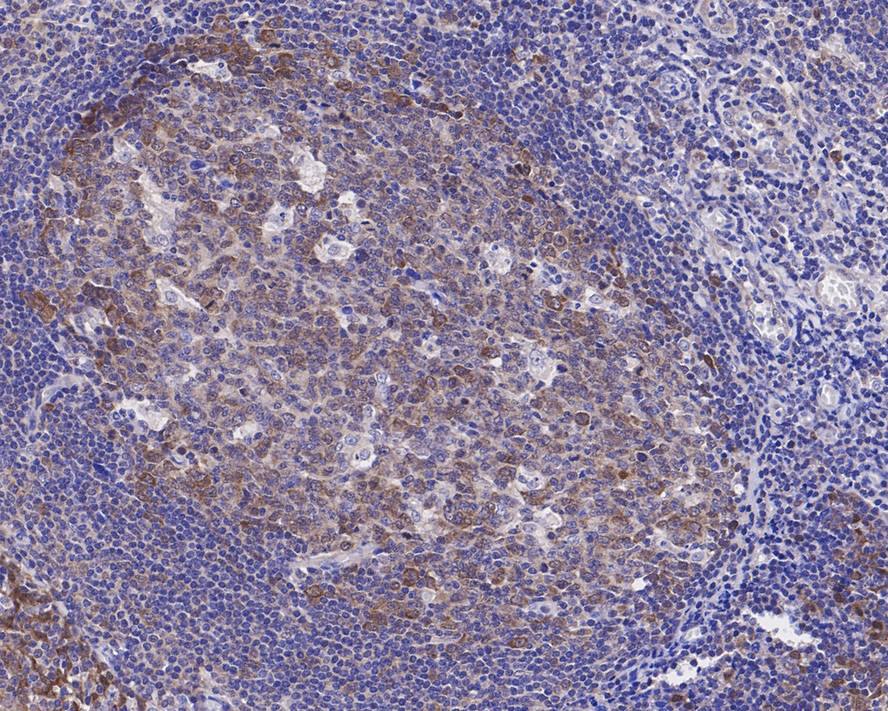
HN1 Antibody (JE55-74)

Immunohistochemistry: HN1 Antibody (JE55-74) [NBP3-32438]

Immunohistochemistry: HN1 Antibody (JE55-74) [NBP3-32438] - Immunohistochemical analysis of paraffin-embedded human tonsil tissue with Rabbit anti-HN1 antibody (NBP3-32438) at 1/200 dilution.

The section was pre-treated using heat mediated antigen retrieval with sodium citrate buffer (pH 6.0) for 2 minutes. The tissues were blocked in 1% BSA for 20 minutes at room temperature, washed with ddH2O and PBS, and then probed with the primary antibody (NBP3-32438) at 1/200 dilution for 1 hour at room temperature. The detection was performed using an HRP conjugated compact polymer system. DAB was used as the chromogen. Tissues were counterstained with hematoxylin and mounted with DPX.
HN1 Antibody (JE55-74)

Immunocytochemistry/ Immunofluorescence: HN1 Antibody (JE55-74) [NBP3-32438]

Immunocytochemistry/ Immunofluorescence: HN1 Antibody (JE55-74) [NBP3-32438] - Immunocytochemistry analysis of A549 cells labeling HN1 with Rabbit anti-HN1 antibody (NBP3-32438) at 1/100 dilution.

Cells were fixed in 4% paraformaldehyde for 10 minutes at 37 ℃, permeabilized with 0.05% Triton X-100 in PBS for 20 minutes, and then blocked with 2% negative goat serum for 30 minutes at room temperature. Cells were then incubated with Rabbit anti-HN1 antibody (NBP3-32438) at 1/100 dilution in 2% negative goat serum overnight at 4 ℃. Goat Anti-Rabbit IgG H&L (iFluor™ 488) was used as the secondary antibody at 1/1,000 dilution. Nuclear DNA was labelled in blue with DAPI.

Beta tubulin (red) was stained at 1/200 dilution overnight at +4℃. Goat Anti-Mouse IgG H&L (iFluor™ 594) was used as the secondary antibody at 1/1,000 dilution."

Applications for HN1 Antibody (JE55-74)

Application
Recommended Usage

Immunocytochemistry/ Immunofluorescence

1:100

Immunohistochemistry

1:200

Western Blot

1:1000

Formulation, Preparation, and Storage

Purification

Protein A purified

Formulation

1*TBS (pH7.4), 0.05% BSA and 40% Glycerol

Preservative

0.05% Sodium Azide

Concentration

1 mg/ml

Shipping

The product is shipped with polar packs. Upon receipt, store it immediately at the temperature recommended below.

Stability & Storage

Store at 4C short term. Aliquot and store at -20C long term. Avoid freeze-thaw cycles.

Background: HN1

Alternate Names

Androgen-regulated protein 2, ARM2hematological and neurological expressed 1 protein, hematological and neurological expressed 1, HN1A, OPMRX60

Gene Symbol

JPT1

Additional HN1 Products

Product Documents for HN1 Antibody (JE55-74)

Certificate of Analysis

To download a Certificate of Analysis, please enter a lot number in the search box below.

Product Specific Notices for HN1 Antibody (JE55-74)

This product is for research use only and is not approved for use in humans or in clinical diagnosis. Primary Antibodies are guaranteed for 1 year from date of receipt.

Loading...
Loading...
Loading...
Loading...