Skip to main content

HMGB1/HMG-1 Antibody

Novus Biologicals, part of Bio-Techne | Catalog # NBP2-27117

Novus Biologicals, part of Bio-Techne
Catalog #
Availability
Size / Price
Qty
Loading...
NBP2-27117
NBP2-27117SS

Key Product Details

Species Reactivity

Validated:

Human, Mouse

Predicted:

Bovine (100%), Canine (100%), Chicken (98%), Equine (100%), Monkey (100%). Backed by our 100% Guarantee.

Applications

Flow Cytometry, Immunohistochemistry, Immunohistochemistry-Paraffin, Simple Western, Western Blot

Label

Unconjugated

Antibody Source

Polyclonal Rabbit IgG

Concentration

0.5 mg/ml

Product Specifications

Immunogen

A portion of amino acids 100-166 of human HMGB1 was used as the immunogen.

Clonality

Polyclonal

Host

Rabbit

Isotype

IgG

Description

Novus Biologicals Rabbit HMGB1/HMG-1 Antibody (NBP2-27117) is a polyclonal antibody validated for use in IHC, WB, Flow and Simple Western. All Novus Biologicals antibodies are covered by our 100% guarantee.

Scientific Data Images for HMGB1/HMG-1 Antibody

Western Blot: HMGB1/HMG-1 Antibody [NBP2-27117]

Western Blot: HMGB1/HMG-1 Antibody [NBP2-27117]

Western Blot: HMGB1/HMG-1 Antibody [NBP2-27117] - Analysis using HMGB1 antibody. Human ThP1 cell lysate in the (1) absence and (2) presence of immunizing peptide, as well as (3) mouse NIH 3T3 cell lysate were probed using HMGB1 antibody at 5 ug/ml. Goat anti-rabbit Ig HRP secondary antibody and PicoTect ECL substrate solution were used for this test.
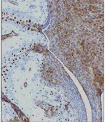
Immunohistochemistry-Paraffin: HMGB1/HMG-1 Antibody [NBP2-27117]

Immunohistochemistry-Paraffin: HMGB1/HMG-1 Antibody [NBP2-27117]

Immunohistochemistry-Paraffin: HMGB1/HMG-1 Antibody [NBP2-27117] - Analysis of decalcified, FFPE tissue sections from the paws of mice with collagen-induced arthritis using the HMGB1 antibody. The antibody was used at 5 ug/ml. Data courtesy of Dr Ulf Andersson, Karolinska Institute.
Flow Cytometry: HMGB1/HMG-1 Antibody [NBP2-27117]

Flow Cytometry: HMGB1/HMG-1 Antibody [NBP2-27117]

Flow Cytometry: HMGB1/HMG-1 Antibody [NBP2-27117] - Intracellular analysis using HMGB1 antibody. Human monocytes were probed using 0.5 ug of HMGB1 antibody (red) and 0.5 ug of isotype control antibody (green). NBP2-27117 and APC secondary this antibody were used for this test.

Applications for HMGB1/HMG-1 Antibody

Application
Recommended Usage

Flow Cytometry

0.5ug/10^6cells

Immunohistochemistry-Paraffin

5ug/ml

Simple Western

1:100

Western Blot

5-10ug/ml~
Application Notes
In Simple Western only 10 - 15 uL of the recommended dilution is used per data point.
See Simple Western Antibody Database for Simple Western validation: Tested in Jurkat lysate 0.5 mg/mL, separated by Size, antibody dilution of 1:100, apparent MW was 36 kDa.

Formulation, Preparation, and Storage

Purification

Protein A purified

Formulation

PBS and 0.05% BSA

Preservative

0.05% Sodium Azide

Concentration

0.5 mg/ml

Shipping

The product is shipped with polar packs. Upon receipt, store it immediately at the temperature recommended below.

Stability & Storage

Store at 4C short term. Aliquot and store at -20C long term. Avoid freeze-thaw cycles.

Background: HMGB1/HMG-1

HMGB1 (high mobility group protein B1) belongs to the HMGB family and contains two HMG box DNA-binding domains. It is a highly conserved, ubiquitous protein present in the nuclei and cytoplasm of nearly all cell types, and is a necessary and sufficient mediator of inflammation during sterile and infection-associated responses. HMGB1 also act as DNA nuclear binding protein that has recently been shown to be an early trigger of sterile inflammation in animal models of trauma-hemorrhage via the activation of the Toll-like receptor 4 (TLR4) and the receptor for the advanced glycation endproducts (RAGE). It is reported that the level of HMGB1 is elevated during sterile tissue injury, infection, lethal endotoxemia or sepsis, collagen-induced arthritis, and ischemia-reperfusion induced tissue injury.

Long Name

High Mobility Group Protein 1

Alternate Names

HMG-1, HMG1

Gene Symbol

HMGB1

UniProt

Additional HMGB1/HMG-1 Products

Product Documents for HMGB1/HMG-1 Antibody

Certificate of Analysis

To download a Certificate of Analysis, please enter a lot number in the search box below.

Product Specific Notices for HMGB1/HMG-1 Antibody

This product is for research use only and is not approved for use in humans or in clinical diagnosis. Primary Antibodies are guaranteed for 1 year from date of receipt.

Loading...
Loading...
Loading...
Loading...
Loading...