Skip to main content

HMGB1/HMG-1 Antibody - BSA Free

Novus Biologicals, part of Bio-Techne | Catalog # NB100-2322

Novus Biologicals, part of Bio-Techne

Key Product Details

Validated by

Knockout/Knockdown

Species Reactivity

Validated:

Human, Mouse, Rat, Bovine, Canine, Rabbit, Sheep

Cited:

Human, Mouse, Rat, Bovine, Rabbit

Predicted:

Equine (100%), Porcine (100%). Backed by our 100% Guarantee.

Applications

Validated:

Immunohistochemistry, Immunohistochemistry-Paraffin, Western Blot, ELISA, Flow Cytometry, Flow (Intracellular), Immunocytochemistry/ Immunofluorescence, Simple Western, Knockdown Validated

Cited:

Western Blot, ELISA, Flow Cytometry, Immunocytochemistry/ Immunofluorescence, IF/IHC

Label

Unconjugated

Antibody Source

Polyclonal Rabbit IgG

Format

BSA Free

Concentration

1 mg/ml

Product Specifications

Immunogen

A synthetic peptide made to an internal portion of the human HMGB1 protein sequence (between residues 100-200). [UniProt #P09429]

Reactivity Notes

Rabbit reactivity reported in scientific literature (PMID: 27401639).

Localization

Nuclear

Clonality

Polyclonal

Host

Rabbit

Isotype

IgG

Theoretical MW

29 kDa.
Disclaimer note: The observed molecular weight of the protein may vary from the listed predicted molecular weight due to post translational modifications, post translation cleavages, relative charges, and other experimental factors.

Description

Novus Biologicals Rabbit HMGB1/HMG-1 Antibody - BSA Free (NB100-2322) is a polyclonal antibody validated for use in IHC, WB, ELISA, Flow, ICC/IF and Simple Western. Anti-HMGB1/HMG-1 Antibody: Cited in 39 publications. All Novus Biologicals antibodies are covered by our 100% guarantee.

Scientific Data Images for HMGB1/HMG-1 Antibody - BSA Free

Knockdown Validated: HMGB1/HMG-1 Antibody [NB100-2322]

Western Blot: HMGB1/HMG-1 Antibody [NB100-2322]

Western Blot: HMGB1/HMG-1 Antibody [NB100-2322] - Western blot shows lysates of HEK293T human embryonic kidney parental cell line and HMGB1 knockout (KO) HEK293T cell line. PVDF membrane was probed with 1.0 ug/ml of Rabbit Anti-Human HMGB1 Polyclonal Antibody (Catalog # NB100-2322) followed by HRP-conjugated Anti-Rabbit IgG Secondary Antibody (Catalog #HAF008). Specific band was detected for HMGB1 at approximately 30 kDa (as indicated) in the parental HEK293T cell line, but is not detectable in the knockout HEK293T cell line. This experiment was conducted under reducing conditions.
Western Blot: HMGB1/HMG-1 Antibody [NB100-2322]

Western Blot: HMGB1/HMG-1 Antibody [NB100-2322]

Western Blot: HMGB1/HMG-1 Antibody [NB100-2322] - Total protein from SHSY-5Y, MCF7, Neuro2A and HeLa was separated on a 12% gel by SDS-PAGE, transferred to PVDF membrane and blocked in 5% non-fat milk in TBST. The membrane was probed with 2.0 ug/mL anti-HMGB1 in 1% non-fat milk in TBST and detected with an anti-rabbit HRP secondary antibody using chemiluminescence.
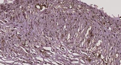
Immunohistochemistry-Paraffin: HMGB1/HMG-1 Antibody [NB100-2322]

Immunohistochemistry-Paraffin: HMGB1/HMG-1 Antibody [NB100-2322]

Immunohistochemistry-Paraffin: HMGB1/HMG-1 Antibody [NB100-2322] - Staining of HMGB1 in mouse liver using NB100-2322.

Applications for HMGB1/HMG-1 Antibody - BSA Free

Application
Recommended Usage

Flow Cytometry

1:100

Immunocytochemistry/ Immunofluorescence

0.05 ug/ml

Immunohistochemistry

1:100-1:250

Immunohistochemistry-Paraffin

1:100-1:250

Simple Western

1:2000

Western Blot

0.5-1.0 ug/ml
Application Notes
In Western blot a band is seen approx. 29 kDa. It has been reported that the HRP conjugated format (Catalog# NB100-2322H) of this antibody works well for use in ELISA.

In Simple Western only 10 - 15 uL of the recommended dilution is used per data point.
See Simple Western Antibody Database for Simple Western validation: Tested in Jurkat lysate 0.05 mg/mL, separated by Size, antibody dilution of 1:2000. Separated by Size-Wes, Sally Sue/Peggy Sue.
The observed molecular weight of the protein may vary from the listed predicted molecular weight due to post translational modifications, post translation cleavages, relative charges, and other experimental factors.

Reviewed Applications

Read 5 reviews rated 4.4 using NB100-2322 in the following applications:

Formulation, Preparation, and Storage

Purification

Immunogen affinity purified

Formulation

PBS

Format

BSA Free

Preservative

0.02% Sodium Azide

Concentration

1 mg/ml

Shipping

The product is shipped with polar packs. Upon receipt, store it immediately at the temperature recommended below.

Stability & Storage

Store at 4C. Do not freeze.

Background: HMGB1/HMG-1

HMGB1 (high mobility group protein B1) is a member of HMGB family and it has been extensively studied as a transcription/growth factor that is most ubiquitous and evolutionarily conserved protein in eukaryotic organisms. HMGB1 is localized in nucleus, however gets translocated to cytoplasm or may get secreted also. It is a DNA binding protein that preferentially binds with ssDNA and contains 2 HMG box DNA-binding domains with ability of chromatin association for bending DNA. HMGB1 implicates in in V(D)J recombination by acting as a cofactor of RAG complex that contains core components RAG1 and RAG2, as well as an associated component HMGB1 or HMGB2. HMGB1 acts by stimulating cleavage and RAG protein binding at 23bp spacer of conserved RSS (recombination signal sequences). Originally described as a nonhistone nuclear protein with transcriptional regulatory properties, HMGB1 (especially the cytoplasmic/secreted form) has also now been recognized as a late mediator in septic shock as well as a pro-inflammatory cytokine. It gets translocated to cytoplasm or secreted when cells get exposed to inflammatory mediators (LPS, TNF-alpha, IFN-gamma) or via passive process during cellular necrosis. HMGB1 has been implicated in the pathogenesis of various inflammatory and autoimmune diseases, such as SLE, RA and ankylosing spondylitis.

Long Name

High Mobility Group Protein 1

Alternate Names

HMG-1, HMG1

Gene Symbol

HMGB1

Additional HMGB1/HMG-1 Products

Product Documents for HMGB1/HMG-1 Antibody - BSA Free

Certificate of Analysis

To download a Certificate of Analysis, please enter a lot number in the search box below.

Product Specific Notices for HMGB1/HMG-1 Antibody - BSA Free

This product is for research use only and is not approved for use in humans or in clinical diagnosis. Primary Antibodies are guaranteed for 1 year from date of receipt.

Loading...
Loading...
Loading...
Loading...
Loading...
Loading...