Skip to main content

HLA-E Antibody - BSA Free

Novus Biologicals, part of Bio-Techne | Catalog # NBP3-42334

Novus Biologicals, part of Bio-Techne
Catalog #
Availability
Size / Price
Qty
Loading...
NBP3-42334

Key Product Details

Species Reactivity

Human, Porcine

Applications

Immunohistochemistry, Immunohistochemistry-Paraffin, Western Blot, Immunocytochemistry/ Immunofluorescence

Label

Unconjugated

Antibody Source

Polyclonal Rabbit

Format

BSA Free

Concentration

0.5 mg/ml

Product Specifications

Immunogen

Immunogen sequence: Gly22-Leu358 (Uniprot#: P13747)

Clonality

Polyclonal

Host

Rabbit

Description

Novus Biologicals Rabbit HLA-E Antibody - BSA Free (NBP3-42334) is a polyclonal antibody validated for use in IHC, WB and ICC/IF. All Novus Biologicals antibodies are covered by our 100% guarantee.

Scientific Data Images for HLA-E Antibody - BSA Free

HLA-E Antibody

Western Blot: HLA-E Antibody [NBP3-42334] -

Western Blot: HLA-E Antibody [NBP3-42334] - Sample: Recombinant protein.
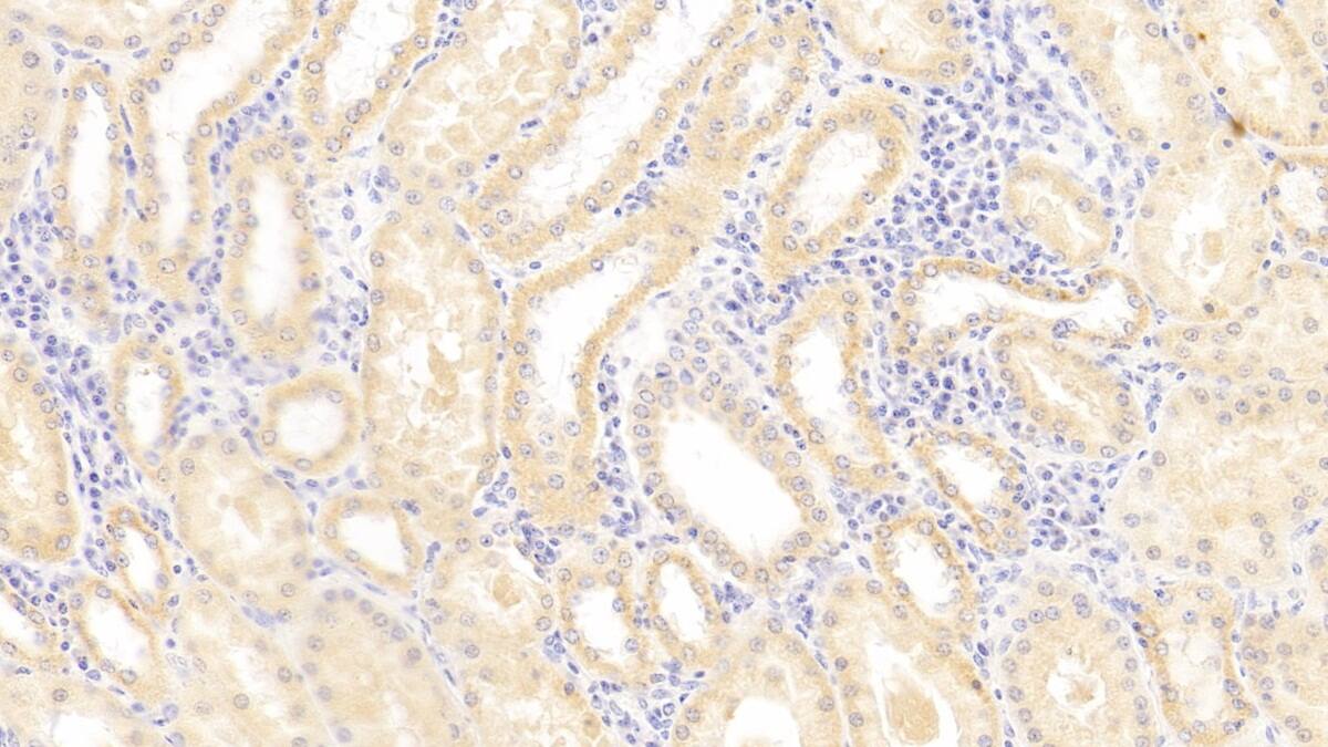
HLA-E Antibody

Immunohistochemistry-Paraffin: HLA-E Antibody [NBP3-42334] -

Immunohistochemistry-Paraffin: HLA-E Antibody [NBP3-42334] - DAB staining on IHC-P; Samples: Human Kidney Tissue; Primary Ab: 30ug/ml NBP3-42334; Second Ab: 2ug/mL HRP-Linked Caprine Anti-Rabbit IgG Polyclonal Antibody

Applications for HLA-E Antibody - BSA Free

Application
Recommended Usage

Immunocytochemistry/ Immunofluorescence

5-20ug/mL

Immunohistochemistry

5-20ug/mL

Immunohistochemistry-Paraffin

5-20ug/mL

Western Blot

0.5-2ug/mL

Formulation, Preparation, and Storage

Purification

Antigen and protein A Affinity-purified

Formulation

PBS, pH7.4, 50% glycerol

Format

BSA Free

Preservative

0.02% Sodium Azide

Concentration

0.5 mg/ml

Shipping

The product is shipped with polar packs. Upon receipt, store it immediately at the temperature recommended below.

Stability & Storage

Store at 4C short term. Aliquot and store at -20C long term. Avoid freeze-thaw cycles.

Background: HLA-E

Long Name

Major Histocompatibility Complex, Class I, E

Alternate Names

HLA-6.2, HLAE, QA1

Gene Symbol

HLA-E

Additional HLA-E Products

Product Documents for HLA-E Antibody - BSA Free

Certificate of Analysis

To download a Certificate of Analysis, please enter a lot number in the search box below.

Product Specific Notices for HLA-E Antibody - BSA Free

This product is for research use only and is not approved for use in humans or in clinical diagnosis. Primary Antibodies are guaranteed for 1 year from date of receipt.

Loading...
Loading...
Loading...
Loading...