HLA-E Antibody (HLAE/9468) - Azide and BSA Free
Novus Biologicals, part of Bio-Techne | Catalog # NBP3-45082
Key Product Details
Species Reactivity
Human
Applications
Immunohistochemistry
Label
Unconjugated
Antibody Source
Monoclonal Mouse IgG2 kappa Clone # HLAE/9468
Format
Azide and BSA Free
Concentration
1 mg/ml
Product Specifications
Immunogen
Recombinant fragment (around aa1-150) of human HLA-E protein (Uniprot: P13747). Exact sequence is proprietary.
Localization
Secreted
Clonality
Monoclonal
Host
Mouse
Isotype
IgG2 kappa
Theoretical MW
40 kDa.
Disclaimer note: The observed molecular weight of the protein may vary from the listed predicted molecular weight due to post translational modifications, post translation cleavages, relative charges, and other experimental factors.
Disclaimer note: The observed molecular weight of the protein may vary from the listed predicted molecular weight due to post translational modifications, post translation cleavages, relative charges, and other experimental factors.
Description
1.0 mg/ml of antibody purified from Bioreactor Concentrate by Protein A/G. Prepared in 10mM PBS WITHOUT BSA & azide. Also available at 200 ug/ml WITH BSA & azide (NBP3-44604).
Antibody with azide - store at 2 to 8C. Antibody without azide - store at -20 to -80C. Non-hazardous. No MSDS required.
Antibody with azide - store at 2 to 8C. Antibody without azide - store at -20 to -80C. Non-hazardous. No MSDS required.
Scientific Data Images for HLA-E Antibody (HLAE/9468) - Azide and BSA Free
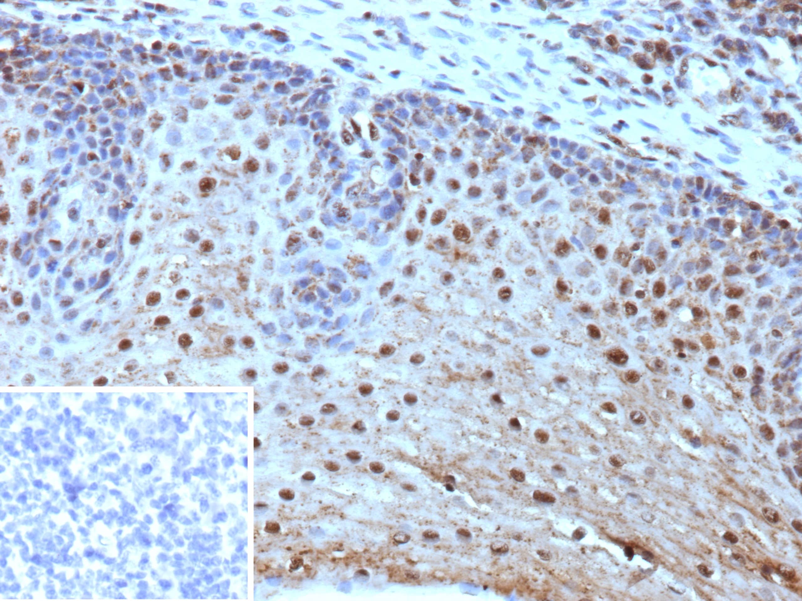
Immunohistochemistry-Paraffin: HLA-E Antibody (HLAE/9468) - Azide and BSA Free [NBP3-45082] -
Formalin-fixed, paraffin-embedded human tonsil stained with HLA-E Antibody (HLAE/9468) - Azide and BSA Free). Inset: PBS instead of primary antibody; secondary only negative control.Applications for HLA-E Antibody (HLAE/9468) - Azide and BSA Free
Application
Recommended Usage
Immunohistochemistry
: 1-2ug/ml
Application Notes
Immunohistochemistry: 30 min at RT. Staining of formalin-fixed tissues requires heating tissue sections in 10mM Tris with 1mM EDTA, pH 9.0, for 45 min at 95C followed by cooling at RT for 20 minutes.
Formulation, Preparation, and Storage
Purification
Protein A purified
Formulation
10 mM PBS
Format
Azide and BSA Free
Preservative
No Preservative
Concentration
1 mg/ml
Shipping
The product is shipped with polar packs. Upon receipt, store it immediately at the temperature recommended below.
Stability & Storage
Store at -20 to -80C. Avoid freeze-thaw cycles.
Background: HLA-E
Long Name
Major Histocompatibility Complex, Class I, E
Alternate Names
HLA-6.2, HLAE, QA1
Gene Symbol
HLA-E
Additional HLA-E Products
Product Documents for HLA-E Antibody (HLAE/9468) - Azide and BSA Free
Product Specific Notices for HLA-E Antibody (HLAE/9468) - Azide and BSA Free
This product is for research use only and is not approved for use in humans or in clinical diagnosis. Primary Antibodies are guaranteed for 1 year from date of receipt.
Loading...
Loading...
Loading...
Loading...