Skip to main content

Histone H2B type 2E Antibody - Azide and BSA Free

Novus Biologicals, part of Bio-Techne | Catalog # NBP2-99782

Novus Biologicals, part of Bio-Techne

Key Product Details

Species Reactivity

Human

Applications

Immunohistochemistry, Immunohistochemistry-Paraffin, Western Blot, ELISA

Label

Unconjugated

Antibody Source

Polyclonal Rabbit IgG

Format

Azide and BSA Free

Concentration

Please see the vial label for concentration. If unlisted please contact technical services.

Product Specifications

Immunogen

Produced in rabbits immunized with purified, recombinant Human Histone H2B type 2E (Uniprot#: Q16778; Met1-Lys126)

Clonality

Polyclonal

Host

Rabbit

Isotype

IgG

Description

This antibody can be stored at 2C to 8C for one month without detectable loss of activity. Antibody products are stable for twelve months from date of receipt when stored at -20C to -80C. Avoid repeated freeze-thaw cycles.

Scientific Data Images for Histone H2B type 2E Antibody - Azide and BSA Free

Western Blot: Histone H2B type 2E Antibody [NBP2-99782]

Western Blot: Histone H2B type 2E Antibody [NBP2-99782]

Western Blot: Histone H2B type 2E Antibody [NBP2-99782] - Anti-H2B(Histone H2B type 2E) rabbit polyclonal antibody at 1:1000 dilution. Lane A: Jurkat Whole Cell Lysate. Lysates/proteins at 30 ug per lane. Secondary Goat Anti-Rabbit IgG H&L (Dylight 800) at 1/10000 dilution. Developed using the Odyssey technique. Performed under reducing conditions. Predicted band size: 14 kDa. Observed band size: 15 kDa
Immunohistochemistry-Paraffin: Histone H2B type 2E Antibody [NBP2-99782]

Immunohistochemistry-Paraffin: Histone H2B type 2E Antibody [NBP2-99782]

Immunohistochemistry-Paraffin: Histone H2B type 2E Antibody [NBP2-99782] - Immunochemical staining of human Histone H2B type 2E in human testis with rabbit polyclonal antibody (1:20000, formalin-fixed paraffin embedded sections).
Immunohistochemistry-Paraffin: Histone H2B type 2E Antibody [NBP2-99782]

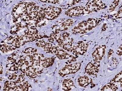
Immunohistochemistry-Paraffin: Histone H2B type 2E Antibody [NBP2-99782]

Immunohistochemistry-Paraffin: Histone H2B type 2E Antibody [NBP2-99782] - Immunochemical staining of human Histone H2B type 2E in human breast carcinoma with rabbit polyclonal antibody (1:20000, formalin-fixed paraffin embedded sections).

Applications for Histone H2B type 2E Antibody - Azide and BSA Free

Application
Recommended Usage

ELISA

1:5000-1:10000

Immunohistochemistry-Paraffin

1:10000-1:20000

Western Blot

1:1000-1:5000

Formulation, Preparation, and Storage

Purification

Antigen and protein A Affinity-purified

Formulation

0.2 um filtered solution in PBS

Format

Azide and BSA Free

Preservative

No Preservative

Concentration

Please see the vial label for concentration. If unlisted please contact technical services.

Shipping

The product is shipped with polar packs. Upon receipt, store it immediately at the temperature recommended below.

Stability & Storage

Store at 4C short term. Aliquot and store at -20C long term. Avoid freeze-thaw cycles.

Background: Histone H2B type 2E

Alternate Names

GL105, H2B, H2B Histone Family, Member Q, H2B.1, Histone 2, H2be, Histone Cluster 2 H2B Family Member E, Histone Cluster 2, H2be, Histone H2B Type 2-E, Histone H2B.Q, Histone H2B-GL105

Gene Symbol

H2BC21

Additional Histone H2B type 2E Products

Product Documents for Histone H2B type 2E Antibody - Azide and BSA Free

Certificate of Analysis

To download a Certificate of Analysis, please enter a lot number in the search box below.

Product Specific Notices for Histone H2B type 2E Antibody - Azide and BSA Free

This product is for research use only and is not approved for use in humans or in clinical diagnosis. Primary Antibodies are guaranteed for 1 year from date of receipt.

Loading...
Loading...
Loading...
Loading...