Skip to main content

Histone H2B Antibody

Novus Biologicals, part of Bio-Techne | Catalog # NBP2-42854

Novus Biologicals, part of Bio-Techne
Catalog #
Availability
Size / Price
Qty
Loading...
NBP2-42854

Key Product Details

Species Reactivity

Validated:

Human, Mouse, Zebrafish

Cited:

Human

Predicted:

Bovine (99%), Porcine (99%), Rat (98%). Backed by our 100% Guarantee.

Applications

Validated:

Immunohistochemistry, Immunohistochemistry-Paraffin, Western Blot, Immunocytochemistry/ Immunofluorescence

Cited:

Western Blot

Label

Unconjugated

Antibody Source

Polyclonal Rabbit IgG

Concentration

Concentrations vary lot to lot. See vial label for concentration. If unlisted please contact technical services.

Product Specifications

Immunogen

Full length human Histone H2B Recombinant protein.

Clonality

Polyclonal

Host

Rabbit

Isotype

IgG

Description

Novus Biologicals Rabbit Histone H2B Antibody (NBP2-42854) is a polyclonal antibody validated for use in IHC, WB and ICC/IF. Anti-Histone H2B Antibody: Cited in 1 publication. All Novus Biologicals antibodies are covered by our 100% guarantee.

Scientific Data Images for Histone H2B Antibody

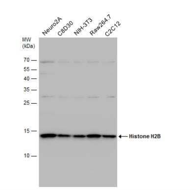
Western Blot: Histone H2B Antibody [NBP2-42854]

Western Blot: Histone H2B Antibody [NBP2-42854]

Western Blot: Histone H2B Antibody [NBP2-42854] - Various whole cell extracts (30 ug) were separated by 15% SDS-PAGE, and the membrane was blotted with Histone H2B antibody diluted at 1:1000. The HRP-conjugated anti-rabbit IgG antibody (NBP2-19301) was used to detect the primary antibody.
Immunocytochemistry/ Immunofluorescence: Histone H2B Antibody [NBP2-42854]

Immunocytochemistry/ Immunofluorescence: Histone H2B Antibody [NBP2-42854]

Immunocytochemistry/Immunofluorescence: Histone H2B Antibody [NBP2-42854] - Analysis of Sample: HeLa cells were fixed in 4% paraformaldehyde/PBS for 15 min. Green: Histone H2B protein stained by Histone H2B antibody diluted at 1:500. Blue: Hoechst 33342 staining.
Immunohistochemistry-Paraffin: Histone H2B Antibody [NBP2-42854]

Immunohistochemistry-Paraffin: Histone H2B Antibody [NBP2-42854]

Immunohistochemistry-Paraffin: Histone H2B Antibody [NBP2-42854] - Analysis of mouse middle brain. Histone H2B antibody diluted at 1:500.

Applications for Histone H2B Antibody

Application
Recommended Usage

Immunocytochemistry/ Immunofluorescence

1:100-1:1000

Immunohistochemistry

1:100-1:1000

Immunohistochemistry-Paraffin

1:100-1:1000

Western Blot

1:500-1:10000

Formulation, Preparation, and Storage

Purification

Antigen Affinity-purified

Formulation

PBS, 1% BSA, 20% Glycerol

Preservative

0.01% Thimerosal

Concentration

Concentrations vary lot to lot. See vial label for concentration. If unlisted please contact technical services.

Shipping

The product is shipped with polar packs. Upon receipt, store it immediately at the temperature recommended below.

Stability & Storage

Aliquot and store at -20C or -80C. Avoid freeze-thaw cycles.

Background: Histone H2B

Core component of nucleosome. Nucleosomes wrap and compact DNA into chromatin, limiting DNA accessibility tothe cellular machineries which require DNA as a template. Histones thereby play a central role in transcriptionregulation, DNA repair, DNA replication and chromosomal stability. DNA accessibility is regulated via a complex set ofpost-translational modifications of histones, also called histone code, and nucleosome remodeling

Long Name

H2B Histone Family

Alternate Names

HIST1H2BK

Gene Symbol

H2BC18

Additional Histone H2B Products

Product Documents for Histone H2B Antibody

Certificate of Analysis

To download a Certificate of Analysis, please enter a lot number in the search box below.

Product Specific Notices for Histone H2B Antibody

This product is for research use only and is not approved for use in humans or in clinical diagnosis. Primary Antibodies are guaranteed for 1 year from date of receipt.

Loading...
Loading...
Loading...
Loading...

⚠ WARNING: This product can expose you to chemicals including mercury, which is known to the State of California to cause reproductive toxicity with developmental effects.  For more information go to www.P65Warnings.ca.gov.