Histone H2B Antibody (SD20-63)
Novus Biologicals, part of Bio-Techne | Catalog # NBP2-67753
Recombinant Monoclonal Antibody.
Key Product Details
Species Reactivity
Human, Mouse, Rat
Applications
Flow Cytometry, Immunocytochemistry/ Immunofluorescence, Immunohistochemistry, Immunohistochemistry-Paraffin, Immunoprecipitation, Western Blot
Label
Unconjugated
Antibody Source
Recombinant Monoclonal Rabbit IgG Clone # SD20-63 expressed in HEK293
Concentration
1 mg/ml
Product Specifications
Immunogen
Synthetic peptide within human Histone H2B aa 110 to the C-terminus (acetyl K121). (SwissProt: O60814 Human; SwissProt: P10854 Mouse; SwissProt: Q64475 Mouse; SwissProt: Q00729 Rat)
Localization
Nucleus, Chromosome.
Clonality
Monoclonal
Host
Rabbit
Isotype
IgG
Description
Novus Biologicals Rabbit Histone H2B Antibody (SD20-63) (NBP2-67753) is a recombinant monoclonal antibody validated for use in IHC, WB, Flow, ICC/IF and IP. All Novus Biologicals antibodies are covered by our 100% guarantee.
Scientific Data Images for Histone H2B Antibody (SD20-63)
Western Blot: Histone H2B Antibody (SD20-63) [NBP2-67753]
Western Blot: Histone H2B Antibody (SD20-63) [NBP2-67753] - Analysis of Histone H2B on different lysates. Proteins were transferred to a PVDF membrane and blocked with 5% BSA in PBS for 1 hour at room temperature. The primary antibody (1/500) was used in 5% BSA at room temperature for 2 hours. Goat Anti-Rabbit IgG - HRP Secondary Antibody at 1:5,000 dilution was used for 1 hour at room temperature.Positive control: Lane 1: Hela cell lysateLane 2: PC-12 cell lysateImmunocytochemistry/ Immunofluorescence: Histone H2B Antibody (SD20-63) [NBP2-67753]
Immunocytochemistry/Immunofluorescence: Histone H2B Antibody (SD20-63) [NBP2-67753] - Staining Histone H2B in A431 cells (green). The nuclear counter stain is DAPI (blue). Cells were fixed in paraformaldehyde, permeabilised with 0.25% Triton X100/PBS.Immunohistochemistry-Paraffin: Histone H2B Antibody (SD20-63) [NBP2-67753]
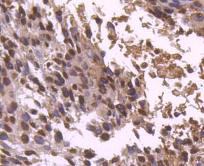
Immunohistochemistry-Paraffin: Histone H2B Antibody (SD20-63) [NBP2-67753] - Analysis of paraffin-embedded mouse testis tissue using anti-Histone H2B antibody. Counter stained with hematoxylin.Applications for Histone H2B Antibody (SD20-63)
Application
Recommended Usage
Flow Cytometry
1:50-1:100
Immunocytochemistry/ Immunofluorescence
1:100-1:500
Immunohistochemistry-Paraffin
1:50-1:5000
Western Blot
1:500-1:2000
Application Notes
IP: Use at an assay dependent concentration.
Formulation, Preparation, and Storage
Purification
Protein A purified
Formulation
TBS (pH7.4), 0.05% BSA, 40% Glycerol
Preservative
0.05% Sodium Azide
Concentration
1 mg/ml
Shipping
The product is shipped with polar packs. Upon receipt, store it immediately at the temperature recommended below.
Stability & Storage
Store at 4C short term. Aliquot and store at -20C long term. Avoid freeze-thaw cycles.
Background: Histone H2B
Long Name
H2B Histone Family
Alternate Names
HIST1H2BK
Gene Symbol
H2BC18
Additional Histone H2B Products
Product Documents for Histone H2B Antibody (SD20-63)
Product Specific Notices for Histone H2B Antibody (SD20-63)
This product is for research use only and is not approved for use in humans or in clinical diagnosis. Primary Antibodies are guaranteed for 1 year from date of receipt.
Loading...
Loading...
Loading...
Loading...
Loading...