Western Blot: HIF-1 alpha AntibodyBSA Free [NB100-134]
Western Blot: HIF-1 alpha Antibody - BSA Free [NB100-134] - Analysis of HIF-1 alpha in overexpression and endogenous HIF-1 alpha & HIF-2 alpha using anti-HIF-1 alpha antibody NB100-134. The data showed that HIF-1 alpha antibody did not react to HIF-2 alpha overexpression. Image from verified customer review.
Western Blot: HIF-1 alpha AntibodyBSA Free [NB100-134]
Western Blot: HIF-1 alpha Antibody - BSA Free [NB100-134] - Analysis of HIF-1 alpha using NB100-134, on normoxic and hypoxic nuclear rat cell lysates.
Immunocytochemistry/ Immunofluorescence: HIF-1 alpha Antibody - BSA Free [NB100-134]
HIF-1 alpha Antibody - BSA Free-Immunocytochemistry-Immunofluorescence-NB100-134-img0020.jpg
Immunocytochemistry/ Immunofluorescence: HIF-1 alpha Antibody - BSA Free [NB100-134]
Immunocytochemistry/Immunofluorescence: HIF-1 alpha Antibody - BSA Free [NB100-134] - Analysis of HIF-1 alpha in Normoxic (N) and Hypoxic (H) ARPE-19 cells using anti-HIF-1 alpha antibody NB100-134. Image from verified customer review.
Immunocytochemistry/ Immunofluorescence: HIF-1 alpha Antibody - BSA Free [NB100-134]
HIF-1-alpha-Antibody---BSA-Free-Immunocytochemistry-Immunofluorescence-NB100-134-img0016.jpg
Immunohistochemistry-Paraffin: HIF-1 alpha Antibody - BSA Free [NB100-134]
Immunohistochemistry-Paraffin: HIF-1 alpha Antibody - BSA Free [NB100-134] - Staining in the canine CL on days 10 to 70 after ovulation. PC = positive control (human placenta). NC = negative control. Image from verified customer review.
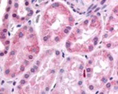
Immunohistochemistry: HIF-1 alpha Antibody - BSA Free [NB100-134]
Immunohistochemistry: HIF-1 alpha Antibody - BSA Free [NB100-134] - Staining of human kidney, renal tubular epithelium in cortex using NB100-134.
Immunohistochemistry-Paraffin: HIF-1 alpha Antibody - BSA Free [NB100-134]
Immunohistochemistry-Paraffin: HIF-1 alpha Antibody - BSA Free [NB100-134] - Analysis of FFPE tissue section of human endometrium carcinoma AN3CA cell line based xenograft using rabbit polyclonal HIF-1 alpha antibody NB100-134 at 1:300 dilution. The signal was developed using HRP-labelled secondary antibody and DAB reagent, and the section was further counterstained using hematoxylin. The tested section depicted mainly a diffused cytoplasmic staining but there were some cells which showed nuclear signal also (representing hypoxic cells).
Simple Western: HIF-1 alpha AntibodyBSA Free [NB100-134]
Simple Western: HIF-1 alpha Antibody - BSA Free [NB100-134] - Image shows a specific band for HIF-1 alpha in 0.2 mg/mL of Hypoxic HeLa lysate. This experiment was performed under reducing conditions using the 12-230 kDa separation system.
Immunoprecipitation: HIF-1 alpha Antibody - BSA Free [NB100-134]
Immunoprecipitation: HIF-1 alpha Antibody - BSA Free [NB100-134] - PC-3 cell lysates run with cobalt chloride treatments. Immunoprecipitation was performed with protein A/G agarose beads. This data was provided courtesy of Kelie Reece, Figg lab, NCI.
Dual RNAscope ISH-IHC: HIF-1 alpha Antibody - BSA Free [NB100-134] - Formalin-fixed paraffin-embedded tissue sections of human kidney were probed for HIF-1 alpha mRNA (ACD RNAScope Probe, catalog #605228; Fast Red chromogen, ACD catalog # 322750). Adjacent tissue section was processed for immunohistochemistry using Rabbit Polyclonal (Novus Biologicals catalog # NB100-134) at 1:500 dilution with one-hour incubation at room temperature followed by incubation with anti-rabbit IgG VisUCyte HRP Polymer Antibody (Catalog # VC003) and DAB chromogen (yellow-brown). Tissue was counterstained with hematoxylin (blue). Specific staining was localized to cytoplasm of tubules.
Simple Western: HIF-1 alpha AntibodyBSA Free [NB100-134]
Simple Western: HIF-1 alpha Antibody - BSA Free [NB100-134] - Simple Western lane view shows lysates of MCF +/- DMOG, BioSpherix MSCs in hypoxic conditions, and BioSpherix MSCs in normoxic conditions loaded at 0.5 mg/ml. A band was detected for HIF-1 alpha at approximately 116 kDa (as indicated) using NB100-134 (1:100 dilution) followed by Anti-Rabbit Secondary Antibody (042-206, ProteinSimple). This experiment was conducted under standard assay conditions, and using the 12-230 kDa separation module (SW-W004). Non-specific interaction with the 230 kDa Simple Western standard may be seen with this antibody. Image from an internal validation.
Western Blot: HIF-1 alpha Antibody - BSA Free [NB100-134] -
P53 was increased response to IR in the fetal brain.Even though no significant change in protein level, total p53 and phosphorylation of P53 at ser15 were increased compared with HIF-1 alpha in fetal brains response to IR. Numbers in the pictures show the average of three independent experiments (n = 3 from 3 individual pregnant mice).
Western Blot: HIF-1 alpha Antibody - BSA Free [NB100-134] -
WNT11 is induced by hypoxia or hypoxic mimetics in different cell types.(A) Increased Wnt11 mRNA in EMSC adipocytes (Day 12) after hypoxia-mimetic treatments. EMSC adipocytes were treated with CoCl2 (0.1 mM), DFO (0.1 mM) or DMOG (0.1 mM) for 24 hrs. Values were normalized to Tbp mRNA & are expressed relative to control (n = 3). (B,C) Increased Wnt11 mRNA by hypoxia in EMSC preadipocytes & adipocytes (Day 0–12 after differentiation) (B), & C2C12 myoblast & myocyte (Day 0 & 8 after differentiation) (C). Wnt11 mRNA was assessed by quantitative PCR in cells exposed to air (21% O2) or hypoxia (1% O2) for 24 hrs. (n = 4). Values were normalized to Tbp mRNA & are expressed relative to 21% O2 samples (left panel). (D) Immunoblot analyses of HeLa cells under normal air or hypoxia for 24 hrs. (E,F) Induction of Wnt11 by increasing concentrations of DMOG in MDA-MB-231 cells (E) & 4T1 cells (F). (G) EMSCs treated with 0.1 mM DMOG for the indicated times. Wnt11 & Vegf mRNA expression was measured by qPCR & normalized to Tbp mRNA (n = 4). (H) WNT11 protein levels after DMOG treatment normalized to alpha-Tubulin (upper panel; n = 4). Representative immunoblots of EMSCs treated with 0.1 mM DMOG for the indicated times (Lower panel). (I) Protein expression in MDA-MB-231 cells treated with 0.1 mM DMOG. (J) Induction of Wnt11 promoter activity by hypoxia or hypoxia mimetics. pGL3-Wnt11 promoter plasmid was transfected into C2C12 cells. Cells were incubated with DMOG (left panel, n = 4) or under 21% O2 or 1% O2 (right panel, n = 8) for 24 hrs. For panels (A–C,G,H,J), values are mean ± s.e.m. *p < 0.05, **p < 0.01. For panels of immunoblotting, laminin, alpha-tubulin, & ERK were used as loading controls, WNT11 normalized to alpha-Tubulin was shown. Image collected & cropped by CiteAb from the following publication (https://www.nature.com/articles/srep21520), licensed under a CC-BY license. Not internally tested by Novus Biologicals.
Western Blot: HIF-1 alpha Antibody - BSA Free [NB100-134] -
Western Blot: HIF-1 alpha Antibody - BSA Free [NB100-134] - LOXL2 abundance in EC‐derived exosomes is increased in hypoxia. (A) Immunoblots of endothelial cells for HIF‐1 alpha (control for hypoxia, top panel), LOXL2 (middle panel) & beta‐actin (loading control, lower panel). (B) Immunoblots of EC‐derived exosomes for LOXL2 (upper panel), & beta‐actin (loading control, lower panel). (C) Densitometric quantification of relative LOXL2 protein abundance in control & hypoxic EC‐derived exosomes (n = 4 ± SD, Student's t‐test; **P < 0.01). (D) Immunoblots of sucrose density gradient samples of EC‐derived exosomes for LOXL2 (upper panel) & exosome‐marker Flotillin‐1 (lower panel). Image collected & cropped by CiteAb from the following publication (https://pubmed.ncbi.nlm.nih.gov/26612622), licensed under a CC-BY license. Not internally tested by Novus Biologicals.
Immunocytochemistry/ Immunofluorescence: HIF-1 alpha Antibody - BSA Free [NB100-134] -
Immunocytochemistry/ Immunofluorescence: HIF-1 alpha Antibody - BSA Free [NB100-134] - Hif1 alpha expression in 9.5dpc primordial germ cells.(A) Whole-mount staining of Hif1 alpha & GFP in Oct4-GFP embryo (lateral view). Scale bar: 100μm. (B) Hif1 alpha & GFP staining of FACS-sorted PGCs. Scale bar: 20μm. Image collected & cropped by CiteAb from the following publication (https://pubmed.ncbi.nlm.nih.gov/27148974), licensed under a CC-BY license. Not internally tested by Novus Biologicals.
Western Blot: HIF-1 alpha Antibody - BSA Free [NB100-134] -
Western Blot: HIF-1 alpha Antibody - BSA Free [NB100-134] - Hypoxic setup for larval zebrafish. (A) (1) oxygen regulator; (2) hypoxic larval aquarium; (3) oxygen electrode; (4) air stone; & (5) solenoid valve. The compressed nitrogen source is shown as a blue gas cylinder. (B) Dissolved oxygen in the hypoxic aquarium decreased slowly over time as nitrogen perfusion increased until dissolved oxygen stabilized at 3.5 mg/L. (C) qRT-PCR analysis showing that hif1 alpha mRNA expression was significantly increased under hypoxia. (D) Western blot of Hif1 alpha protein expression showing that hypoxia enhanced Mbp protein translation. ∗P < 0.05; ∗∗P < 0.01; ∗∗∗P < 0.001. Image collected & cropped by CiteAb from the following publication (https://pubmed.ncbi.nlm.nih.gov/30337858), licensed under a CC-BY license. Not internally tested by Novus Biologicals.
Western Blot: HIF-1 alpha Antibody - BSA Free [NB100-134] -
Western Blot: HIF-1 alpha Antibody - BSA Free [NB100-134] - P53 was increased response to IR in the fetal brain.Even though no significant change in protein level, total p53 & phosphorylation of P53 at ser15 were increased compared with HIF-1 alpha in fetal brains response to IR. Numbers in the pictures show the average of three independent experiments (n = 3 from 3 individual pregnant mice). Image collected & cropped by CiteAb from the following publication (https://dx.plos.org/10.1371/journal.pone.0110577), licensed under a CC-BY license. Not internally tested by Novus Biologicals.
Immunocytochemistry/ Immunofluorescence: HIF-1 alpha Antibody - BSA Free [NB100-134] -
Immunocytochemistry/ Immunofluorescence: HIF-1 alpha Antibody - BSA Free [NB100-134] - Hif1 alpha expression in 15.5dpc germ cells.(A) Sections of male (top) & female (bottom) gonads from 15.5 dpc Oct4-GFP embryos showing Oct4-GFP & Hif1 alpha expressions in germ cells. Scale bars: 50μm (male) & 20μm (female). (B) FACS-sorted male (top) & female (bottom) 15.5dpc germ cells showing Oct4-GFP & Hif1 alpha expressions. Scale bars: 100μm (male) & 50μm (female). Image collected & cropped by CiteAb from the following publication (https://pubmed.ncbi.nlm.nih.gov/27148974), licensed under a CC-BY license. Not internally tested by Novus Biologicals.
Immunocytochemistry/ Immunofluorescence: HIF-1 alpha Antibody - BSA Free [NB100-134] -
Immunocytochemistry/ Immunofluorescence: HIF-1 alpha Antibody - BSA Free [NB100-134] - Hif1 alpha expression in preimplantation embryos.(A) Hif1 alpha staining in two-cell stage embryo & morula (top) & negative control images without primary antibody (bottom). (B) Co-staining of OCT4 & Hif1 alpha in inner cell mass of blastocyst (top) & negative control images without primary antibodies (bottom). Scale bar: 30μm. Image collected & cropped by CiteAb from the following publication (https://pubmed.ncbi.nlm.nih.gov/27148974), licensed under a CC-BY license. Not internally tested by Novus Biologicals.
Western Blot: HIF-1 alpha Antibody - BSA Free [NB100-134] -
Western Blot: HIF-1 alpha Antibody - BSA Free [NB100-134] - HIF-1 alpha binds to TIM-3 promoter & regulates its expression in primary glia.(a) Cell surface expression of TIM-3 analysed in BV2 cells under 20% O2 or 1% O2 for 24 h by flow cytometry using PE-conjugated anti-TIM-3 antibody. Results from 3 independent experiments presented as a representative histogram & the mean fold change (± s.d.) relative to normoxic sample. (b) Mouse primary mixed glial cells incubated under hypoxia or normoxia for 24 h, & the cells examined by immunocytochemistry using an anti-TIM-3 antibody. (c,d) Mouse primary mixed glial cells & primary neuronal cells incubated under hypoxia or normoxia for 24 h, & then RT–PCR used to detect the levels of TIM-3 & actin. Relative transcript levels shown as the mean fold change (± s.d.) from 3 independent experiments (NS, not significant, Student–Newman–Keuls test). (e) Primary mixed glial cells incubated under hypoxia or normoxia for 24 h, & chromatin immunoprecipitation (ChIP) performed w/ anti-HIF-1 alpha or control IgG. Results presented as relative amounts representative of 3 independent experiments. (f) Primary mixed glial cells cultured from HIF-1 alpha+f/+f mice, infected w/ Ad-GFP or Ad-Cre/GFP, transfected w/ TIM-3-luciferase reporter constructs & incubated under hypoxic or normoxic conditions for 24 h. Relative promoter activity is expressed as the ratio of luciferase activity/ beta-galactosidase activity. (g,h) RT–PCR (g) & WB analysis (h) performed under hypoxia or normoxia for 24 h using the indicated primers & antibodies, respectively. The data shown representative of at least 3 independent experiments. The graphs show the % changes in TIM-3 transcript & protein levels in Ad-Cre/GFP- versus Ad-GFP-infected cells under hypoxia. IP, immunoprecipitation. Image collected & cropped by CiteAb from the following publication (https://pubmed.ncbi.nlm.nih.gov/25790768), licensed under a CC-BY license. Not internally tested by Novus Biologicals.
Western Blot: HIF-1 alpha Antibody - BSA Free [NB100-134] -
Western Blot: HIF-1 alpha Antibody - BSA Free [NB100-134] - TIM-3 is highly expressed in hypoxic brain regions of a H/I mouse model.(a) TIM-3 transcript levels were examined in brain tissues from the contralateral cortex (C, boxed region) & ischaemic ipsilateral cortex (I, boxed region) of mouse model 24 h after H/I. The RT–PCR products were quantified with Image J & normalized with respect to the expression of actin. The HIF-1 alpha transcript level represents a positive control for hypoxia. The right panel shows representative TTC staining of three brain sections from the H/I mice. (b) Representative western blot analyses of the TIM-3 & HIF-1 alpha proteins (n=3). Relative levels of TIM-3 are shown as the mean±s.d. from three independent experiments. (c) Contralateral & ipsilateral cortical regions of coronal sections from the H/I mice were subjected to immunohistochemistry using an anti-TIM-3 antibody, & the number of TIM-3-expressing cells per mm2 was counted. (d) Immunohistochemistry was performed on brain sections from the H/I mice using anti-TIM-3 & hypoxyprobe-1 (red, to detect hypoxic regions). Scale bars, 50 μm ( × 20); 50 μm ( × 40). (e,f) Brain cells were isolated from the ipsilateral & contralateral hemispheres of three mice per group, processed for simultaneous detection of TIM-3 plus Iba-1 (e) or GFAP (f), & analysed by FACS. The results are presented as relative TIM-3 levels in the indicated gated populations, as determined from three independent experiments. Image collected & cropped by CiteAb from the following publication (https://pubmed.ncbi.nlm.nih.gov/25790768), licensed under a CC-BY license. Not internally tested by Novus Biologicals.
Western Blot: HIF-1 alpha Antibody - BSA Free [NB100-134] -
Western Blot: HIF-1 alpha Antibody - BSA Free [NB100-134] - Hypoxia & HIF-1 trigger CREB activity.a Knocking down CREB with siRNA abolishes the effect of hypoxia on endogenous rat Gh transcription in GH3 cells as determined by real-time RT-PCR. Immunoblot shows the knockdown efficacy of the CREB siRNA (b) effect of hypoxia (1% O2 for 18 h) on CRE induced luciferase activity. Transfection with 100 nM HIF-1 alpha siRNA for 48 h abolished the effect of hypoxia. Luc/ betaGal: luciferase: beta-galactosidase ratio. Data are means ± SEM of three experiments & expressed as percentage of each normoxia control. *P < 0.05 (Student’s t test). c Effect of HIF-1 alpha overexpression on CRE luciferase activity. Data are means ± SEM of three experiments & expressed as percentage of mock control. *P < 0.05 (Student’s t test). d Chromatin immunoprecipitation showing increased CREB binding to the endogenous rat Pou1f1 (encoding for Pit-1) promoter in GH3 cells overexpressing HIF-1 alpha. Rabbit IgG was used as a control. Data are arbitrary units from two independent experiments, presented as% of input. **P < 0.01 (Student’s t test). e Immunoblot showing that HIF-1 alpha overexpression increases basal & forskolin (5 µM, 1–6 h)-induced pCREB-Ser133 levels. It also shows that forskolin-induced pCREB-Ser133 remains elevated in HIF-1 alpha overexpressing GH3 cells, while it is back to basal after 6 h in the mock plasmid control transfected cells. f Hypoxia fails to increase rat Gh transcription in GH cells overexpressing CREB-M1 (CREBS133A) a mutant that cannot be phosphorylated by PKA. Data are Gh/TfIIb & presented as fold increase to each normoxia (NX). *P < 0.05 to each normoxia (Student’s t test). Image collected & cropped by CiteAb from the following publication (https://pubmed.ncbi.nlm.nih.gov/32111982), licensed under a CC-BY license. Not internally tested by Novus Biologicals.
Western Blot: HIF-1 alpha Antibody - BSA Free [NB100-134] -
Western Blot: HIF-1 alpha Antibody - BSA Free [NB100-134] - TIM-3 is highly expressed in hypoxic brain regions of a H/I mouse model.(a) TIM-3 transcript levels were examined in brain tissues from the contralateral cortex (C, boxed region) & ischaemic ipsilateral cortex (I, boxed region) of mouse model 24 h after H/I. The RT–PCR products were quantified with Image J & normalized with respect to the expression of actin. The HIF-1 alpha transcript level represents a positive control for hypoxia. The right panel shows representative TTC staining of three brain sections from the H/I mice. (b) Representative western blot analyses of the TIM-3 & HIF-1 alpha proteins (n=3). Relative levels of TIM-3 are shown as the mean±s.d. from three independent experiments. (c) Contralateral & ipsilateral cortical regions of coronal sections from the H/I mice were subjected to immunohistochemistry using an anti-TIM-3 antibody, & the number of TIM-3-expressing cells per mm2 was counted. (d) Immunohistochemistry was performed on brain sections from the H/I mice using anti-TIM-3 & hypoxyprobe-1 (red, to detect hypoxic regions). Scale bars, 50 μm ( × 20); 50 μm ( × 40). (e,f) Brain cells were isolated from the ipsilateral & contralateral hemispheres of three mice per group, processed for simultaneous detection of TIM-3 plus Iba-1 (e) or GFAP (f), & analysed by FACS. The results are presented as relative TIM-3 levels in the indicated gated populations, as determined from three independent experiments. Image collected & cropped by CiteAb from the following publication (https://pubmed.ncbi.nlm.nih.gov/25790768), licensed under a CC-BY license. Not internally tested by Novus Biologicals.
Immunocytochemistry/ Immunofluorescence: HIF-1 alpha Antibody - BSA Free [NB100-134] -
Immunocytochemistry/ Immunofluorescence: HIF-1 alpha Antibody - BSA Free [NB100-134] - Hif1 alpha expression in neonatal & adult testis.(A) Section of testis from 5-day old (P5) male new born pups showing Hif1 alpha expression in MVH+ gonocytes within the seminiferous tubules (top) & negative control images without primary antibodies (bottom). Scale bar: 50μm. (B) Western blot analysis of Hif1 alpha expression in P5 testes (left) compared to extract of the adult brain sub-ventricular zone (SVZ) (right). Loading control ( beta-Actin) is shown below. (C) Section of adult (3 month old) testis showing Hif1 alpha expression in spermatogonia. Scale bar: 30μm. (D) Western blot analysis of whole adult testis. HEK293 cells treated with DFX were used as a positive control & intestinal tissue was used as a negative control. Loading control ( beta-Actin) is shown below. Image collected & cropped by CiteAb from the following publication (https://pubmed.ncbi.nlm.nih.gov/27148974), licensed under a CC-BY license. Not internally tested by Novus Biologicals.
Immunocytochemistry/ Immunofluorescence: HIF-1 alpha Antibody - BSA Free [NB100-134] -
Immunocytochemistry/ Immunofluorescence: HIF-1 alpha Antibody - BSA Free [NB100-134] - HIF-1 alpha levels are increased by androgen stimulus & Tip60 overexpression in LNCaP cells. (A) Nuclear & (B) cytosolic HIF-1 alpha levels & (C) images in LNCaP cells & in LNCaP cells overexpressing Tip60, in the absence or presence of androgen (10 nM R1881, 72 h). HIF-1 alpha levels were detected by immunofluorescence using confocal imaging system. Images were acquired with 20x objective. Staining intensity levels in the nucleus & cytosolic region were obtained using Harmony software. Nucleus & cytosol were identified through Hoechst & CellMask staining, respectively. Scale is shown as 100 μm. White dotted frames indicate the section of the image that was enlarged. Values are expressed as mean ± SEM, from three independent culture preparations, each treatment performed in quadruplicate. Two-way ANOVA, Bonferroni post-test & p values comparisons are specified in the figures (* p < 0.05). HIF-1 alpha, hypoxia-inducible factor-1 alpha; OE, overexpressing; R1881, synthetic androgen. Image collected & cropped by CiteAb from the following publication (https://pubmed.ncbi.nlm.nih.gov/31671779), licensed under a CC-BY license. Not internally tested by Novus Biologicals.
Chromatin Immunoprecipitation: HIF-1 alpha Antibody - BSA Free [NB100-134] -
Chromatin Immunoprecipitation: HIF-1 alpha Antibody - BSA Free [NB100-134] - HIF-1 alpha binds to TIM-3 promoter & regulates its expression in primary glia.(a) Cell surface expression of TIM-3 analysed in BV2 cells under 20% O2 or 1% O2 for 24 h by flow cytometry using PE-conjugated anti-TIM-3 antibody. Results from 3 independent experiments presented as a representative histogram & the mean fold change (± s.d.) relative to normoxic sample. (b) Mouse primary mixed glial cells incubated under hypoxia or normoxia for 24 h, & the cells examined by immunocytochemistry using an anti-TIM-3 antibody. (c,d) Mouse primary mixed glial cells & primary neuronal cells incubated under hypoxia or normoxia for 24 h, & then RT–PCR used to detect the levels of TIM-3 & actin. Relative transcript levels shown as the mean fold change (± s.d.) from 3 independent experiments (NS, not significant, Student–Newman–Keuls test). (e) Primary mixed glial cells incubated under hypoxia or normoxia for 24 h, & chromatin immunoprecipitation (ChIP) performed w/ anti-HIF-1 alpha or control IgG. Results presented as relative amounts representative of 3 independent experiments. (f) Primary mixed glial cells cultured from HIF-1 alpha+f/+f mice, infected w/ Ad-GFP or Ad-Cre/GFP, transfected w/ TIM-3-luciferase reporter constructs & incubated under hypoxic or normoxic conditions for 24 h. Relative promoter activity is expressed as the ratio of luciferase activity/ beta-galactosidase activity. (g,h) RT–PCR (g) & WB analysis (h) performed under hypoxia or normoxia for 24 h using the indicated primers & antibodies, respectively. data shown representative of at least 3 independent experiments. The graphs show the % changes in TIM-3 transcript & protein levels in Ad-Cre/GFP- versus Ad-GFP-infected cells under hypoxia. IP, immunoprecipitation. Image collected & cropped by CiteAb from the following publication (https://pubmed.ncbi.nlm.nih.gov/25790768), licensed under a CC-BY license. Not internally tested by Novus Biologicals.
Immunocytochemistry/ Immunofluorescence: HIF-1 alpha Antibody - BSA Free [NB100-134] -
Immunocytochemistry/ Immunofluorescence: HIF-1 alpha Antibody - BSA Free [NB100-134] - NgBR overexpression (OE) suppresses cell proliferation through enhancing mitochondria-ER communication & reducing phosphorylation of IP3R3. (A) The transfection efficiency of NgBR OE plasmid was verified at 48 h post transfection. n = 3 (B) Representative images from three experiments show phosphorylation of endogenous IP3R3 (Akt substrate) in the immunoprecipitates of IP3R3 from crude mitochondrial extracts. (C) Representative confocal microscopy images show co-staining of Rhod-2 AM (red) & MitoTracker Green (green). Results were calculated as relative AFU using ImageJ. n = 20 pictures/group from four independent experiments. Scale bar = 20 µm. (D) Representative line & bar graphs of OCR of control & NgBR OE cells under normoxia. n = 15–16 wells from three individual experiments. (E) Representative confocal microscopy images showing staining of HIF-1 alpha (red) & DAPI (nuclear stain; blue). Percentage of HIF-1 alpha-positive nuclei was calculated using FV10-ASW3.1 software. n > 25 pictures/group from three separate experiments. Scale bar = 40 µm. (F) Cell proliferation was assessed by evaluating PCNA expression, n = 4. * p < 0.05, ** p < 0.01. Image collected & cropped by CiteAb from the following publication (https://pubmed.ncbi.nlm.nih.gov/31083380), licensed under a CC-BY license. Not internally tested by Novus Biologicals.
Immunohistochemistry: HIF-1 alpha Antibody - BSA Free [NB100-134] -
Immunohistochemistry: HIF-1 alpha Antibody - BSA Free [NB100-134] - E2 enhances neutrophil apoptosis through suppressing the expression of hif1 alpha & c-myb under physiological conditions.A E2 decreased neutrophils in AB zebrafish embryos. (t-test, ***p < 0.001, n > 20). B May–Grunwald–Giemsa staining of whole KM blood cells in 6-month-old AB zebrafish after 4 days of E2 treatment (t-test, ***p < 0.001, n = 12). Red arrowheads, blue asterisks, black arrowheads & yellow lightning indicates neutrophils, precursors, lymphocytes & macrophages, respectively. C Staining of hif1 alpha with antibody with or without E2 treatment. D E2 exposure decreased c-myb in the CHT, as determined by WISH. E qPCR quantification of decreased c-myb expression in lyz:Dsred+ cells by E2 (t-test, mean ± SEM. ***p < 0.001, **p < 0.01, *p < 0.05, n > 20). F Effect of E2 on neutrophil proliferation in AB zebrafish embryos. (one-way ANOVA (LSD). ns, no significance, n > 10). G E2 promotes the apoptosis of myeloid lineage cells in AB zebrafish embryos (one-way ANOVA (LSD) **p < 0.01. n > 10). Image collected & cropped by CiteAb from the following publication (https://pubmed.ncbi.nlm.nih.gov/35842445), licensed under a CC-BY license. Not internally tested by Novus Biologicals.
Western Blot: HIF-1 alpha Antibody - BSA Free [NB100-134] -
Western Blot: HIF-1 alpha Antibody - BSA Free [NB100-134] - IGFBP5 inhibits HIF1 alpha expression through the MAPK-ERK signaling pathwayA. & B. Western blots using specific antibodies for the phosphorylation state of IGF1R, ERK1/2, & p38-MAPK from A375 IGFBP5 OE & control cells. Phosphorylation of IGF1R, ERK1/2, & p38-MAPK was decreased in A375 cells transfected with IGFBP5. GAPDH was used as a loading control. C. Overexpression of IGFBP5 inhibited HIF1 alpha expression visualized by western blots of A375 cells. The arrow points to the band of HIF1 alpha. D. Assessment of the reduced gene expression levels of VEGFA & MMP9, downstream genes regulated by HIF1 alpha, in A375 IGFBP5 OE compared to control cells by qRT-PCR analysis. Data were shown for the mean ± SD form three independent experiments. P values based on two-side Student t-test comparing A375 IGFBP5 OE tumor cells & vector control cells. *, P < 0.05. Image collected & cropped by CiteAb from the following publication (https://pubmed.ncbi.nlm.nih.gov/26010068), licensed under a CC-BY license. Not internally tested by Novus Biologicals.
Western Blot: HIF-1 alpha Antibody - BSA Free [NB100-134] -
Western Blot: HIF-1 alpha Antibody - BSA Free [NB100-134] - WNT11 regulates MMPs activities.(A–C) (Top panels): Serum-free medium was conditioned for 24 hrs by the indicated cells, concentrated 20-fold & assayed by gelatin zymography. Gelatinolytic activity is indicated by clear zones against a dark background of stained substrate. (Bottom): Whole cell extracts were immunoblotted with indicated antibodies. (A) Overexpression of Wnt11 in EMSC or BT473 cells enhances activity of MMP-9 & MMP-2. (B) Impaired activity of MMP-9 & MMP-2 in MDA-MB-231 cells (left) or EMSCs (right) stably expressing Wnt11 shRNAs & treated with DMOG. (C) WNT11 is required for MMP-9 & MMP-2 activity in MDA-MB-231 cells (left) or EMSCs (right) under normoxic & hypoxic culture conditions. (D) WNT11 regulates MMP2 protein in media. (Top): conditioned media from indicated cells & treatments. (Bottom): whole cell lysates were immunoblotted with indicated antibodies. (E) Recombinant WNT11 induces both MMP-2 protein & MMP-2 activity in media. (Top panels): Gelatin zymography & immunoblot of serum-free medium conditioned for the indicated times after recombinant WNT11 (r-WNT11) treatment. (Bottom): Whole cell lysates were immunoblotted with indicated antibodies. (F) MMP-2 inhibitor attenuated induced migration by WNT11. MDA-MB-231 cells infected with lentiviruses for stable expression of Wnt11 or GFP (n = 4) were incubated with either vehicle or 1 μM of ARP100. Media in the lower compartment had same concentration of DMSO or inhibitor. Values are mean ± s.e.m. *p < 0.05, **p < 0.01. For panels (A–D), HIF-1 alpha & HIF-2 alpha were shown as a marker of hypoxia, WNT11 normalized to alpha-Tubulin was shown. Image collected & cropped by CiteAb from the following publication (https://www.nature.com/articles/srep21520), licensed under a CC-BY license. Not internally tested by Novus Biologicals.
Western Blot: HIF-1 alpha Antibody - BSA Free [NB100-134] -
Western Blot: HIF-1 alpha Antibody - BSA Free [NB100-134] - ER-INP binds to PHD2, inhibits hydroxylation of HIF-1 alpha & increases HIF-1 alpha accumulation. (A) Co-immunoprecipitation assay. HEK293 cells were transfected with control vector or intrabody ER-INP for 48 hours & subsequently lysed. Co-immunoprecipitation & western blot assays were performed on the cell lysis. ER-INP recognized & bound to PHD2 in HEK293 cells (n = 3). (B) Western blot analysis to measure the effect of ER-INP on HIF-1 alpha & its hydroxylation level in transfected HEK293 & RAW264.7 cells pre-treated with MG132 (upper panel) & the protein ratio to beta-actin loading control by ImageJ densitometry analysis (lower panel; n = 3). (C) Immunofluorescence assay. Expression of ER-INP increases HIF-1 alpha accumulation in RAW264.7 cells. Cells were stained with anti-HIF-1 alpha antibody & DAPI & then visualized & photographed under immunofluorescence microscopy (left), & mean fluorescence intensity of HIF-1 alpha versus the mean fluorescence intensity of nuclear DAPI staining is displayed (right). Data represent the mean ± SD of 3 independent slides. Image collected & cropped by CiteAb from the following publication (https://pubmed.ncbi.nlm.nih.gov/31413262), licensed under a CC-BY license. Not internally tested by Novus Biologicals.
Western Blot: HIF-1 alpha Antibody - BSA Free [NB100-134] -
Western Blot: HIF-1 alpha Antibody - BSA Free [NB100-134] - HIF-1 alpha binds to TIM-3 promoter & regulates its expression in primary glia.(a) Cell surface expression of TIM-3 analysed in BV2 cells under 20% O2 or 1% O2 for 24 h by flow cytometry using PE-conjugated anti-TIM-3 antibody. Results from 3 independent experiments presented as a representative histogram & the mean fold change (± s.d.) relative to normoxic sample. (b) Mouse primary mixed glial cells incubated under hypoxia or normoxia for 24 h, & the cells examined by immunocytochemistry using an anti-TIM-3 antibody. (c,d) Mouse primary mixed glial cells & primary neuronal cells incubated under hypoxia or normoxia for 24 h, & then RT–PCR used to detect the levels of TIM-3 & actin. Relative transcript levels shown as the mean fold change (± s.d.) from 3 independent experiments (NS, not significant, Student–Newman–Keuls test). (e) Primary mixed glial cells incubated under hypoxia or normoxia for 24 h, & chromatin immunoprecipitation (ChIP) performed w/ anti-HIF-1 alpha or control IgG. Results presented as relative amounts representative of 3 independent experiments. (f) Primary mixed glial cells cultured from HIF-1 alpha+f/+f mice, infected w/ Ad-GFP or Ad-Cre/GFP, transfected w/ TIM-3-luciferase reporter constructs & incubated under hypoxic or normoxic conditions for 24 h. Relative promoter activity is expressed as the ratio of luciferase activity/ beta-galactosidase activity. (g,h) RT–PCR (g) & WB analysis (h) performed under hypoxia or normoxia for 24 h using the indicated primers & antibodies, respectively. The data shown representative of at least 3 independent experiments. The graphs show the % changes in TIM-3 transcript & protein levels in Ad-Cre/GFP- versus Ad-GFP-infected cells under hypoxia. IP, immunoprecipitation. Image collected & cropped by CiteAb from the following publication (https://pubmed.ncbi.nlm.nih.gov/25790768), licensed under a CC-BY license. Not internally tested by Novus Biologicals.
Western Blot: HIF-1 alpha Antibody - BSA Free [NB100-134] -
Western Blot: HIF-1 alpha Antibody - BSA Free [NB100-134] - Regulation of catabolic genes by HIF-1 alpha. (A) Protein levels of Hif1a, & mRNA levels of Mmp13, & Hif2a in WT mouse primary chondrocytes transduced with GFP or HIF1A adenoviral vectors under the hypoxic condition (3% O2). GFP or HIF1A was transduced at a multiplicity of infection (MOI) of 100. The cells were treated with or without 10 ng/mL IL-1 beta for 2 days. Bars show the mean ± SD of three samples per group. *P < 0.05. (B) Protein levels of Hif1a, & mRNA levels of Mmp13, & Hif2a in WT mouse primary chondrocytes transfected with siRNA against GFP or Hif1a under the hypoxic condition. The cells were treated with or without 10 ng/mL IL-1 beta for 2 days. Bars show the mean ± SD of three samples per group. *P < 0.05. (C) Protein levels of Hif1a, & mRNA levels of Mmp13, & Hif2a in Hif1afl/fl primary chondrocytes transduced with GFP or Cre adenoviral vectors under the hypoxic condition. GFP or Cre was transduced at a MOI of 100. The cells were treated with or without 10 ng/mL IL-1 beta for 2 days. Bars show the mean ± SD of three samples per group. *P < 0.05. Image collected & cropped by CiteAb from the following publication (https://pubmed.ncbi.nlm.nih.gov/32214220), licensed under a CC-BY license. Not internally tested by Novus Biologicals.
Western Blot: HIF-1 alpha Antibody - BSA Free [NB100-134] -
Western Blot: HIF-1 alpha Antibody - BSA Free [NB100-134] - NSCs Reduce Succinate Levels & Reprogram the Metabolism of Type 1 Pro-inflammatory Mφ toward Oxidative Phosphorylation In Vitro(A) Experimental setup for in vitro MφLPS co-cultures with iNSCs/NSCs.(B & C) Gene expression microarrays of MφLPS-iNSCs/NSCs. (B) Venn diagram of differentially expressed genes (adjusted p value < 0.1). (C) Heatmap of genes differentially expressed (adjusted p value < 0.1) in MφLPS-iNSCs or MφLPS-NSCs.(D & E) qRT-PCR independent validation of differentially expressed inflammatory genes as in (C). (D) Expression of genes related to type 1 inflammatory (E) & anti-inflammatory Mφ phenotypes relative to Actb. Data are mean fold change (±SEM) versus MφLPS from n ≥ 3 independent replicates per condition.(F) qRT-PCR of BV2LPS-iNSCs/NSCs (±SEM) from n ≥ 3 independent experiments per condition. BV2 & BV2LPS are shown as controls.(G & H) Extracellular flux (XF) assay of the oxygen consumption rate (OCR) (G) & extracellular acidification rate (ECAR) (H) in MφLPS-iNSCs/NSCs. Data were normalized on total protein content & are expressed as mean values (±SEM) from n ≥ 3 independent experiments per condition.(I & J) Levels of significantly changed extracellular (EXTRA_Metab, I) & intracellular (INTRA_Metab, J) metabolites in MφLPS versus Mφ at 25 hr. Data are mean a.u. (±SEM) from n ≥ 2 independent experiments per condition.(K & L) Hif-1 alpha (K), PKM2 (K), & IL-1 beta (L) expression levels relative to beta-actin. Data are mean fold change versus MφLPS (±SEM) from n ≥ 3 independent experiments per condition.∗p ≤ 0.05 & ∗∗p ≤ 0.01 versus MφLPS. See also Tables S2 & S3. Image collected & cropped by CiteAb from the following publication (https://pubmed.ncbi.nlm.nih.gov/29478844), licensed under a CC-BY license. Not internally tested by Novus Biologicals.
Western Blot: HIF-1 alpha Antibody - BSA Free [NB100-134] -
Western Blot: HIF-1 alpha Antibody - BSA Free [NB100-134] - Enhanced expression of hypoxia-induced survival factors & angiogenic growth factors in hASC L-spheroids.(A) The light source used was LED (660 nm) designed to fit over a microplate (12.5 × 8.5 cm) for cell culture. (B) Formation of hASC L-spheroids. hASCs morphology on non–tissue culture–treated 24-well plates at day 3. Scale bar = 500 μm. (C) Western blot analysis & quantification of HIF1-alpha in hASCs cultured as spheroids, L-spheroids & monolayers (*p < 0.01, compared to the L-spheroid group). (D) Angiogenesis-related protein analysis of L-spheroids (*, p < 0.05, compared to the spheroid group, t-test, n = 3 in each group). (E) ELISA measurement of spheroids cultured for 3 days. Concentrations of VEGF are presented as pg-corrected for 104 cells. (*, p < 0.05, compared with spheroid 6J/cm2 group, t-test, n = 3 in each group). Image collected & cropped by CiteAb from the following publication (https://pubmed.ncbi.nlm.nih.gov/26065900), licensed under a CC-BY license. Not internally tested by Novus Biologicals.