Skip to main content

Hemogen Antibody - BSA Free

Novus Biologicals, part of Bio-Techne | Catalog # NBP3-46129

Novus Biologicals, part of Bio-Techne
Catalog #
Availability
Size / Price
Qty
Loading...
NBP3-46129

Key Product Details

Species Reactivity

Human

Applications

Immunohistochemistry, Western Blot, ELISA

Label

Unconjugated

Antibody Source

Polyclonal Rabbit IgG

Format

BSA Free

Concentration

Please see the vial label for concentration. If unlisted please contact technical services.

Product Specifications

Immunogen

hemogen. (Uniprot# Q9BXL5)

Clonality

Polyclonal

Host

Rabbit

Isotype

IgG

Theoretical MW

60 kDa.
Disclaimer note: The observed molecular weight of the protein may vary from the listed predicted molecular weight due to post translational modifications, post translation cleavages, relative charges, and other experimental factors.

Description

Novus Biologicals Rabbit Hemogen Antibody - BSA Free (NBP3-46129) is a polyclonal antibody validated for use in IHC, WB and ELISA. All Novus Biologicals antibodies are covered by our 100% guarantee.

Scientific Data Images for Hemogen Antibody - BSA Free

Hemogen Antibody - BSA Free

Western Blot: Hemogen Antibody - BSA Free [NBP3-46129] -

Western Blot: Hemogen Antibody - BSA Free [NBP3-46129] - Jurkat cells were subjected to SDS PAGE followed by western blot with (Hemogen antibody) at dilution of 1:500
Hemogen Antibody - BSA Free

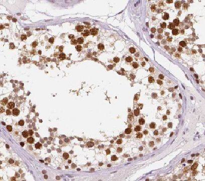
Immunohistochemistry: Hemogen Antibody - BSA Free [NBP3-46129] -

Immunohistochemistry: Hemogen Antibody - BSA Free [NBP3-46129] - Immunohistochemistry of paraffin-embedded human testis using (Hemogen antibody) at dilution of 1:100

Applications for Hemogen Antibody - BSA Free

Application
Recommended Usage

Immunohistochemistry

1:20-1:200

Western Blot

1:500-1:2000

Formulation, Preparation, and Storage

Purification

Immunogen affinity purified

Formulation

PBS, 50% Glycerol, pH (7.3)

Format

BSA Free

Preservative

0.02% Sodium Azide

Concentration

Please see the vial label for concentration. If unlisted please contact technical services.

Shipping

The product is shipped with polar packs. Upon receipt, store it immediately at the temperature recommended below.

Stability & Storage

Store at -20C. Avoid freeze-thaw cycles.

Background: Hemogen

Regulates the proliferation and differentiation of hematopoietic cells. Overexpression block the TPA-induced megakaryocytic differentiation in the K562 cell model. May also prevent cell apoptosis through the activation of the nuclear factor-kappa B (NF-kB)

Alternate Names

EDAGEDAG-1, Erythroid differentiation-associated gene protein, hemogen, Hemopoietic gene protein, NDR, Negative differentiation regulator protein

Gene Symbol

HEMGN

Additional Hemogen Products

Product Documents for Hemogen Antibody - BSA Free

Certificate of Analysis

To download a Certificate of Analysis, please enter a lot number in the search box below.

Product Specific Notices for Hemogen Antibody - BSA Free

This product is for research use only and is not approved for use in humans or in clinical diagnosis. Primary Antibodies are guaranteed for 1 year from date of receipt.

Loading...
Loading...
Loading...
Loading...