Skip to main content

HDGF Antibody - BSA Free

Novus Biologicals, part of Bio-Techne | Catalog # NBP2-38701

Novus Biologicals, part of Bio-Techne
Catalog #
Availability
Size / Price
Qty
Loading...
NBP2-38701
NBP2-38701-25ul

Key Product Details

Validated by

Independent Antibodies

Species Reactivity

Validated:

Human

Predicted:

Mouse (94%), Rat (96%). Backed by our 100% Guarantee.

Applications

Immunocytochemistry/ Immunofluorescence, Immunohistochemistry, Immunohistochemistry-Paraffin

Label

Unconjugated

Antibody Source

Polyclonal Rabbit IgG

Format

BSA Free

Concentration

Concentrations vary lot to lot. See vial label for concentration. If unlisted please contact technical services.

Product Specifications

Immunogen

This antibody was developed against a recombinant protein corresponding to amino acids: GDGDKKGNAEGSSDEEGKLVIDEPAKEKNEKGALKRRAGDLLEDSPKRPK

Reactivity Notes

Immunogen displays the following percentage of sequence identity for non-tested species: Rat (82%)

Clonality

Polyclonal

Host

Rabbit

Isotype

IgG

Description

Novus Biologicals Rabbit HDGF Antibody - BSA Free (NBP2-38701) is a polyclonal antibody validated for use in IHC and ICC/IF. All Novus Biologicals antibodies are covered by our 100% guarantee.

Scientific Data Images for HDGF Antibody - BSA Free

Immunocytochemistry/ Immunofluorescence: HDGF Antibody [NBP2-38701]

Immunocytochemistry/ Immunofluorescence: HDGF Antibody [NBP2-38701]

Immunocytochemistry/Immunofluorescence: HDGF Antibody [NBP2-38701] - Immunofluorescent staining of human cell line U-2 OS shows localization to nucleoplasm.
Immunohistochemistry-Paraffin: HDGF Antibody [NBP2-38701]

Immunohistochemistry-Paraffin: HDGF Antibody [NBP2-38701]

Immunohistochemistry-Paraffin: HDGF Antibody [NBP2-38701] - Staining of human liver.
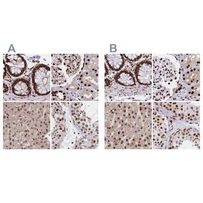
Immunohistochemistry: HDGF Antibody [NBP2-38701]

Immunohistochemistry: HDGF Antibody [NBP2-38701]

Immunohistochemistry: HDGF Antibody [NBP2-38701] - Staining of human colon shows nuclear positivity.

Applications for HDGF Antibody - BSA Free

Application
Recommended Usage

Immunocytochemistry/ Immunofluorescence

0.25-2 ug/ml

Immunohistochemistry

1:500 - 1:1000

Immunohistochemistry-Paraffin

1:500 - 1:1000
Application Notes
For IHC-Paraffin, HIER pH 6 retrieval is recommended. Immunocytochemistry/Immunofluorescence Fixation Permeabilization: Use PFA/Triton X-100.

Formulation, Preparation, and Storage

Purification

Immunogen affinity purified

Formulation

PBS (pH 7.2) and 40% Glycerol

Format

BSA Free

Preservative

0.02% Sodium Azide

Concentration

Concentrations vary lot to lot. See vial label for concentration. If unlisted please contact technical services.

Shipping

The product is shipped with polar packs. Upon receipt, store it immediately at the temperature recommended below.

Stability & Storage

Store at 4C short term. Aliquot and store at -20C long term. Avoid freeze-thaw cycles.

Background: HDGF

The HDGF gene encodes a member of the hepatoma-derived growth factor family. The encoded protein has mitogenic andDNA-binding activity and may play a role in cellular proliferation and differentiation. This gene was thoughtinitially to be located on chromosom

Long Name

Hepatoma-derived Growth Factor

Alternate Names

HuHGF

Gene Symbol

HDGF

UniProt

Additional HDGF Products

Product Documents for HDGF Antibody - BSA Free

Certificate of Analysis

To download a Certificate of Analysis, please enter a lot number in the search box below.

Product Specific Notices for HDGF Antibody - BSA Free

This product is for research use only and is not approved for use in humans or in clinical diagnosis. Primary Antibodies are guaranteed for 1 year from date of receipt.

Loading...
Loading...
Loading...
Loading...