Skip to main content

HDGF Antibody

Novus Biologicals, part of Bio-Techne | Catalog # NBP1-71926

Novus Biologicals, part of Bio-Techne
Catalog #
Availability
Size / Price
Qty
Loading...
NBP1-71926

Key Product Details

Validated by

Independent Antibodies, Biological Validation

Species Reactivity

Human, Mouse

Applications

Immunohistochemistry, Immunohistochemistry-Paraffin, Western Blot, Immunoprecipitation

Label

Unconjugated

Antibody Source

Polyclonal Rabbit IgG

Concentration

0.2 mg/ml

Product Specifications

Immunogen

The immunogen for this product maps to a region between residue 200 and 240 of human Hepatoma-Derived Growth Factor using the numbering given in entry NP_004485.1 (GeneID 3068).

Clonality

Polyclonal

Host

Rabbit

Isotype

IgG

Scientific Data Images for HDGF Antibody

Western Blot: HDGF Antibody [NBP1-71926]

Western Blot: HDGF Antibody [NBP1-71926]

Western Blot: HDGF Antibody [NBP1-71926] - Whole cell lysate from HeLa (15 and 50 mcg for WB; 1 mg for IP, 20% of IP loaded), Jurkat (J; 50 mcg), 293T (T; 50 mcg), and mouse NIH3T3 (M; 50 mcg) cells. Antibodies: Affinity purified rabbit anti-HDGF antibody used for WB at 0.04 mcg/ml (A) and 1 mcg/ml (B) and used for IP at 6 mcg/mg lysate. HDGF was also immunoprecipitated by rabbit anti-HDGF antibodies NBP1-71924 and NBP1-71925, which recognize upstream epitopes.
Immunohistochemistry-Paraffin: HDGF Antibody [NBP1-71926]

Immunohistochemistry-Paraffin: HDGF Antibody [NBP1-71926]

Immunohistochemistry-Paraffin: HDGF Antibody [NBP1-71926] - Samples: FFPE serial sections of human breast carcinoma. Antibody: Affinity purified rabbit anti- HDGF used at a dilution of 1:1,000 (1ug/ml) or 1:200 (1ug/ml). Detection: DAB. Counterstain: Hematoxylin (blue).
Immunohistochemistry-Paraffin: HDGF Antibody [NBP1-71926]

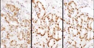
Immunohistochemistry-Paraffin: HDGF Antibody [NBP1-71926]

Immunohistochemistry-Paraffin: HDGF Antibody [NBP1-71926] - Immunohistochemistry-Paraffin: HDGF Antibody [NBP1-71926] - FFPE serial sections of mouse renal cell carcinoma. Antibody: Affinity purified rabbit anti-HDGF left image, middle image and right image used at a dilution of 1: 1,000 (1ug/ml) or 1:200 (1ug/ml). Detection: DAB. Counterstain: Hematoxylin (blue).

Applications for HDGF Antibody

Application
Recommended Usage

Immunohistochemistry

1:1000 - 1:5000

Immunohistochemistry-Paraffin

1:1000- 1:5000

Immunoprecipitation

2 - 10 ug/mg lysate

Western Blot

1:2000-1:10000
Application Notes
Epitope retrieval with citrate buffer pH6.0 is recommended for FFPE tissue sections.

Formulation, Preparation, and Storage

Purification

Immunogen affinity purified

Formulation

TBS and 0.1% BSA

Preservative

0.09% Sodium Azide

Concentration

0.2 mg/ml

Shipping

The product is shipped with polar packs. Upon receipt, store it immediately at the temperature recommended below.

Stability & Storage

Store at 4C. Do not freeze.

Background: HDGF

HDGF is a member of the hepatoma-derived growth factor family. This protein has mitogenic and DNA-binding activity and may play a role in cellular proliferation and differentiation.

Long Name

Hepatoma-derived Growth Factor

Alternate Names

HuHGF

Gene Symbol

HDGF

Additional HDGF Products

Product Documents for HDGF Antibody

Certificate of Analysis

To download a Certificate of Analysis, please enter a lot number in the search box below.

Product Specific Notices for HDGF Antibody

This product is for research use only and is not approved for use in humans or in clinical diagnosis. Primary Antibodies are guaranteed for 1 year from date of receipt.

Loading...
Loading...
Loading...
Loading...