Skip to main content

HDAC9 Antibody - BSA Free

Novus Biologicals, part of Bio-Techne | Catalog # NBP1-83274

Novus Biologicals, part of Bio-Techne
Catalog #
Availability
Size / Price
Qty
Loading...
NBP1-83274
NBP1-83274-25ul

Key Product Details

Species Reactivity

Human

Applications

Immunohistochemistry, Immunohistochemistry-Paraffin, Immunocytochemistry/ Immunofluorescence

Label

Unconjugated

Antibody Source

Polyclonal Rabbit IgG

Format

BSA Free

Concentration

Concentrations vary lot to lot. See vial label for concentration. If unlisted please contact technical services.

Product Specifications

Immunogen

This antibody was developed against Recombinant Protein corresponding to amino acids: SSVSSSSPGSGPSSPNNGPTGSVTENETSVLPPTPHAEQMVSQQRILIHEDSMNLLSLYTSPSLPNITLGLPAVPSQLNASNSLKEKQKCETQTLRQGVPLPGQYGGSIPASSSHPHVTLEGKPPNSSHQALLQHLLLKEQMRQQK

Reactivity Notes

Immunogen displays the following percentage of sequence identity for non-tested species: Mouse (88%), Rat (88%).

Clonality

Polyclonal

Host

Rabbit

Isotype

IgG

Scientific Data Images for HDAC9 Antibody - BSA Free

Immunocytochemistry/ Immunofluorescence: HDAC9 Antibody [NBP1-83274]

Immunocytochemistry/ Immunofluorescence: HDAC9 Antibody [NBP1-83274]

Immunocytochemistry/Immunofluorescence: HDAC9 Antibody [NBP1-83274] - Immunofluorescent staining of human cell line A-431 shows localization to nucleoplasm.
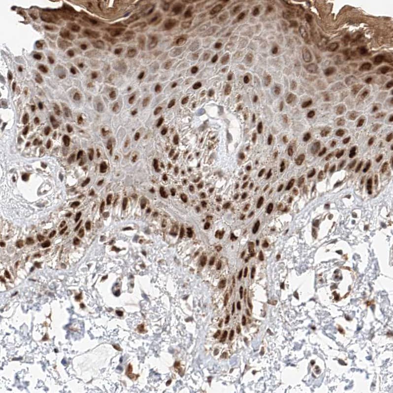
HDAC9 Antibody - BSA Free Immunohistochemistry-Paraffin: HDAC9 Antibody - BSA Free [NBP1-83274]

Immunohistochemistry-Paraffin: HDAC9 Antibody - BSA Free [NBP1-83274]

Staining of human Skin shows moderate nuclear positivity in squamous epithelial cells.
HDAC9 Antibody - BSA Free Immunohistochemistry-Paraffin: HDAC9 Antibody - BSA Free [NBP1-83274]

Immunohistochemistry-Paraffin: HDAC9 Antibody - BSA Free [NBP1-83274]

Staining of human lower Rectum shows strong nuclear positivity in glandular cells.

Applications for HDAC9 Antibody - BSA Free

Application
Recommended Usage

Immunocytochemistry/ Immunofluorescence

0.25-2 ug/ml

Immunohistochemistry

1:50 - 1:200

Immunohistochemistry-Paraffin

1:50 - 1:200
Application Notes
For IHC-Paraffin, HIER pH 6 retrieval is recommended. Immunocytochemistry/Immunofluorescence Fixation Permeabilization: Use PFA/Triton X-100.

Formulation, Preparation, and Storage

Purification

Affinity purified

Formulation

PBS (pH 7.2) and 40% Glycerol

Format

BSA Free

Preservative

0.02% Sodium Azide

Concentration

Concentrations vary lot to lot. See vial label for concentration. If unlisted please contact technical services.

Shipping

The product is shipped with polar packs. Upon receipt, store it immediately at the temperature recommended below.

Stability & Storage

Store at 4C short term. Aliquot and store at -20C long term. Avoid freeze-thaw cycles.

Background: HDAC9

In the intact cell, DNA closely associates with histones and other nuclear proteins to form chromatin. The remodeling of chromatin is believed to be a critical component of transcriptional regulation and a major source of this remodeling is brought about by the acetylation of nucleosomal histones. Acetylation of lysine residues in the amino terminal tail domain of histone results in an allosteric change in the nucleosomal conformation and an increased accessibility to transcription factors by DNA. Conversely, the deacetylation of histones is associated with transcriptional silencing. Several mammalian proteins have been identified as nuclear histone acetylases, including GCN5, PCAF (p300/CBP-associated factor), p300/CBP, HAT1 and the TFIID subunit TAF II p250. Mammalian HDAC8, isolated from human kidney, is a histone deacetylase that shares homology to other HDACs but has different tissue distribution. HDAC8 is localized to the nucleus and plays a role in the development of a broad range of tissues and in the etiology of cancer.

Long Name

Histone deacetylase 9

Alternate Names

HD7b, HD9, HDAC7, HDAC7B, HDRP, KIAA0744, MITR

Gene Symbol

HDAC9

Additional HDAC9 Products

Product Documents for HDAC9 Antibody - BSA Free

Certificate of Analysis

To download a Certificate of Analysis, please enter a lot number in the search box below.

Product Specific Notices for HDAC9 Antibody - BSA Free

This product is for research use only and is not approved for use in humans or in clinical diagnosis. Primary Antibodies are guaranteed for 1 year from date of receipt.

Loading...
Loading...
Loading...
Loading...