Skip to main content

HDAC9 Antibody (OTI7G2)

Novus Biologicals, part of Bio-Techne | Catalog # NBP2-45952

Novus Biologicals, part of Bio-Techne

Key Product Details

Species Reactivity

Human, Mouse, Rat

Applications

Immunohistochemistry, Immunohistochemistry-Paraffin, Western Blot

Label

Unconjugated

Antibody Source

Monoclonal Mouse IgG1 Clone # OTI7G2

Concentration

1 mg/ml

Product Specifications

Immunogen

Human recombinant protein fragment corresponding to amino acids 181-460 of human HDAC9 (NP_055522) produced in E.coli.

Reactivity Notes

Please note that this antibody is reactive to Mouse and derived from the same host, Mouse. Mouse-On-Mouse blocking reagent may be needed for IHC and ICC experiments to reduce high background signal. You can find these reagents under catalog numbers PK-2200-NB and MP-2400-NB. Please contact Technical Support if you have any questions.

Clonality

Monoclonal

Host

Mouse

Isotype

IgG1

Theoretical MW

65.7 kDa.
Disclaimer note: The observed molecular weight of the protein may vary from the listed predicted molecular weight due to post translational modifications, post translation cleavages, relative charges, and other experimental factors.

Description

Novus Biologicals Mouse HDAC9 Antibody (OTI7G2) (NBP2-45952) is a monoclonal antibody validated for use in IHC and WB. All Novus Biologicals antibodies are covered by our 100% guarantee.

Scientific Data Images for HDAC9 Antibody (OTI7G2)

Western Blot: HDAC9 Antibody (OTI7G2) [NBP2-45952]

Western Blot: HDAC9 Antibody (OTI7G2) [NBP2-45952]

Western Blot: HDAC9 Antibody (7G2) [NBP2-45952] - Analysis of HEK293T cells were transfected with the pCMV6-ENTRY control (Left lane) or pCMV6-ENTRY HDAC9 .
Immunohistochemistry: HDAC9 Antibody (OTI7G2) [NBP2-45952]

Immunohistochemistry: HDAC9 Antibody (OTI7G2) [NBP2-45952]

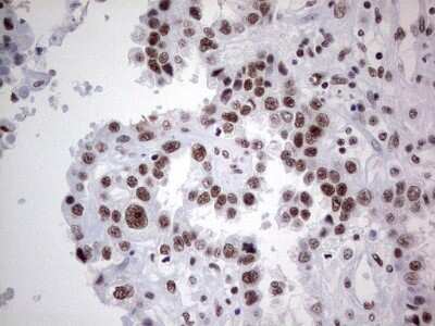
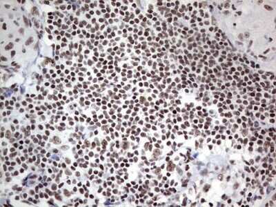
Immunohistochemistry: HDAC9 Antibody (7G2) [NBP2-45952] - Analysis of Human lymphoma tissue. (Heat-induced epitope retrieval by 1 mM EDTA in 10mM Tris, pH8.5, 120C for 3min)
Immunohistochemistry: HDAC9 Antibody (OTI7G2) [NBP2-45952]

Immunohistochemistry: HDAC9 Antibody (OTI7G2) [NBP2-45952]

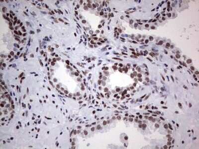
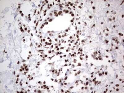
Immunohistochemistry: HDAC9 Antibody (7G2) [NBP2-45952] - Analysis of Human breast tissue. (Heat-induced epitope retrieval by 1 mM EDTA in 10mM Tris, pH8.5, 120C for 3min)

Applications for HDAC9 Antibody (OTI7G2)

Application
Recommended Usage

Immunohistochemistry

1:150

Immunohistochemistry-Paraffin

1:150

Western Blot

1:2000

Formulation, Preparation, and Storage

Purification

Immunogen affinity purified

Formulation

PBS (pH 7.3), 1.0% BSA and 50% Glycerol

Preservative

0.02% Sodium Azide

Concentration

1 mg/ml

Shipping

The product is shipped with polar packs. Upon receipt, store it immediately at the temperature recommended below.

Stability & Storage

Store at -20C. Avoid freeze-thaw cycles.

Background: HDAC9

In the intact cell, DNA closely associates with histones and other nuclear proteins to form chromatin. The remodeling of chromatin is believed to be a critical component of transcriptional regulation and a major source of this remodeling is brought about by the acetylation of nucleosomal histones. Acetylation of lysine residues in the amino terminal tail domain of histone results in an allosteric change in the nucleosomal conformation and an increased accessibility to transcription factors by DNA. Conversely, the deacetylation of histones is associated with transcriptional silencing. Several mammalian proteins have been identified as nuclear histone acetylases, including GCN5, PCAF (p300/CBP-associated factor), p300/CBP, HAT1 and the TFIID subunit TAF II p250. Mammalian HDAC8, isolated from human kidney, is a histone deacetylase that shares homology to other HDACs but has different tissue distribution. HDAC8 is localized to the nucleus and plays a role in the development of a broad range of tissues and in the etiology of cancer.

Long Name

Histone deacetylase 9

Alternate Names

HD7b, HD9, HDAC7, HDAC7B, HDRP, KIAA0744, MITR

Gene Symbol

HDAC9

Additional HDAC9 Products

Product Documents for HDAC9 Antibody (OTI7G2)

Certificate of Analysis

To download a Certificate of Analysis, please enter a lot number in the search box below.

Product Specific Notices for HDAC9 Antibody (OTI7G2)

This product is for research use only and is not approved for use in humans or in clinical diagnosis. Primary Antibodies are guaranteed for 1 year from date of receipt.

Loading...
Loading...
Loading...
Loading...