Skip to main content

HDAC3 Antibody - BSA Free

Novus Biologicals, part of Bio-Techne | Catalog # NBP2-16791

Novus Biologicals, part of Bio-Techne
Catalog #
Availability
Size / Price
Qty
Loading...
NBP2-16791

Key Product Details

Validated by

Knockout/Knockdown

Species Reactivity

Validated:

Human, Mouse, Rat, Zebrafish

Predicted:

Bovine (100%), Chicken (95%), Porcine (100%), Rhesus Macaque (100%). Backed by our 100% Guarantee.

Applications

Immunohistochemistry, Immunohistochemistry-Paraffin, Western Blot, Immunocytochemistry/ Immunofluorescence, Immunoprecipitation, Chromatin Immunoprecipitation (ChIP)

Label

Unconjugated

Antibody Source

Polyclonal Rabbit IgG

Format

BSA Free

Concentration

Concentrations vary lot to lot. See vial label for concentration. If unlisted please contact technical services.

Product Specifications

Immunogen

Recombinant protein encompassing a sequence within the center region of human HDAC3. The exact sequence is proprietary.

Reactivity Notes

Zebrafish (89%).

Localization

Nucleus

Clonality

Polyclonal

Host

Rabbit

Isotype

IgG

Theoretical MW

49 kDa.
Disclaimer note: The observed molecular weight of the protein may vary from the listed predicted molecular weight due to post translational modifications, post translation cleavages, relative charges, and other experimental factors.

Description

Novus Biologicals Rabbit HDAC3 Antibody - BSA Free (NBP2-16791) is a polyclonal antibody validated for use in IHC, WB, ICC/IF, IP and ChIP. All Novus Biologicals antibodies are covered by our 100% guarantee.

Scientific Data Images for HDAC3 Antibody - BSA Free

Western Blot: HDAC3 Antibody [NBP2-16791]

Western Blot: HDAC3 Antibody [NBP2-16791]

Western Blot: HDAC3 Antibody [NBP2-16791] - HDAC3 antibody detects HDAC3 protein by Western blot analysis. Various whole cell extracts (30 ug) were separated by 10% SDS-PAGE, and the membrane was blotted with HDAC3 antibody diluted by 1:1000.
Immunocytochemistry/ Immunofluorescence: HDAC3 Antibody [NBP2-16791]

Immunocytochemistry/ Immunofluorescence: HDAC3 Antibody [NBP2-16791]

Immunocytochemistry/Immunofluorescence: HDAC3 Antibody [NBP2-16791] - HeLa cells were fixed in 4% paraformaldehyde at RT for 15 min. Green: HDAC3 protein stained by HDAC3 antibody diluted at 1:1000. Red: alpha Tubulin, a cytoskeleton marker, stained by alpha Tubulin antibody [114] diluted at 1:1000.Blue: Hoechst 33342 staining.
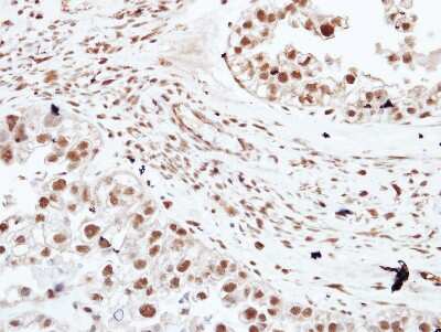
Immunohistochemistry-Paraffin: HDAC3 Antibody [NBP2-16791]

Immunohistochemistry-Paraffin: HDAC3 Antibody [NBP2-16791]

Immunohistochemistry-Paraffin: HDAC3 Antibody [NBP2-16791] - Immunohistochemical analysis of paraffin-embedded OVCA, using antibody at 1:250 dilution.

Applications for HDAC3 Antibody - BSA Free

Application
Recommended Usage

Immunocytochemistry/ Immunofluorescence

1:100-1:1000

Immunohistochemistry-Paraffin

1:100-1:1000

Immunoprecipitation

1:100-1:500

Western Blot

1:500-1:3000

Formulation, Preparation, and Storage

Purification

Antigen Affinity-purified

Formulation

PBS, 20% Glycerol

Format

BSA Free

Preservative

0.025% Proclin 300

Concentration

Concentrations vary lot to lot. See vial label for concentration. If unlisted please contact technical services.

Shipping

The product is shipped with polar packs. Upon receipt, store it immediately at the temperature recommended below.

Stability & Storage

Aliquot and store at -20C or -80C. Avoid freeze-thaw cycles.

Background: Histone Deacetylase 3/HDAC3

Histones play a critical role in transcriptional regulation, cell cycle progression, and developmental events. Histone acetylation/deacetylation alters chromosome structure and affects transcription factor access to DNA. The protein encoded by this gene belongs to the histone deacetylase/acuc/apha family. It has histone deacetylase activity and represses transcription when tethered to a promoter. It may participate in the regulation of transcription through its binding with the zinc-finger transcription factor YY1. This protein can also down-regulate p53 function and thus modulate cell growth and apoptosis. This gene is regarded as a potential tumor suppressor gene. [provided by RefSeq]

Long Name

Histone Deacetylase 3

Alternate Names

HDAC3, KDAC3, RPD3-2, SMAP45

Gene Symbol

HDAC3

UniProt

Additional Histone Deacetylase 3/HDAC3 Products

Product Documents for HDAC3 Antibody - BSA Free

Certificate of Analysis

To download a Certificate of Analysis, please enter a lot number in the search box below.

Product Specific Notices for HDAC3 Antibody - BSA Free

This product is for research use only and is not approved for use in humans or in clinical diagnosis. Primary Antibodies are guaranteed for 1 year from date of receipt.

Loading...
Loading...
Loading...
Loading...

⚠ WARNING: This product can expose you to chemicals including mercury, which is known to the State of California to cause reproductive toxicity with developmental effects.  For more information go to www.P65Warnings.ca.gov.