Skip to main content

HDAC3 Antibody

Novus Biologicals, part of Bio-Techne | Catalog # NB100-79798

Catalog #
Availability
Size / Price
Qty
Loading...
NB100-79798

Key Product Details

Species Reactivity

Validated:

Human, Mouse

Predicted:

Primate (100%), Rat (100%). Backed by our 100% Guarantee.

Applications

Immunohistochemistry, Immunohistochemistry-Paraffin, Western Blot, Immunoprecipitation

Label

Unconjugated

Antibody Source

Polyclonal Rabbit IgG

Concentration

0.2 mg/ml

Product Specifications

Immunogen

The immunogen recognized by this antibody maps to a region between residue 375 and the C-terminus (residue 428) of human Histone Deacetylase 3 using the numbering given in Swiss-Prot entry O15379 (GeneID 8841).

Reactivity Notes

Orangutan (100%).

Clonality

Polyclonal

Host

Rabbit

Isotype

IgG

Scientific Data Images for HDAC3 Antibody

Western Blot: HDAC3 Antibody [NB100-79798]

Western Blot: HDAC3 Antibody [NB100-79798]

Western Blot: HDAC3 Antibody [NB100-79798] - A) Whole cell lysate (WCL) from HeLa (5, 15 and 50 mcg), Ramos (R; 50 mcg) and mouse NIH3T3 (M; 50 mcg) cells. B) WCL (1 mg for IP; 1/4 of IP reaction/gel) from HeLa cells. Antibodies: Affinity purified rabbit anti-HDAC3 Antibody NB100-79798 used at 0.02 mcg/ml for WB (A) and at 3 mcg/mg lysate for IP (B).
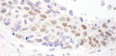
Immunohistochemistry-Paraffin: HDAC3 Antibody [NB100-79798]

Immunohistochemistry-Paraffin: HDAC3 Antibody [NB100-79798]

Immunohistochemistry-Paraffin: HDAC3 Antibody [NB100-79798] - Sample: FFPE section of human ovarian carcinoma. Antibody: Affinity purified rabbit anti-HDAC3 used at a dilution of 1:200 (1ug/ml). Detection: DAB

Applications for HDAC3 Antibody

Application
Recommended Usage

Immunohistochemistry

1:10-1:500

Immunohistochemistry-Paraffin

1:100- 1:500

Immunoprecipitation

2-5 ug/mg lysate

Western Blot

1:5000-1:15000
Application Notes
Epitope retrieval with Tris-EDTA pH9.0 is recommended for FFPE tissue sections.

Formulation, Preparation, and Storage

Purification

Immunogen affinity purified

Formulation

TBS and 0.1% BSA

Preservative

0.09% Sodium Azide

Concentration

0.2 mg/ml

Shipping

The product is shipped with polar packs. Upon receipt, store it immediately at the temperature recommended below.

Stability & Storage

Store at 4C. Do not freeze.

Background: Histone Deacetylase 3/HDAC3

Histones play a critical role in transcriptional regulation, cell cycle progression, and developmental events. Histone acetylation/deacetylation alters chromosome structure and affects transcription factor access to DNA. The protein encoded by this gene belongs to the histone deacetylase/acuc/apha family. It has histone deacetylase activity and represses transcription when tethered to a promoter. It may participate in the regulation of transcription through its binding with the zinc-finger transcription factor YY1. This protein can also down-regulate p53 function and thus modulate cell growth and apoptosis. This gene is regarded as a potential tumor suppressor gene.

Long Name

Histone Deacetylase 3

Alternate Names

HDAC3, KDAC3, RPD3-2, SMAP45

Entrez Gene IDs

8841 (Human); 15183 (Mouse)

Gene Symbol

HDAC3

UniProt

Additional Histone Deacetylase 3/HDAC3 Products

Product Documents for HDAC3 Antibody

Certificate of Analysis

To download a Certificate of Analysis, please enter a lot number in the search box below.

Product Specific Notices for HDAC3 Antibody

This product is for research use only and is not approved for use in humans or in clinical diagnosis. Primary Antibodies are guaranteed for 1 year from date of receipt.

Loading...
Loading...
Loading...
Loading...