HDAC3 Antibody (RM439)
Novus Biologicals, part of Bio-Techne | Catalog # NBP3-23463
Recombinant Monoclonal Antibody
Key Product Details
Species Reactivity
Human
Applications
Immunohistochemistry, Western Blot
Label
Unconjugated
Antibody Source
Recombinant Monoclonal Rabbit IgG Clone # RM439 expressed in HEK293
Concentration
Please see the vial label for concentration. If unlisted please contact technical services.
Product Specifications
Immunogen
A peptide corresponding to the C-terminus of HDAC3 (Uniprot#: O15379)
Clonality
Monoclonal
Host
Rabbit
Isotype
IgG
Description
Novus Biologicals Rabbit HDAC3 Antibody (RM439) (NBP3-23463) is a recombinant monoclonal antibody validated for use in IHC and WB. All Novus Biologicals antibodies are covered by our 100% guarantee.
Scientific Data Images for HDAC3 Antibody (RM439)
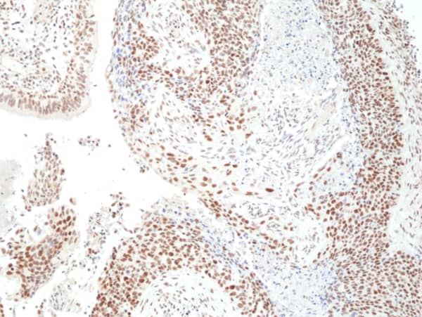
Immunohistochemistry-Paraffin: HDAC3 Antibody (RM439) [NBP3-23463] -
Immunohistochemistry-Paraffin: HDAC3 Antibody (RM439) [NBP3-23463] - Immunohistochemical staining of formalin fixed and paraffin embedded human brain cancer tissue sections using Clone RM439) at 1:200 dilution.Immunohistochemistry-Paraffin: HDAC3 Antibody (RM439) [NBP3-23463] -
Immunohistochemistry-Paraffin: HDAC3 Antibody (RM439) [NBP3-23463] - Immunohistochemical staining of formalin fixed and paraffin embedded human lung squamous carcinoma tissue sections using Clone RM439) at 1:200 dilution.Western Blot: HDAC3 Antibody (RM439) [NBP3-23463] -
Western Blot: HDAC3 Antibody (RM439) [NBP3-23463] - Western Blot of Jurkat cell lysate using RM439 at 1:1000 dilution.Applications for HDAC3 Antibody (RM439)
Application
Recommended Usage
Immunohistochemistry
1:100 - 1:200
Western Blot
1:1000 - 1:2000
Formulation, Preparation, and Storage
Purification
Protein A purified
Formulation
50% Glycerol/PBS, 1% BSA
Preservative
0.09% Sodium Azide
Concentration
Please see the vial label for concentration. If unlisted please contact technical services.
Shipping
The product is shipped with polar packs. Upon receipt, store it immediately at the temperature recommended below.
Stability & Storage
Store at -20C. Avoid freeze-thaw cycles.
Background: Histone Deacetylase 3/HDAC3
Long Name
Histone Deacetylase 3
Alternate Names
HDAC3, KDAC3, RPD3-2, SMAP45
Gene Symbol
HDAC3
Additional Histone Deacetylase 3/HDAC3 Products
Product Documents for HDAC3 Antibody (RM439)
Product Specific Notices for HDAC3 Antibody (RM439)
This product is for research use only and is not approved for use in humans or in clinical diagnosis. Primary Antibodies are guaranteed for 1 year from date of receipt.
Loading...
Loading...
Loading...
Loading...