Skip to main content

HDAC3 Antibody (4D4) - BSA Free

Novus Biologicals, part of Bio-Techne | Catalog # NBP3-26237

Recombinant Monoclonal Antibody
Novus Biologicals, part of Bio-Techne
Catalog #
Availability
Size / Price
Qty
Loading...
NBP3-26237-100ul
NBP3-26237-50ul

Key Product Details

Species Reactivity

Human

Applications

Immunohistochemistry, Western Blot, ELISA

Label

Unconjugated

Antibody Source

Recombinant Monoclonal Rabbit IgG Clone # 4D4 expressed in HEK293

Format

BSA Free

Concentration

Please see the vial label for concentration. If unlisted please contact technical services.

Product Specifications

Immunogen

A synthesized peptide derived from Human HDAC3 [UniProt O15379]

Clonality

Monoclonal

Host

Rabbit

Isotype

IgG

Description

Novus Biologicals Rabbit HDAC3 Antibody (4D4) - BSA Free (NBP3-26237) is a recombinant monoclonal antibody validated for use in IHC, WB and ELISA. All Novus Biologicals antibodies are covered by our 100% guarantee.

Scientific Data Images for HDAC3 Antibody (4D4) - BSA Free

HDAC3 Antibody (4D4)

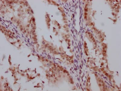
Immunohistochemistry: HDAC3 Antibody (4D4) [NBP3-26237] -

Immunohistochemistry: HDAC3 Antibody (4D4) [NBP3-26237] - Image of HDAC3 Antibody (4D4) diluted at 1:100 and staining in paraffin-embedded human endometrial cancer performed. After dewaxing and hydration, antigen retrieval was mediated by high pressure in a citrate buffer (pH 6.0). Section was blocked with 10% normal goat serum 30min at RT. Then primary antibody (1% BSA) was incubated at 4C overnight. The primary is detected by a Goat anti-rabbit IgG polymer labeled by HRP and visualized using 0.05% DAB.
HDAC3 Antibody (4D4)

Immunohistochemistry: HDAC3 Antibody (4D4) [NBP3-26237] -

Immunohistochemistry: HDAC3 Antibody (4D4) [NBP3-26237] - Image of HDAC3 Antibody (4D4) diluted at 1:100 and staining in paraffin-embedded human endometrial cancer performed. After dewaxing and hydration, antigen retrieval was mediated by high pressure in a citrate buffer (pH 6.0). Section was blocked with 10% normal goat serum 30min at RT. Then primary antibody (1% BSA) was incubated at 4C overnight. The primary is detected by a Goat anti-rabbit IgG polymer labeled by HRP and visualized using 0.05% DAB.
HDAC3 Antibody (4D4)

Western Blot: HDAC3 Antibody (4D4) [NBP3-26237] -

Western Blot: HDAC3 Antibody (4D4) [NBP3-26237] - Positive Western Blot detected in: Hela whole cell lysate, HL60 whole cell lysate, U251 whole cell lysate, K562 whole cell lysate, 293T whole cell lysate.
All lanes: HDAC3 Antibody at 1: 2000
Secondary: Goat polyclonal to rabbit IgG at 1/50000 dilution.
Predicted band size: 49, 50 kDa
Observed band size: 49 kDa

Applications for HDAC3 Antibody (4D4) - BSA Free

Application
Recommended Usage

Immunohistochemistry

1:50-1:200

Western Blot

1:500-1:5000

Formulation, Preparation, and Storage

Purification

Affinity purified

Formulation

PBS, pH 7.4, 150mM NaCl, and 50% glycerol

Format

BSA Free

Preservative

0.02% Sodium Azide

Concentration

Please see the vial label for concentration. If unlisted please contact technical services.

Shipping

The product is shipped with polar packs. Upon receipt, store it immediately at the temperature recommended below.

Stability & Storage

Store at -20 to -70C. Avoid freeze-thaw cycles.

Background: Histone Deacetylase 3/HDAC3

Histones play a critical role in transcriptional regulation, cell cycle progression, and developmental events. Histone cetylation/deacetylation alters chromosome structure and affects transcription factor access to DNA. The protein encoded by this gene belongs to the histone acetylase/acuc/apha family. It has histone deacetylase activity and represses transcription when tethered to a promoter. It may participate in the regulation of transcription through its binding with the zinc-finger transcription factor YY1. This protein can also down-regulate p53 function and thus modulate cell growth and apoptosis. This gene is regarded as a potential tumor suppressor gene.

Long Name

Histone Deacetylase 3

Alternate Names

HDAC3, KDAC3, RPD3-2, SMAP45

Gene Symbol

HDAC3

Additional Histone Deacetylase 3/HDAC3 Products

Product Documents for HDAC3 Antibody (4D4) - BSA Free

Certificate of Analysis

To download a Certificate of Analysis, please enter a lot number in the search box below.

Product Specific Notices for HDAC3 Antibody (4D4) - BSA Free

This product is for research use only and is not approved for use in humans or in clinical diagnosis. Primary Antibodies are guaranteed for 1 year from date of receipt.

Loading...
Loading...
Loading...
Loading...