Skip to main content

HAP1 Antibody

Novus Biologicals, part of Bio-Techne | Catalog # NB100-55413

Novus Biologicals, part of Bio-Techne
Catalog #
Availability
Size / Price
Qty
Loading...
NB100-55413

Key Product Details

Species Reactivity

Human

Applications

Immunohistochemistry, Immunohistochemistry-Paraffin, Western Blot, Peptide ELISA

Label

Unconjugated

Antibody Source

Polyclonal Goat IgG

Concentration

0.5 mg/ml

Product Specifications

Immunogen

Peptide with sequence C-RYDFRYSEDREQ corresponding to internal region according to NP_003940.2, NP_817084.1.

Epitope

RYDFRYSEDREQ

Specificity

This antibody is expected to recognize all reported isoforms (NP_003940.1, NP_817084.1)

Clonality

Polyclonal

Host

Goat

Isotype

IgG

Scientific Data Images for HAP1 Antibody

Western Blot: HAP1 Antibody [NB100-55413]

Western Blot: HAP1 Antibody [NB100-55413]

Western Blot: HAP1 Antibody [NB100-55413] - Staining of Human Brain (Hippocampus) lysate (35ug protein in RIPA buffer). Detected by chemiluminescence.
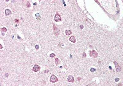
Immunohistochemistry-Paraffin: HAP1 Antibody [NB100-55413]

Immunohistochemistry-Paraffin: HAP1 Antibody [NB100-55413]

Immunohistochemistry-Paraffin: HAP1 Antibody [NB100-55413] - Staining of paraffin embedded Human Cortex. Steamed antigen retrieval with citrate buffer pH 6, AP-staining.

Applications for HAP1 Antibody

Application
Recommended Usage

Immunohistochemistry

3.75 ug/ml

Immunohistochemistry-Paraffin

3.75 ug/ml

Peptide ELISA

Detection limit 1:32000

Western Blot

0.1 - 0.3 ug/ml
Application Notes
WB: Approx. 70 kDa band observed in human brain (frontal cortex and hippocampus) lysates (calculated MW of 69.6 kDa band according to NP_817084.1). An additional band of unknown identity was also consistently observed at 25 kDa. This band was successfully blocked by incubation with the immunizing peptide.

Formulation, Preparation, and Storage

Purification

Immunogen affinity purified

Formulation

Tris saline (20 mM Tris pH 7.3, 150 mM NaCl), 0.5% BSA

Preservative

0.02% Sodium Azide

Concentration

0.5 mg/ml

Shipping

The product is shipped with polar packs. Upon receipt, store it immediately at the temperature recommended below.

Stability & Storage

Store at -20C. Avoid freeze-thaw cycles.

Background: HAP1

Huntingtons disease (HD), a neurodegenerative disorder characterized by loss of striatal neurons, is caused by an expansion of a polyglutamine tract in the HD protein huntingtin. This gene encodes a protein that interacts with huntingtin, with two cytoskeletal proteins (dynactin and pericentriolar autoantigen protein 1), and with a hepatocyte growth factor-regulated tyrosine kinase substrate. The interactions with cytoskeletal proteins and a kinase substrate suggest a role for this protein in vesicular trafficking or organelle transport. Several alternatively spliced transcript variants encoding different isoforms have been described for this gene.

Alternate Names

HAP2huntingtin-associated protein 2, hHLP1, HIP5, HLP1, HLPHAP-1, huntingtin-associated protein 1, Neuroan 1

Entrez Gene IDs

9001 (Human)

Gene Symbol

HAP1

UniProt

Additional HAP1 Products

Product Documents for HAP1 Antibody

Certificate of Analysis

To download a Certificate of Analysis, please enter a lot number in the search box below.

Product Specific Notices for HAP1 Antibody

This product is for research use only and is not approved for use in humans or in clinical diagnosis. Primary Antibodies are guaranteed for 1 year from date of receipt.

Loading...
Loading...
Loading...
Loading...