Skip to main content

HADHA Antibody - BSA Free

Novus Biologicals, part of Bio-Techne | Catalog # NBP1-83387

Novus Biologicals, part of Bio-Techne
Catalog #
Availability
Size / Price
Qty
Loading...
NBP1-83387
NBP1-83387-25ul

Key Product Details

Validated by

Knockout/Knockdown

Species Reactivity

Human, Mouse

Applications

Immunohistochemistry, Immunohistochemistry-Paraffin, Western Blot, Immunocytochemistry/ Immunofluorescence, Knockdown Validated

Label

Unconjugated

Antibody Source

Polyclonal Rabbit IgG

Format

BSA Free

Concentration

Concentrations vary lot to lot. See vial label for concentration. If unlisted please contact technical services.

Product Specifications

Immunogen

This antibody was developed against Recombinant Protein corresponding to amino acids: IEYLEEVAITFAKGLADKKISPKRDKGLVEKLTAYAMTIPFVRQQVYKKVEEKVRKQTKGLYPAPLKIIDVVKTGIEQGSDAGYLCESQKFGELVMTKESKALMGLYHGQVLCKKNKFGAPQKDVKHLAILGAGLMGAGIAQVSVDK

Reactivity Notes

Rat (85%).

Clonality

Polyclonal

Host

Rabbit

Isotype

IgG

Description

Novus Biologicals Rabbit HADHA Antibody - BSA Free (NBP1-83387) is a polyclonal antibody validated for use in IHC, WB and ICC/IF. Anti-HADHA Antibody: Cited in 2 publications. All Novus Biologicals antibodies are covered by our 100% guarantee.

Scientific Data Images for HADHA Antibody - BSA Free

Immunocytochemistry/ Immunofluorescence: HADHA Antibody [NBP1-83387]

Immunocytochemistry/ Immunofluorescence: HADHA Antibody [NBP1-83387]

Immunocytochemistry/Immunofluorescence: HADHA Antibody [NBP1-83387] - Staining of human cell line U-2 OS shows localization to mitochondria. Antibody staining is shown in green.
Immunohistochemistry-Paraffin: HADHA Antibody [NBP1-83387]

Immunohistochemistry-Paraffin: HADHA Antibody [NBP1-83387]

Immunohistochemistry-Paraffin: HADHA Antibody [NBP1-83387] - Staining of human small intestine shows strong granular cytoplasmic positivity in glandular cells.
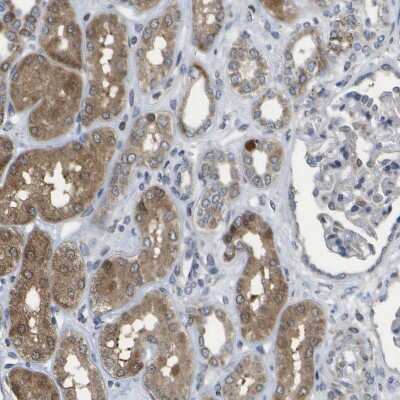
Immunohistochemistry-Paraffin: HADHA Antibody [NBP1-83387]

Immunohistochemistry-Paraffin: HADHA Antibody [NBP1-83387]

Immunohistochemistry-Paraffin: HADHA Antibody [NBP1-83387] - Staining of human kidney shows moderate to strong cytoplasmic positivity in cells in tubules.

Applications for HADHA Antibody - BSA Free

Application
Recommended Usage

Immunocytochemistry/ Immunofluorescence

0.25-2 ug/ml

Immunohistochemistry

1:200 - 1:500

Immunohistochemistry-Paraffin

1:200 - 1:500

Western Blot

0.04-0.4 ug/ml
Application Notes
For IHC-Paraffin, HIER pH 6 retrieval is recommended. ICC/IF Fixation Permeabilization: Use PFA/Triton X-100.

Formulation, Preparation, and Storage

Purification

Affinity purified

Formulation

PBS (pH 7.2) and 40% Glycerol

Format

BSA Free

Preservative

0.02% Sodium Azide

Concentration

Concentrations vary lot to lot. See vial label for concentration. If unlisted please contact technical services.

Shipping

The product is shipped with polar packs. Upon receipt, store it immediately at the temperature recommended below.

Stability & Storage

Store at 4C short term. Aliquot and store at -20C long term. Avoid freeze-thaw cycles.

Background: HADHA

HADHA encodes the alpha subunit of the mitochondrial trifunctional protein, which catalyzes the last three steps of mitochondrial beta-oxidation of long chain fatty acids. The mitochondrial membrane-bound heterocomplex is composed of four alpha and four beta subunits, with the alpha subunit catalyzing the 3-hydroxyacyl-CoA dehydrogenase and enoyl-CoA hydratase activities. Mutations in this gene result in trifunctional protein deficiency or LCHAD deficiency. The genes of the alpha and beta subunits of the mitochondrial trifunctional protein are located adjacent to each other in the human genome in a head-to-head orientation.

Alternate Names

3-ketoacyl-Coenzyme A (CoA) thiolase, alpha subunit, 3-oxoacyl-CoA thiolase, 78 kDa gastrin-binding protein, ECHA, gastrin-binding protein, GBP, HADH, hydroxyacyl-CoA dehydrogenase/3-ketoacyl-CoA thiolase/enoyl-CoA hydratase(trifunctional protein), alpha subunit, hydroxyacyl-Coenzyme A dehydrogenase/3-ketoacyl-Coenzyme Athiolase/enoyl-Coenzyme A hydratase (trifunctional protein), alpha subunit, LCEH, LCHAD, long-chain 2-enoyl-CoA hydratase, long-chain-3-hydroxyacyl-CoA dehydrogenase, MGC1728, mitochondrial long-chain 2-enoyl-Coenzyme A (CoA) hydratase, alpha subunit, mitochondrial long-chain L-3-hydroxyacyl-Coenzyme A (CoA) dehydrogenase, alphasubunit, mitochondrial trifunctional enzyme, alpha subunit, mitochondrial trifunctional protein, alpha subunit, MTPATP-ALPHA, TP-alpha, trifunctional enzyme subunit alpha, mitochondrial

Gene Symbol

HADHA

Additional HADHA Products

Product Documents for HADHA Antibody - BSA Free

Certificate of Analysis

To download a Certificate of Analysis, please enter a lot number in the search box below.

Product Specific Notices for HADHA Antibody - BSA Free

This product is for research use only and is not approved for use in humans or in clinical diagnosis. Primary Antibodies are guaranteed for 1 year from date of receipt.

Loading...
Loading...
Loading...
Loading...