Skip to main content

H1F0 Antibody (rAE-4) - Azide and BSA Free

Novus Biologicals, part of Bio-Techne | Catalog # NBP3-08690

Recombinant Monoclonal Antibody
Novus Biologicals, part of Bio-Techne

Key Product Details

Species Reactivity

Human, Mouse, Rat

Applications

Immunohistochemistry, Immunohistochemistry-Paraffin, Western Blot, Flow Cytometry, Immunocytochemistry/ Immunofluorescence

Label

Unconjugated

Antibody Source

Monoclonal Mouse IgG2a Kappa Clone # rAE-4

Format

Azide and BSA Free

Concentration

1 mg/ml

Product Specifications

Immunogen

Recombinant full-length human H1F0 protein

Localization

Nuclear

Specificity

Please note that this antibody is a recombinant Mouse version of original anti-histone H1 antibody (Clone AE-4). Because the variable heavy (VH) and variable light (VL) domains are the same, recombinant antibody has the same exact reactivity as the original AE-4 monoclonal antibody. There are several advantages of producing a recombinant version of a monoclonal antibody. For example, a recombinant antibody is a purer preparation of active immunoglobulin with no contaminating non-functional intact Ig or free light/heavy chains. Secondly, antibody can always be produced, even if hybridoma line is lost. Moreover, it adds the flexibility of converting the antibody to any species, isotype or format. Eukaryotic histones are basic and water-soluble nuclear proteins that form hetero-octameric nucleosome particles by wrapping 146 base pairs of DNA in a left-handed super-helical turn sequentially to form chromosomal fiber. Two molecules of each of the four core histones (H2A, H2B, H3, and H4) form the octamer; formed of two H2A-H2B dimers and two H3-H4 dimers, forming two nearly symmetrical halves by tertiary structure. Over 80% of nucleosomes contain the linker Histone H1, derived from an intronless gene that interacts with linker DNA between nucleosomes and mediates compaction into higher order chromatin. This antibody is extensively used as a pan-nuclear marker.

Marker

Pan Nuclear Marker

Clonality

Monoclonal

Host

Mouse

Isotype

IgG2a Kappa

Theoretical MW

30 kDa.
Disclaimer note: The observed molecular weight of the protein may vary from the listed predicted molecular weight due to post translational modifications, post translation cleavages, relative charges, and other experimental factors.

Description

1.0 mg/ml of recombinant monoclonal antibody purified by Protein A/G. Prepared in 10mM PBS WITHOUT BSA & azide. Also available at 200 ug/ml WITH BSA & azide (NBP3-07711).

Antibody with azide - store at 2 to 8C. Antibody without azide - store at -20 to -80C.

Scientific Data Images for H1F0 Antibody (rAE-4) - Azide and BSA Free

Western Blot: H1F0 Antibody (rAE-4)Azide and BSA Free [NBP3-08690]

Western Blot: H1F0 Antibody (rAE-4)Azide and BSA Free [NBP3-08690]

Western Blot: H1F0 Antibody (rAE-4) - Azide and BSA Free [NBP3-08690] - Western Blot Analysis of human heart tissue lysate using H1F0 Mouse Recombinant Monoclonal Antibody (rAE-4).
Immunocytochemistry/ Immunofluorescence: H1F0 Antibody (rAE-4) - Azide and BSA Free [NBP3-08690]

Immunocytochemistry/ Immunofluorescence: H1F0 Antibody (rAE-4) - Azide and BSA Free [NBP3-08690]

Immunocytochemistry/Immunofluorescence: H1F0 Antibody (rAE-4) - Azide and BSA Free [NBP3-08690] - Immunofluorescent staining of HeLa cells using H1F0 Mouse Monoclonal Antibody (rAE-4) followed by goat anti- Mouse IgG-CF488 (green). Phalloidin is used to label cell membrane (red).
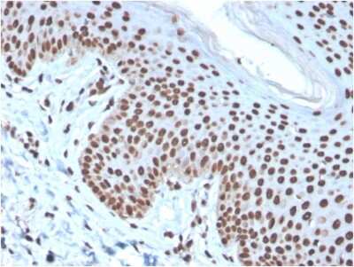
Immunohistochemistry-Paraffin: H1F0 Antibody (rAE-4) - Azide and BSA Free [NBP3-08690]

Immunohistochemistry-Paraffin: H1F0 Antibody (rAE-4) - Azide and BSA Free [NBP3-08690]

Immunohistochemistry-Paraffin: H1F0 Antibody (rAE-4) - Azide and BSA Free [NBP3-08690] - Formalin-fixed, paraffin-embedded human Basal Cell Carcinoma stained with H1F0 Mouse Recombinant Monoclonal Antibody (rAE-4).

Applications for H1F0 Antibody (rAE-4) - Azide and BSA Free

Application
Recommended Usage

Flow Cytometry

1-2 ug/million cells

Immunocytochemistry/ Immunofluorescence

1-2 ug/ml

Western Blot

1-2 ug/ml
Application Notes
Immunohistochemistry Formalin-fixed: 1-2ug/ml for 30 minutes at RT. Staining of formalin-fixed tissues requires heating tissue sections in 10mM Tris with 1mM EDTA, pH 9.0, for 45 min at 95C followed by cooling at RT for 20 minutes.

Formulation, Preparation, and Storage

Purification

Protein A or G purified

Formulation

10 mM PBS

Format

Azide and BSA Free

Preservative

No Preservative

Concentration

1 mg/ml

Shipping

The product is shipped with polar packs. Upon receipt, store it immediately at the temperature recommended below.

Stability & Storage

Store at -20 to -80C. Avoid freeze-thaw cycles.

Background: H1F0

Plasmid: pCMV-H1F0 Full length; Host Cell: 293T

Alternate Names

H1 histone family, member 0, H1.0, H1(0), H1-0, H10, H1FVMGC5241, Histone H1', Histone H1(0), histone H1.0

Gene Symbol

H1-0

Additional H1F0 Products

Product Documents for H1F0 Antibody (rAE-4) - Azide and BSA Free

Certificate of Analysis

To download a Certificate of Analysis, please enter a lot number in the search box below.

Product Specific Notices for H1F0 Antibody (rAE-4) - Azide and BSA Free

This product is for research use only and is not approved for use in humans or in clinical diagnosis. Primary Antibodies are guaranteed for 1 year from date of receipt.

Loading...
Loading...
Loading...
Loading...
Loading...