Skip to main content

Growth Hormone Antibody (GH/1371) - Azide and BSA Free

Novus Biologicals, part of Bio-Techne | Catalog # NBP2-54361

Novus Biologicals, part of Bio-Techne
Catalog #
Availability
Size / Price
Qty
Loading...
NBP2-54361-100ug
Conjugate
Catalog #

Key Product Details

Species Reactivity

Human

Applications

Immunohistochemistry, Immunohistochemistry-Paraffin, Protein Array

Label

Unconjugated

Antibody Source

Monoclonal Mouse IgG2b Kappa Clone # GH/1371

Format

Azide and BSA Free

Concentration

1 mg/ml

Product Specifications

Immunogen

A recombinant fragment (around aa58-187) of human Growth Hormone (GH) protein (exact sequence is proprietary) (Uniprot: P01241)

Localization

Cytoplasmic

Specificity

Pituitary growth hormone (GH) plays a crucial role in stimulating and controlling the growth, metabolism and differentiation of many mammalian cell types by modulating the synthesis of multiple mRNA species. These effects are mediated by the binding of GH to its membrane-bound receptor, GHR, and involve a phosphorylation cascade that results in the modulation of numerous signaling pathways. GH is synthesized by acidophilic or somatotropic cells of the anterior pituitary gland. Anti-GH is a useful marker in classification of pituitary tumors and the study of pituitary disease (acromegaly).

Marker

Pituitary Marker

Clonality

Monoclonal

Host

Mouse

Isotype

IgG2b Kappa

Theoretical MW

20 kDa.
Disclaimer note: The observed molecular weight of the protein may vary from the listed predicted molecular weight due to post translational modifications, post translation cleavages, relative charges, and other experimental factors.

Description

1.0 mg/ml of antibody purified from Bioreactor Concentrate by Protein A/G. Prepared in 10mM PBS WITHOUT BSA & azide. Also available at 200 ug/ml WITH BSA & azide (NBP2-53261).

Antibody with azide - store at 2 to 8C. Antibody without azide - store at -20 to -80C.

Scientific Data Images for Growth Hormone Antibody (GH/1371) - Azide and BSA Free

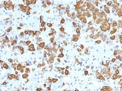
Immunohistochemistry-Paraffin: Growth Hormone Antibody (GH/1371) - Azide and BSA Free [NBP2-54361]

Immunohistochemistry-Paraffin: Growth Hormone Antibody (GH/1371) - Azide and BSA Free [NBP2-54361]

Immunohistochemistry-Paraffin: Growth Hormone Antibody (GH/1371) - Azide and BSA Free [NBP2-54361] - Formalin-fixed, paraffin-embedded human Pituitary stained with Growth Hormone Antibody (GH/1371).
Immunohistochemistry-Paraffin: Growth Hormone Antibody (GH/1371) - Azide and BSA Free [NBP2-54361]

Immunohistochemistry-Paraffin: Growth Hormone Antibody (GH/1371) - Azide and BSA Free [NBP2-54361]

Immunohistochemistry-Paraffin: Growth Hormone Antibody (GH/1371) - Azide and BSA Free [NBP2-54361] - Formalin-fixed, paraffin-embedded Human Pituitary stained with Growth Hormone Monoclonal Antibody (GH/1371).
Protein Array: Growth Hormone Antibody (GH/1371) - Azide and BSA Free [NBP2-54361]

Protein Array: Growth Hormone Antibody (GH/1371) - Azide and BSA Free [NBP2-54361]

Protein Array: Growth Hormone Antibody (GH/1371) - Azide and BSA Free [NBP2-54361] - Analysis of Protein Array containing more than 19,000 full-length human proteins using Growth Hormone Antibody (GH/1371). Z- and S- Score: The Z-score represents the strength of a signal that a monoclonal antibody (MAb) (in combination with a fluorescently-tagged anti-IgG secondary antibody) produces when binding to a particular protein on the HuProt(TM) array. Z-scores are described in units of standard deviations (SDs) above the mean value of all signals generated on that array. If targets on HuProt(TM) are arranged in descending order of the Z-score, the S-score is the difference (also in units of SDs) between the Z-score. S-score therefore represents the relative target specificity of a MAb to its intended target. A MAb is considered to specific to its intended target, if the MAb has an S-score of at least 2.5.

Applications for Growth Hormone Antibody (GH/1371) - Azide and BSA Free

Application
Recommended Usage

Immunohistochemistry

Optimal dilutions of this antibody should be experimentally determined.

Immunohistochemistry-Paraffin

Optimal dilutions of this antibody should be experimentally determined.

Protein Array

Optimal dilutions of this antibody should be experimentally determined.
Application Notes
Immunohistochemistry (Formalin-fixed): 1-2ug/ml for 30 min at RT. Staining of formalin-fixed tissues requires heating tissue sections in 10mM Tris with 1mM EDTA, pH 9.0, for 45 min at 95C followed by cooling at RT for 20 minutes.
Optimal dilution for a specific application should be determined.

Formulation, Preparation, and Storage

Purification

Protein A or G purified

Formulation

10 mM PBS

Format

Azide and BSA Free

Preservative

No Preservative

Concentration

1 mg/ml

Shipping

The product is shipped with polar packs. Upon receipt, store it immediately at the temperature recommended below.

Stability & Storage

Store at -20 to -80C. Avoid freeze-thaw cycles.

Background: Growth Hormone

Human growth hormone (hGH) plays an important role in growth control. Its major role in stimulating body growth is to stimulate the liver and other tissues to secrete IGF-1. The effects of hGH in the body can be generally described as anabolic. It stimulates amino acid uptake and protein synthesis in muscle and other tissues. Growth Hormone (GH1) is synthesized by acidophilic or somatotropic cells of the anterior pituitary gland. Genes for growth hormone (GH) are found in a gene cluster on 17q, which consists of two growth hormone genes and three CSH genes. The GHN1 gene is transcribed exclusively in the pituitary, whereas the other 4 genes are expressed only in placental tissues. Several isoforms of GH1 exist. Human growth hormone (hGH) is also used as a reporter protein, because it is secreted from mammalian cells it can be assayed by ELISA on culture supernatant using antibodies to determine the level of expression.

Alternate Names

GH-N, GH1, GHB5, GHN, IGHD1A, IGHD2, Somatotropin

Gene Symbol

GH1

Additional Growth Hormone Products

Product Documents for Growth Hormone Antibody (GH/1371) - Azide and BSA Free

Certificate of Analysis

To download a Certificate of Analysis, please enter a lot number in the search box below.

Product Specific Notices for Growth Hormone Antibody (GH/1371) - Azide and BSA Free

This product is for research use only and is not approved for use in humans or in clinical diagnosis. Primary Antibodies are guaranteed for 1 year from date of receipt.

Loading...
Loading...
Loading...
Loading...