Skip to main content

GRIM19 Antibody - BSA Free

Novus Biologicals, part of Bio-Techne | Catalog # NBP3-46173

Novus Biologicals, part of Bio-Techne
Catalog #
Availability
Size / Price
Qty
Loading...
NBP3-46173

Key Product Details

Species Reactivity

Human, Mouse, Rat

Applications

ELISA, Immunocytochemistry/ Immunofluorescence, Immunohistochemistry, Immunoprecipitation, Western Blot

Label

Unconjugated

Antibody Source

Polyclonal Rabbit IgG

Format

BSA Free

Concentration

Please see the vial label for concentration. If unlisted please contact technical services.

Product Specifications

Immunogen

NADH dehydrogenase(ubiquinone) 1 alpha subcomplex, 13. (Uniprot# Q9P0J0)

Clonality

Polyclonal

Host

Rabbit

Isotype

IgG

Theoretical MW

16.5 kDa.
Disclaimer note: The observed molecular weight of the protein may vary from the listed predicted molecular weight due to post translational modifications, post translation cleavages, relative charges, and other experimental factors.

Description

Novus Biologicals Rabbit GRIM19 Antibody - BSA Free (NBP3-46173) is a polyclonal antibody validated for use in IHC, WB, ELISA, ICC/IF and IP. All Novus Biologicals antibodies are covered by our 100% guarantee.

Scientific Data Images for GRIM19 Antibody - BSA Free

GRIM19 Antibody - BSA Free

Immunoprecipitation: GRIM19 Antibody - BSA Free [NBP3-46173] -

Immunoprecipitation: GRIM19 Antibody - BSA Free [NBP3-46173] - IP Result of anti-GRIM19 (IP:, 4ug; Detection: 1:500) with HEK-293 cells lysate 2000ug.
GRIM19 Antibody - BSA Free

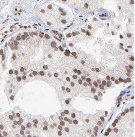
Immunohistochemistry: GRIM19 Antibody - BSA Free [NBP3-46173] -

Immunohistochemistry: GRIM19 Antibody - BSA Free [NBP3-46173] - Immunohistochemistry of paraffin-embedded human prostate cancer using (GRIM19 antibody) at dilution of 1:50
GRIM19 Antibody - BSA Free

Western Blot: GRIM19 Antibody - BSA Free [NBP3-46173] -

Western Blot: GRIM19 Antibody - BSA Free [NBP3-46173] - Human placenta tissue were subjected to SDS PAGE followed by western blot with (GRIM19 antibody) at dilution of 1:800

Applications for GRIM19 Antibody - BSA Free

Application
Recommended Usage

Immunocytochemistry/ Immunofluorescence

1:20-1:200

Immunohistochemistry

1:20-1:200

Immunoprecipitation

1:200-1:1000

Western Blot

1:500-1:2000

Formulation, Preparation, and Storage

Purification

Immunogen affinity purified

Formulation

PBS, 50% Glycerol, pH (7.3)

Format

BSA Free

Preservative

0.02% Sodium Azide

Concentration

Please see the vial label for concentration. If unlisted please contact technical services.

Shipping

The product is shipped with polar packs. Upon receipt, store it immediately at the temperature recommended below.

Stability & Storage

Store at -20C. Avoid freeze-thaw cycles.

Background: GRIM19

The GRIM19 gene encodes a subunit of the mitochondrial membrane respiratory chain NADH dehydrogenase (Complex I), which functions in the transfer of electrons from NADH to the respiratory chain. The protein is required for complex I assembly and electron transf

Alternate Names

B16.6, CDA016, Cell death regulatory protein GRIM-19, cell death-regulatory protein GRIM19, CI-B16.6, complex I B16.6 subunit, Complex I-B16.6, FLJ58045, FLJ59191, Gene associated with retinoic and IFN-induced mortality 19 protein, Gene associated with retinoic and interferon-induced mortality 19 protein, GRIM-19CGI-39, GRIM19NADH-ubiquinone oxidoreductase B16.6 subunit, NADH dehydrogenase (ubiquinone) 1 alpha subcomplex, 13, NADH dehydrogenase [ubiquinone] 1 alpha subcomplex subunit 13

Gene Symbol

NDUFA13

Additional GRIM19 Products

Product Documents for GRIM19 Antibody - BSA Free

Certificate of Analysis

To download a Certificate of Analysis, please enter a lot number in the search box below.

Product Specific Notices for GRIM19 Antibody - BSA Free

This product is for research use only and is not approved for use in humans or in clinical diagnosis. Primary Antibodies are guaranteed for 1 year from date of receipt.

Loading...
Loading...
Loading...
Loading...